Foram encontradas 100 questões.
A dengue é a arbovirose mais frequente do mundo. O aumento crescente de casos nas áreas endêmicas e a possível expansão da área de risco de infecção caracterizam um grave problema de saúde pública nos países. Em relação à única vacina contra a dengue (DengvaxiaR), atualmente licenciada para uso contra a doença, assinale a alternativa correta.
Provas
Uma paciente de doze anos de idade foi à consulta médica, acompanhada da mãe, referindo coluna “torta” há um ano. A paciente não teve menarca, nega dores e, ao exame, apresenta teste de Adams positivo e assimetria do triângulo do talhe. Radiografias de coluna e bacia evidenciam escoliose idiopática torácica direita, com curvatura com ângulo de Cobb de 32 graus. O sinal de Risser da paciente é 1.
Com base nesse caso hipotético, é correto afirmar que a melhor conduta para a paciente será
Provas
Durante a reanimação de um recém-nascido em sala de parto, deve-se realizar
Provas
Quanto ao teste de triagem neonatal, julgue os itens que se seguem.
I. O Ministério da Saúde recomenda que o período ideal de coleta da primeira amostra esteja compreendido entre o 3.º e o 5.º dia de vida do bebê.
II. Após o resultado positivo inicial no programa de triagem neonatal para hipotireoidismo congênito, deve ser realizada a dosagem do T4 (total e livre) e do TSH em amostra de sangue venoso, para que haja a efetiva confirmação diagnóstica.
III. Atualmente, a triagem neonatal disponibilizada pelo SUS rastreia fenilcetonúria, hipotireoidismo congênito, doença falciforme e outras hemoglobinopatias, fibrose cística, hiperplasia adrenal congênita e deficiência de biotinidase e há uma programação estabelecida de inclusão no rastreio pelo SUS da toxoplasmose congênita.
Assinale a alternativa correta.
Provas
Um paciente com nove meses de vida, previamente hígido, com história de tosse, coriza hialina e diminuição da ingesta alimentar há três dias, foi levado ao serviço de emergência com episódio de crise convulsiva tônico-clônica generalizada há quinze minutos, com duração de cinco minutos e resolução espontânea. Ao exame: paciente sonolento, mas respondendo a estímulo verbal; febril (38 ºC); e com FC de 110 bpm, FR de 36 ipm e saturação de 96% em ar ambiente, sem outras alterações.
Com base nesse caso hipotético, assinale a alternativa que apresenta, correta e respectivamente, o diagnóstico mais provável e a conduta a ser adotada.
Provas
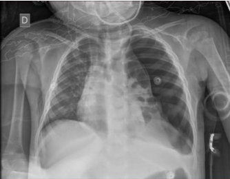
Uma paciente de dois anos de idade foi levada ao serviço de emergência com história de estar tratando uma pneumonia com cefalexina há quatro dias e, há um dia, vir apresentando piora do estado geral, prostração e inapetência. Ao exame, paciente em mau estado geral, agitada, toxemiada, afebril, com FC de 140 bpm, FR de 50 ipm, sat. de O2 de 85% em nebulização, PA de 80 x 45 mmHg, MV presente bilateralmente e diminuído à esquerda, tempo de enchimento capilar de 3 segundos e pulsos periféricos finos. Decidiu-se intubar a paciente e, durante a preparação do material e das drogas pela equipe da enfermagem, estabeleceu ventilação com bolsa-valva-máscara. Após alguns minutos, ainda antes do procedimento, a paciente iniciou crise de tosse, com FC de 180 bpm, FR de 65 ipm, sat. de O2 de 78% em ventilação com bolsa-valva-máscara e PA de 60 x 30 mmHg. A radiografia realizada na sala de emergência segue abaixo.

Com base nesse caso hipotético, assinale a alternativa que apresenta a conduta mais indicada no momento.
Provas
Um paciente de um ano e dois meses de idade, 10 kg, com diarreia aguda há três dias, foi levado ao serviço de emergência. Ao exame físico, sinais clínicos de desidratação grau 2 e vômitos incoercíveis. Realizou os seguintes exames laboratoriais: pH 7,25; pCO2 25; bic 11; BE –14,5; Na 137; K 4,7; e cloro 106.
Com base nesse caso hipotético, assinale a alternativa que apresenta a melhor prescrição no momento para o paciente.
Provas
Uma adolescente de catorze anos de idade foi à consulta de rotina sem queixas. Refere que, durante todo o período da pandemia, permaneceu em casa, assistindo às aulas de forma on-line, praticamente sem atividades esportivas ou sociais com as amigas. Na avaliação pondero-estatural: peso = 68 kg e altura = 1,50 m.

Com base nesse caso hipotético e na curva acima, assinale a alternativa que apresenta o diagnóstico nutricional para a adolescente.
Provas
Uma gestante com quadro de febre há dois dias, tosse, coriza e anosmia deu entrada na maternidade em trabalho de parto. Está na 39.a semana de gestação e nega contato com outras pessoas com síndrome gripal.
Com base nesse caso hipotético, assinale a alternativa correta.
Provas
Um paciente de quatro anos de idade, com exacerbação de asma, foi levado ao serviço de emergência agitado, com fala entrecortada, oximetria de 90% em ar ambiente, FR de 42 ipm, FC de 155 bpm e murmúrio vesicular muito diminuído, com raros sibilos.
Com base nesse caso hipotético, é correto afirmar que, após instalar monitorização e oxigênio, seguindo as recomendações da Global Iniciative for Asthma, deve-se
Provas
Caderno Container