Foram encontradas 60 questões.
Disciplina: Direito Sanitário
Banca: OBJETIVA
Orgão: Pref. Antônio Prado-RS
Em conformidade com o Manual de Processo Administrativo Sanitário, assinalar a alternativa que preenche a lacuna abaixo CORRETAMENTE:
A interdição cautelar não poderá exceder dias. Nesse período, deverão ser realizadas as análises ou providências necessárias para que a autoridade julgadora emita decisão no PAS, sob pena de ocorrer a liberação automática do produto e/ou estabelecimento.
Provas
Disciplina: Direito Sanitário
Banca: OBJETIVA
Orgão: Pref. Antônio Prado-RS
Segundo o Manual de Processo Administrativo Sanitário, a notificação dos atos praticados no PAS é de extrema relevância, pois é o meio pelo qual se dá ciência ao autuado das infrações que lhe estão sendo imputadas, das decisões posteriores, bem como dos prazos para efetuar sua defesa ou para recorrer. As formas de notificação ao autuado podem ser:
I. Pessoalmente.
II. Pelo correio.
III. Por edital.
Está(ão) CORRETO(S):
Provas
- Higiene e Vigilância Sanitária
- Administração dos Serviços de AlimentaçãoBoas Práticas de Produção e de Produção de Serviço

Um paciente de 54 anos de idade vai ao ambulatório com histórico de ter DPOC e ser tabagista por mais de 30 anos, levando a espirometria apresentada. Refere internação no último ano por problemas respiratórios. Tem falta de ar para tomar banho.
A respeito desse caso clínico, julgue os itens a seguir.
Provas
Uma paciente de 38 anos de idade vai ao pronto-socorro com histórico de cefaleia aguda recorrente, mais à direita, que fica pulsando, em escala de dor 8, com náuseas e vômitos. O exame neurológico está normal, com sinais vitais normais. Referindo irritabilidade, fez uso de analgésico não anti-inflamatório sem resultados. A dor iniciou hoje.
Quanto a esse caso clínico, julgue os itens a seguir.
Provas
Disciplina: Direito Sanitário
Banca: OBJETIVA
Orgão: Pref. Antônio Prado-RS

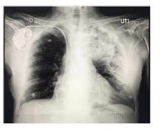
Considere um paciente de 66 anos de idade, com histórico de hipertensão arterial e diabetes controlados, além de ser cardiopata com marcapasso artificial. Relata calafrios com dois dias de evolução e tosse produtiva, além de estar taquipneico, com FR = 32 ipm, com PA = 110 mmHg x 82 mmHg; e com pulso = 126 bpm. Refere cansaço com dispneia. Tem nível de consciência preservado, com SatO2 = 89% (ar ambiente) e ureia = 58 mg/dL (VR = 5 mg/dL – 40 mg/dL). Apresenta o exame de raios X de tórax mostrado e nega internação ou uso de antibióticos no último ano.
Com relação a esse caso clínico e com base nos conhecimentos médicos correlatos, julgue os itens a seguir.
Provas
Disciplina: Legislação Municipal
Banca: OBJETIVA
Orgão: Pref. Antônio Prado-RS

Um paciente de 54 anos de idade vai ao ambulatório com histórico de ter DPOC e ser tabagista por mais de 30 anos, levando a espirometria apresentada. Refere internação no último ano por problemas respiratórios. Tem falta de ar para tomar banho.
A respeito desse caso clínico, julgue os itens a seguir.
Provas
Disciplina: Legislação Municipal
Banca: OBJETIVA
Orgão: Pref. Antônio Prado-RS
De acordo com a Lei Complementar nº 7/2006 - Código Municipal de Meio Ambiente e Posturas, a política de meio ambiente e posturas deve atender a alguns princípios fundamentais, EXCETO:
Provas
Disciplina: Direito Sanitário
Banca: OBJETIVA
Orgão: Pref. Antônio Prado-RS
Segundo a Portaria SVS/MS nº 326/1997, sobre o armazenamento de substâncias tóxicas, marcar C para as afirmativas Certas, E para as Erradas e, após, assinalar a alternativa que apresenta a sequência CORRETA:
( ) Os praguicidas solventes e outras substâncias tóxicas devem ser armazenados em áreas separadas ou armários fechados com chave, destinados exclusivamente com este fim, e só devem ser distribuídos ou manipulados por pessoal autorizado e devidamente capacitado sob controle de pessoal tecnicamente competente.
( ) Os praguicidas solventes e outras substâncias tóxicas que representam risco para a saúde devem ser rotulados com informações sobre sua toxidade e emprego.
( ) Não deve ser utilizada nem armazenada, na área de manipulação de alimentos, nenhuma substância que possa contaminar os alimentos, salvo sob controle, quando necessário para higienização ou sanitização.
Provas
Uma paciente de 26 anos de idade, no terceiro dia de pós-operatório de cesariana, retorna ao pronto atendimento do hospital, levada por familiares, obnubilada, hipocorada +++ / 4+, com FC = 127 bpm; PA = 88 mmHg x 46 mmHg; SatO2 = 94% (ar ambiente) e FR = 32 ipm. A paciente refere perda de sangue com grandes coágulos por via vaginal. É realizado desafio volêmico com cristaloide e resposta hemodinâmica débil. A paciente evolui com diminuição da diurese e deficit de bases em queda (BE = -9 mEq/L), Hb = 6,8 d/dL (VR = 13,5 – 17,5 d/dL), Ht = 19,2 % (VR = 41,00 – 53,00 %).
Com base nesse caso clínico e nos conhecimentos médicos correlatos, julgue os itens a seguir.
Provas
Disciplina: Legislação Municipal
Banca: OBJETIVA
Orgão: Pref. Antônio Prado-RS
Um paciente idoso, de 81 anos de idade, é admitido na enfermaria com quadro de fratura de fêmur proximal. O paciente apresenta letargia com sonolência e está incapaz de manter raciocínio sequenciado, distraindo-se com muita facilidade. É quadro com curso flutuante, com paciente previamente bem e, em alguns momentos do dia, apresentando o quadro descrito. A família relata que, ao entardecer, o paciente ficou agressivo, querendo descer da cama, cuspindo e desrespeitando todos, até mesmo com palavrões, o que nunca o tinham visto fazer antes.
Considerando esse caso clínico e os conhecimentos médicos correlatos, julgue os itens a seguir.
Provas
Caderno Container