Foram encontradas 688 questões.
Um paciente com patologia reumática é atendido em um hospital, com insuficiência renal crônica, já tendo sido submetido a sessões de hemodiálise e recebido transfusões e hemoderivados (plasma). São solicitados ao laboratório análise de urina (EAS), diversas provas de atividade reumática e provas pré-transfusionais. Considerando essas informações e as características relativas aos exames e às transfusões, julgue os itens que se seguem.
Para a diferenciação entre cristais de fosfato de cálcio e os de carbonato de cálcio, deve-se corar o sedimento com o corante de Loefler.
Provas
Um paciente com patologia reumática é atendido em um hospital, com insuficiência renal crônica, já tendo sido submetido a sessões de hemodiálise e recebido transfusões e hemoderivados (plasma). São solicitados ao laboratório análise de urina (EAS), diversas provas de atividade reumática e provas pré-transfusionais. Considerando essas informações e as características relativas aos exames e às transfusões, julgue os itens que se seguem.
De acordo com a Portaria n.º 1.376/1993 do Ministério da Saúde, candidatos à doação de sangue que receberam sangue, componentes e(ou) derivados nos 10 anos anteriores devem ser excluídos em virtude do risco potencial de transmitirem doenças infecciosas.
Provas
Um paciente com patologia reumática é atendido em um hospital, com insuficiência renal crônica, já tendo sido submetido a sessões de hemodiálise e recebido transfusões e hemoderivados (plasma). São solicitados ao laboratório análise de urina (EAS), diversas provas de atividade reumática e provas pré-transfusionais. Considerando essas informações e as características relativas aos exames e às transfusões, julgue os itens que se seguem.
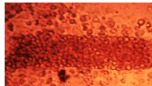
A figura a seguir mostra cristais de fosfato de cálcio, observados no sedimento urinário. Tal achado é comum na síndrome nefrótica.

Provas
Um paciente com patologia reumática é atendido em um hospital, com insuficiência renal crônica, já tendo sido submetido a sessões de hemodiálise e recebido transfusões e hemoderivados (plasma). São solicitados ao laboratório análise de urina (EAS), diversas provas de atividade reumática e provas pré-transfusionais. Considerando essas informações e as características relativas aos exames e às transfusões, julgue os itens que se seguem.
Albumina, imunoglobulinas séricas e crioprecipitado são alguns hemoderivados que podem ser obtidos a partir do plasma fresco congelado.
Provas
Um paciente com patologia reumática é atendido em um hospital, com insuficiência renal crônica, já tendo sido submetido a sessões de hemodiálise e recebido transfusões e hemoderivados (plasma). São solicitados ao laboratório análise de urina (EAS), diversas provas de atividade reumática e provas pré-transfusionais. Considerando essas informações e as características relativas aos exames e às transfusões, julgue os itens que se seguem.
Provas
Um paciente com patologia reumática é atendido em um hospital, com insuficiência renal crônica, já tendo sido submetido a sessões de hemodiálise e recebido transfusões e hemoderivados (plasma). São solicitados ao laboratório análise de urina (EAS), diversas provas de atividade reumática e provas pré-transfusionais. Considerando essas informações e as características relativas aos exames e às transfusões, julgue os itens que se seguem.
Alfa-1-glicoproteína e alfa-2-macroglobulina, glicoproteínas denominadas mucoproteínas, se alteram em síndromes nefróticas.
Provas
Um paciente com patologia reumática é atendido em um hospital, com insuficiência renal crônica, já tendo sido submetido a sessões de hemodiálise e recebido transfusões e hemoderivados (plasma). São solicitados ao laboratório análise de urina (EAS), diversas provas de atividade reumática e provas pré-transfusionais. Considerando essas informações e as características relativas aos exames e às transfusões, julgue os itens que se seguem.
As provas para detecção de fator antinuclear são úteis na investigação de doenças auto-imunes e detectam DNA, RNA e histonas.
Provas
Um paciente com patologia reumática é atendido em um hospital, com insuficiência renal crônica, já tendo sido submetido a sessões de hemodiálise e recebido transfusões e hemoderivados (plasma). São solicitados ao laboratório análise de urina (EAS), diversas provas de atividade reumática e provas pré-transfusionais. Considerando essas informações e as características relativas aos exames e às transfusões, julgue os itens que se seguem.
A transfusão de sangue contaminado é suficiente para a transmissão da hepatite B, enquanto a hepatite C pode ser transmitida somente por hemoderivados.
Provas
Um paciente com patologia reumática é atendido em um hospital, com insuficiência renal crônica, já tendo sido submetido a sessões de hemodiálise e recebido transfusões e hemoderivados (plasma). São solicitados ao laboratório análise de urina (EAS), diversas provas de atividade reumática e provas pré-transfusionais. Considerando essas informações e as características relativas aos exames e às transfusões, julgue os itens que se seguem.
Caso o banco de sangue detecte que o resultado do teste de ácidos nucléicos para detecção da infecção pelo vírus da hepatite C de uma unidade de plasma apresente-se positiva, e caso haja algum outro hemoderivado oriundo desse mesmo doador, este produto deve ser descartado imediatamente.
Provas
Paciente do sexo masculino, de 32 anos de idade, apresentou quadro de diarréia aguda, com sangue e muco em todas as evacuações durante 15 dias, com febre e dor abdominal intensa. Uma ultrassonografia revelou lesão única em lobo direito, compatível com abscesso hepático, o qual foi puncionado para investigação da secreção. Foram solicitados diversos exames laboratoriais, como hemograma, parasitológico de fezes, bacterioscópico e cultura da secreção hepática, diversas dosagens de anticorpos, hemocultura e dosagem de enzimas hepáticas.
Considerando o caso clínico hipotético apresentado, julgue os seguintes itens.
Ao se realizar a dosagem de uma das enzimas hepáticas, por método fotométrico, foi feita uma curva de calibração utilizando-se soro de controle em concentrações conhecidas. Nessa curva de calibração, para os valores de concentração de 10 U/L e 30 U/L foi observada, respectivamente, a absorbância de 0,5 UA e 0,7 UA, sendo que a análise de outros valores não descritos mostrou uma correlação linear. Caso a absorbância para o soro do paciente seja de 0,8 UA, é correto inferir que a concentração sérica de enzima do paciente seja de 40 U/L.
Provas
Caderno Container