Foram encontradas 470 questões.
Com relação à segurança do paciente durante a realização dos procedimentos de aspiração endotraqueal e de traqueostomia, assinale o item INCORRETO.
Provas
Disciplina: Segurança e Saúde no Trabalho (SST)
Banca: PROMUN
Orgão: OSSHCP HMR
Na prevenção de acidente e aspectos gerais da segurança individual, alerta-se para a ocorrência de constantes acidentes por desconhecer ou ignorar os procedimentos. Qual das alternativas abaixo descreve o procedimento correto para carregamento de pesos:
Provas
Para resolução da questão, considere o caso clínico abaixo.
M. C. D., mulher de 28 anos, chegou para consulta de enfermagem com queixas de ardência ao urinar, aumento da frequência, porém urinando poucos volumes, precisando prender a respiração e inclinar o abdômen para poder eliminar a urina.
Com relação à ausculta abdominal a ser realizada em M. C. D., marque a opção FALSA.
Provas
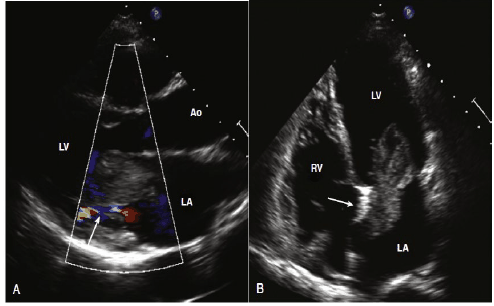
Paciente 38 anos, sem comorbidades apresentando há 7 meses episódios de sincope. Eletrocardiograma sem alterações.
Ecocardiograma abaixo:

Qual deve ser o principal diagnóstico do paciente?
Provas
Disciplina: Administração de Recursos Materiais
Banca: PROMUN
Orgão: OSSHCP HMR
São fases do fluxo de recebimento de materiais, exceto:
Provas
A Anotação de Enfermagem é fundamental para o desenvolvimento da Sistematização da Assistência de Enfermagem, pois é fonte de informações essenciais para assegurar a continuidade da assistência. Constitui diretriz importante para elaboração das anotações de enfermagem, a fim de garantir a comunicação correta e integral entre os profissionais:
Provas
Assinale a alternativa que corresponde aos “inputs” dentro do modelo geral de psicoterapias:
Provas
Qual dos antibióticos abaixo tem uso criterioso na amamentação, podendo causar depressão da medula óssea?
Provas
Disciplina: Administração de Recursos Materiais
Banca: PROMUN
Orgão: OSSHCP HMR
Materiais de demanda imprevisível, para os quais não há definição de parâmetros para ressuprimento automático. São classificados, como:
Provas
Disciplina: Administração de Recursos Materiais
Banca: PROMUN
Orgão: OSSHCP HMR
Segundo Fernandes (1981, p.148) existem 3 tipos de codificação usados na classificação de material. Esse é um método que como o próprio nome indica usa letras e números para representar um material. Trata-se do:
Provas
Caderno Container