Foram encontradas 1.977 questões.
Leia o caso clínico a seguir.
M.P.V., do sexo feminino, de 20 anos, foi encaminhada ao ambulatório de nefrologia para avaliação de hipertensão resistente diagnosticada aos 16 anos, com várias medidas de pressão arterial maiores que 150/90, em tratamento com amlodipino 10 mg/dia, valsartana 320 mg/dia e hidroclorotiazida 25 mg/dia. A paciente também relatava síndrome do ovário policístico e estava tomando anticoncepcional oral (etinilestradiol/drospirenona). Ela se absteve de álcool, drogas ilícitas, tabaco e medicamentos de venda livre. Ambos os pais tinham hipertensão diagnosticada na faixa dos 30 anos e nenhum deles apresentava uma causa secundária conhecida de hipertensão. Ao exame físico, achados normais, exceto pela pressão arterial; índice de massa corporal de 20,4 kg/m², sem alterações retinianas, hirsutismo, estrias ou edema periférico. Os exames laboratoriais revelaram atividade de renina plasmática (PRA) > 181,7 ng/mL/h e concentração plasmática de aldosterona de 215 ng/dL, repetida e confirmada. A paciente fez uma arteriografia (imagens abaixo), o anticoncepcional foi suspenso definitivamente e um tratamento específico foi instituído, com bom controle dos níveis pressóricos.

O diagnóstico e a conduta instituída, são, respectivamente:
Provas
Na osteogênese imperfeita, classificada segundo Sillence, a fragilidade óssea é mais grave no tipo
Provas
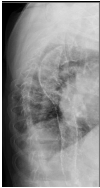
Leia o caso clínico a seguir.
Paciente de 40 anos, do sexo masculino, portador de doença renal crônica secundária a GESF, em hemodiálise há dez anos, com queixa de dor óssea e prurido. Relatava dieta adequada, Estava em uso de carbonato de cálcio 2 cp no café, almoço e jantar; calcitriol 0,25 2cp/dia. Peso seco de 85 kg, Kt/V 1,0 e banho [Ca+] 3,0; trazia os seguintes exames: PTH de 790, fosfatase alcalina 462, cálcio de 9,5, fósforo de 6,7 e raio X a seguir.

Com o objetivo de melhorar o controle do distúrbio mineral e ósseo desse paciente, qual é a conduta correta?
Provas
A fratura mais comum na coluna cervical do idoso é a fratura
Provas
Os meniscos apresentam maior capacidade de suportar forças de
Provas
A deformidade associada à pseudoartrose congênita da tíbia é o encurvamento
Provas
Na artroplastia total de quadril, a ocorrência de ossificação heterotópica é mais frequente quando se utiliza o acesso
Provas
A vasculite sistêmica, que é caracterizada por um processo inflamatório granulomatoso necrotizante e eosinofílico, frequentemente envolvendo o trato respiratório superior, causando vasculite de pequenos e médios vasos, sendo também comumente associada à asma e eosinofilia, além de presença do anticorpo anticitoplasma dos neutrófilos (ANCA), particularmente, quando associada à glomerulonefrite, é a
Provas
No pé cavo decorrente da doença de Charcot-Marie-Tooth, oantepé encontra-se
Provas
Na síndrome compressiva do piriforme, o movimento passivo que exacerba os sintomas é:
Provas
Caderno Container