Foram encontradas 460 questões.
Refere-se ao amolecimento da pele que geralmente ocorre em torno das bordas da ferida, no mais das vezes devido à umidade excessiva:
Provas
Questão presente nas seguintes provas
Identifique corretamente quais itens fazem parte dos princípios da arquivologia:
Provas
Questão presente nas seguintes provas
1379251
Ano: 2014
Disciplina: Segurança e Saúde no Trabalho (SST)
Banca: CONSEP
Orgão: Pref. Pacajus-CE
Disciplina: Segurança e Saúde no Trabalho (SST)
Banca: CONSEP
Orgão: Pref. Pacajus-CE
Provas:
São causas de acidente de trabalho, EXCETO:
Provas
Questão presente nas seguintes provas
Os jogos, as brincadeiras e o lúdico fazem parte do crescimento da criança. Assinale a afirmativa FALSA.
Provas
Questão presente nas seguintes provas
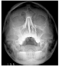
Analise as radiografias da face abaixo e marque a alternativa que contém o nome das incidências correspondentes.
01 - 

02 - 

Provas
Questão presente nas seguintes provas
Na seguinte frase a palavra em destaque representa uma conjunção:
Aproveite a festa, pois não é necessário que você exagere!
Provas
Questão presente nas seguintes provas
São características da memória RAM, exceto:
Provas
Questão presente nas seguintes provas
A qual nível de aplicação se enquadra a remineralização das lesões incipientes de carie dental:
Provas
Questão presente nas seguintes provas
Cateterismo vesical consiste na introdução de um cateter no interior da bexiga, através da uretra. De acordo com as indicações, as sondas de demora são utilizadas para, EXCETO:
Provas
Questão presente nas seguintes provas
A respeito da Fisiologia do exercício e as adaptações cardiorrespiratórias dos efeitos Fisiológicos do treinamento em academias analise os itens a seguir em (V) Verdadeiro e (F) Falso.
( ) VO2 refere-se ao consumo de oxigênio pelo organismo numa determinada intensidade de exercício;
( ) Melhora o rendimento do coração ao produzir as necessidades energéticas do miocárdio mediante a redução da freqüência cardíaca e da pressão sanguínea;
( ) Frequência cardíaca do limiar é a carga de trabalho mais alta atingida no teste, geralmente é considerada quando o indivíduo chega à exaustão;
( ) Aumenta a ventilação pulmonar mediante perca no volume-minuto e no aumento da freqüência respiratória;
Marque a alternativa que contem a sequência correta.
Provas
Questão presente nas seguintes provas
Cadernos
Caderno Container