Foram encontradas 688 questões.
Paciente recém-nascido (RN) apresentou icterícia 3 horas após o parto, com níveis de bilirrubina sérica aumentando mais de 5 mg/dL a cada 24 horas, tendo atingido 20 mg/dL. A mãe refere ser este seu terceiro filho. Os outros dois apresentaram icterícia após o parto, sem receber tratamento. A mãe não soube referir a duração. Considera-se a possibilidade de transfusão sanguínea para esse paciente. Foram solicitados os seguintes exames ao laboratório: tipagem ABO e Rh da mãe, do pai e do RN, provas de compatibilidade pré-transfusional do RN, dosagem de bilirrubinas e teste de Coombs direto.
Considerando a situação hipotética apresentada, julgue os itens a seguir.
O sangue para a medida de VHS deve ser colhido em EDTA, sendo que a leitura deve ser realizada após 60 minutos de sedimentação em pipetas de Westergren.
Provas
Paciente recém-nascido (RN) apresentou icterícia 3 horas após o parto, com níveis de bilirrubina sérica aumentando mais de 5 mg/dL a cada 24 horas, tendo atingido 20 mg/dL. A mãe refere ser este seu terceiro filho. Os outros dois apresentaram icterícia após o parto, sem receber tratamento. A mãe não soube referir a duração. Considera-se a possibilidade de transfusão sanguínea para esse paciente. Foram solicitados os seguintes exames ao laboratório: tipagem ABO e Rh da mãe, do pai e do RN, provas de compatibilidade pré-transfusional do RN, dosagem de bilirrubinas e teste de Coombs direto.
Considerando a situação hipotética apresentada, julgue os itens a seguir.
A medida da velocidade de hemossedimentação solicitada é um exame específico para essa situação, pois detecta a aglutinação de hemácias.
Provas
Paciente recém-nascido (RN) apresentou icterícia 3 horas após o parto, com níveis de bilirrubina sérica aumentando mais de 5 mg/dL a cada 24 horas, tendo atingido 20 mg/dL. A mãe refere ser este seu terceiro filho. Os outros dois apresentaram icterícia após o parto, sem receber tratamento. A mãe não soube referir a duração. Considera-se a possibilidade de transfusão sanguínea para esse paciente. Foram solicitados os seguintes exames ao laboratório: tipagem ABO e Rh da mãe, do pai e do RN, provas de compatibilidade pré-transfusional do RN, dosagem de bilirrubinas e teste de Coombs direto.
Considerando a situação hipotética apresentada, julgue os itens a seguir.
Se o teste de Coombs direto for positivo, deve-se realizar o teste da sacarose, para que se identifique a especificidade dos anticorpos.
Provas
Paciente recém-nascido (RN) apresentou icterícia 3 horas após o parto, com níveis de bilirrubina sérica aumentando mais de 5 mg/dL a cada 24 horas, tendo atingido 20 mg/dL. A mãe refere ser este seu terceiro filho. Os outros dois apresentaram icterícia após o parto, sem receber tratamento. A mãe não soube referir a duração. Considera-se a possibilidade de transfusão sanguínea para esse paciente. Foram solicitados os seguintes exames ao laboratório: tipagem ABO e Rh da mãe, do pai e do RN, provas de compatibilidade pré-transfusional do RN, dosagem de bilirrubinas e teste de Coombs direto.
Considerando a situação hipotética apresentada, julgue os itens a seguir.
A prova cruzada é um teste de compatibilidade pré-transfusional, sendo que na segunda fase dessa prova os tubos com soro do receptor e hemácias do doador devem ser aquecidos a 37 ºC.
Provas
Paciente recém-nascido (RN) apresentou icterícia 3 horas após o parto, com níveis de bilirrubina sérica aumentando mais de 5 mg/dL a cada 24 horas, tendo atingido 20 mg/dL. A mãe refere ser este seu terceiro filho. Os outros dois apresentaram icterícia após o parto, sem receber tratamento. A mãe não soube referir a duração. Considera-se a possibilidade de transfusão sanguínea para esse paciente. Foram solicitados os seguintes exames ao laboratório: tipagem ABO e Rh da mãe, do pai e do RN, provas de compatibilidade pré-transfusional do RN, dosagem de bilirrubinas e teste de Coombs direto.
Considerando a situação hipotética apresentada, julgue os itens a seguir.
A icterícia do RN pode ser causada por incompatibilidade sanguínea materno-fetal somente se o antígeno E do grupo Rh estiver presente nas hemácias do RN.
Provas
Paciente recém-nascido (RN) apresentou icterícia 3 horas após o parto, com níveis de bilirrubina sérica aumentando mais de 5 mg/dL a cada 24 horas, tendo atingido 20 mg/dL. A mãe refere ser este seu terceiro filho. Os outros dois apresentaram icterícia após o parto, sem receber tratamento. A mãe não soube referir a duração. Considera-se a possibilidade de transfusão sanguínea para esse paciente. Foram solicitados os seguintes exames ao laboratório: tipagem ABO e Rh da mãe, do pai e do RN, provas de compatibilidade pré-transfusional do RN, dosagem de bilirrubinas e teste de Coombs direto.
Considerando a situação hipotética apresentada, julgue os itens a seguir.
As diferentes formas de bilirrubinas devem ser solubilizadas somente em água durante a dosagem, pois se precipitam em álcool.
Provas
Paciente recém-nascido (RN) apresentou icterícia 3 horas após o parto, com níveis de bilirrubina sérica aumentando mais de 5 mg/dL a cada 24 horas, tendo atingido 20 mg/dL. A mãe refere ser este seu terceiro filho. Os outros dois apresentaram icterícia após o parto, sem receber tratamento. A mãe não soube referir a duração. Considera-se a possibilidade de transfusão sanguínea para esse paciente. Foram solicitados os seguintes exames ao laboratório: tipagem ABO e Rh da mãe, do pai e do RN, provas de compatibilidade pré-transfusional do RN, dosagem de bilirrubinas e teste de Coombs direto.
Considerando a situação hipotética apresentada, julgue os itens a seguir.
No teste de Coombs indireto, o soro do paciente deve ser incubado com hemácias.
Provas
Paciente recém-nascido (RN) apresentou icterícia 3 horas após o parto, com níveis de bilirrubina sérica aumentando mais de 5 mg/dL a cada 24 horas, tendo atingido 20 mg/dL. A mãe refere ser este seu terceiro filho. Os outros dois apresentaram icterícia após o parto, sem receber tratamento. A mãe não soube referir a duração. Considera-se a possibilidade de transfusão sanguínea para esse paciente. Foram solicitados os seguintes exames ao laboratório: tipagem ABO e Rh da mãe, do pai e do RN, provas de compatibilidade pré-transfusional do RN, dosagem de bilirrubinas e teste de Coombs direto.
Considerando a situação hipotética apresentada, julgue os itens a seguir.
O teste de Coombs direto é usado para detectar a presença de anticorpos ligados às hemácias.
Provas
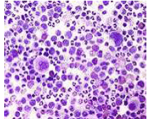
Chegam ao laboratório de análises clínicas diversas amostras de sangue de um paciente com suspeita de sepse, com solicitação dos seguintes exames: hemocultura, hemograma completo, prova de fragilidade capilar, análise de fator XIII, dosagem de gama-glutamil-transferase, Na, K e exame de rotina de urina (EAS).
Considerando essas informações, julgue os seguintes itens.
Considerando a imagem abaixo como representativa de uma lâmina, é correto afirmar que essa imagem mostra um esfregaço de sangue compatível com sepse, devido à leucocitose observada.

Provas
Chegam ao laboratório de análises clínicas diversas amostras de sangue de um paciente com suspeita de sepse, com solicitação dos seguintes exames: hemocultura, hemograma completo, prova de fragilidade capilar, análise de fator XIII, dosagem de gama-glutamil-transferase, Na, K e exame de rotina de urina (EAS).
Considerando essas informações, julgue os seguintes itens.
Atualmente, graças aos avanços tecnológicos, é possível realizar todos os testes de rotina, de urina, físico-químicos e do sedimento, apenas com fitas reativas, obtendo-se resultados rápidos e confiáveis.
Provas
Caderno Container