Foram encontradas 1.977 questões.
Leia o caso clínico a seguir para responder às questões 37 e 38.
J.C.S., do sexo masculino, de 60 anos, diabético, com doença renal crônica categoria 3b (G3b) e albuminúria categoria 3 (A3, com uma relação albumina-creatinina urinária de 700 mg/g, hipertensão e dislipidemia, retorna em consulta ambulatorial. Sua taxa de filtração glomerular estimada (eTFG) diminuiu de 57 para 44 mL/min/1,73 m2 nos últimos 10 anos. Sua pressão arterial (PA) é de 160/80 mmHg. A hemoglobina A1c (HbA1c) é 7,9%. Sódio: 131 mEq/L e potássio de 4,5 mEq/L. Ele faz uso de valsartana 40 mg/dia, amlodipino 5 mg/dia, clortalidona 25 mg/dia, metformina 1000 mg/dia e sinvastatina 20 mg/dia.
Nesse caso, o melhor próximo passo é:
Provas
A fratura do colo do rádio, deslocada lateralmente, associada à deformidade plástica em varo do olecrano, é classificada como variante de Monteggia tipo
Provas
Leia o caso clínico a seguir para responder às questões 37 e 38.
J.C.S., do sexo masculino, de 60 anos, diabético, com doença renal crônica categoria 3b (G3b) e albuminúria categoria 3 (A3, com uma relação albumina-creatinina urinária de 700 mg/g, hipertensão e dislipidemia, retorna em consulta ambulatorial. Sua taxa de filtração glomerular estimada (eTFG) diminuiu de 57 para 44 mL/min/1,73 m2 nos últimos 10 anos. Sua pressão arterial (PA) é de 160/80 mmHg. A hemoglobina A1c (HbA1c) é 7,9%. Sódio: 131 mEq/L e potássio de 4,5 mEq/L. Ele faz uso de valsartana 40 mg/dia, amlodipino 5 mg/dia, clortalidona 25 mg/dia, metformina 1000 mg/dia e sinvastatina 20 mg/dia.
A intervenção mais apropriada para reduzir o risco de progressão da DRC desse paciente é a seguinte:
Provas
Dentre as fraturas por estresse da tíbia, a considerada de alto risco é a que ocorre na região
Provas
Na lesão aguda do ligamento cruzado anterior (LCA), a lesão associada mais comum é:
Provas
Leia o caso clínico a seguir para responder às questões 35 e 36.
C.A.J., do sexo masculino, de 84 anos, previamente hígido é admitido numa unidade de emergência com tosse, febre e hipoxemia. Logo após, ele evolui com desconforto respiratório importante e requer intubação endotraqueal. A radiografia de tórax mostra opacidades pulmonares bilaterais difusas. A gasometria revela PaO2 de 130 mmHg, com fração de oxigênio inspirado (FiO2) de 100%. O ecocardiograma à beira do leito mostra função sistólica ventricular esquerda normal. O swab nasofaríngeo deu positivo para influenza A.
Em quatro dias, o mesmo paciente evoluiu com piora do leucograma e hemoculturas positivas para pneumococo. Foi iniciada antibioticoterapia apropriada. Pouco depois, ele evolui com choque e é iniciado noradrenalina 0,55 mcg/kg/min e vasopressina devido à piora da hipotensão, apesar da expansão com fluidos intravenosos. O nível de creatinina do paciente aumenta de 1,0 para 4,4 mg/dL, sódio de 130, potássio de 6,5, acidose metabólica, piora da PaO₂/FiO2 e o débito urinário diminui para 5 mL/h. A equipe assistente marcou uma reunião familiar para discutir sobre o seguimento do tratamento. Considerando o exposto, qual é a melhor abordagem a ser apresentada à família?
Provas
Nas fraturas do tornozelo, segundo a classificação de Lauge-Hansen, a que está associada a desvio medial do tálus é a seguinte:
Provas
Na avaliação de uma criança com suspeita de atraso do desenvolvimento motor é importante o conhecimento de certos marcos do desenvolvimento. A maioria das crianças que estão se desenvolvendo satisfatoriamente andará, com apoio, por volta de
Provas
Leia o caso clínico a seguir para responder às questões 35 e 36.
C.A.J., do sexo masculino, de 84 anos, previamente hígido é admitido numa unidade de emergência com tosse, febre e hipoxemia. Logo após, ele evolui com desconforto respiratório importante e requer intubação endotraqueal. A radiografia de tórax mostra opacidades pulmonares bilaterais difusas. A gasometria revela PaO2 de 130 mmHg, com fração de oxigênio inspirado (FiO2) de 100%. O ecocardiograma à beira do leito mostra função sistólica ventricular esquerda normal. O swab nasofaríngeo deu positivo para influenza A.
Com base no estudo FACTT, qual deve ser o manejo do balanço hídrico em pacientes críticos?
Provas
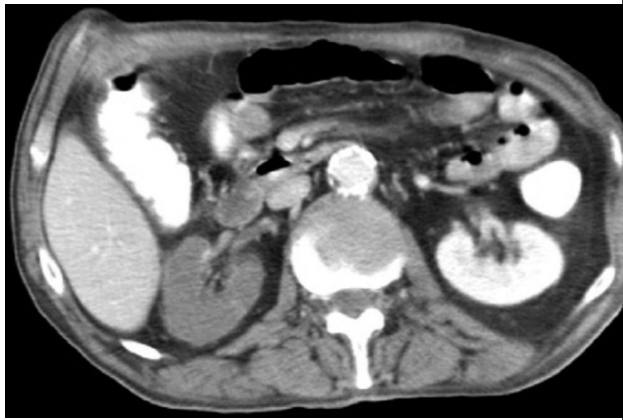
Leia o caso clínico a seguir.
J.K.W., do sexo masculino, de 67 anos, apresentou-se com início súbito de dor abdominal, com irradiação para o flanco direito 16 dias após a ressecção laparoscópica de um adenocarcinoma retal. História médica pregressa de um infarto do miocárdio há seis anos e disfunção ventricular esquerda sem terapia anticoagulante. O paciente estava febril. Dados laboratoriais mostraram uma creatinina sérica de 1,9 mg/dL (creatinina basal de 0,8 mg/dL – dois meses antes), DHL de 2.300 UI/L e contagem de leucócitos de 11.500/ L. O EAS não evidenciou leucocitúria, hematúria ou proteinúria, e o eletrocardiograma mostrou ritmo cardíaco irregular. A tomografia computadorizada com contraste intravenoso foi realizada. Imagem a seguir.

Nesse caso, qual o diagnóstico?
Provas
Caderno Container