Foram encontradas 688 questões.
Paciente do sexo masculino, de 32 anos de idade, apresentou quadro de diarréia aguda, com sangue e muco em todas as evacuações durante 15 dias, com febre e dor abdominal intensa. Uma ultrassonografia revelou lesão única em lobo direito, compatível com abscesso hepático, o qual foi puncionado para investigação da secreção. Foram solicitados diversos exames laboratoriais, como hemograma, parasitológico de fezes, bacterioscópico e cultura da secreção hepática, diversas dosagens de anticorpos, hemocultura e dosagem de enzimas hepáticas.
Considerando o caso clínico hipotético apresentado, julgue os seguintes itens.
Caso o abscesso hepático seja amebiano, a bacterioscopia do material aspirado, corado pela técnica de Gram, terá o aspecto mostrado na figura abaixo.

Provas
Paciente do sexo masculino, de 32 anos de idade, apresentou quadro de diarréia aguda, com sangue e muco em todas as evacuações durante 15 dias, com febre e dor abdominal intensa. Uma ultrassonografia revelou lesão única em lobo direito, compatível com abscesso hepático, o qual foi puncionado para investigação da secreção. Foram solicitados diversos exames laboratoriais, como hemograma, parasitológico de fezes, bacterioscópico e cultura da secreção hepática, diversas dosagens de anticorpos, hemocultura e dosagem de enzimas hepáticas.
Considerando o caso clínico hipotético apresentado, julgue os seguintes itens.
Caso o abscesso hepático seja amebiano, a hemocultura terá uma probabilidade menor que 85% de ser positiva para E. coli.
Provas
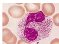
Paciente do sexo masculino, de 32 anos de idade, apresentou quadro de diarréia aguda, com sangue e muco em todas as evacuações durante 15 dias, com febre e dor abdominal intensa. Uma ultrassonografia revelou lesão única em lobo direito, compatível com abscesso hepático, o qual foi puncionado para investigação da secreção. Foram solicitados diversos exames laboratoriais, como hemograma, parasitológico de fezes, bacterioscópico e cultura da secreção hepática, diversas dosagens de anticorpos, hemocultura e dosagem de enzimas hepáticas.
Considerando o caso clínico hipotético apresentado, julgue os seguintes itens.
No hemograma de pacientes com parasitoses intestinais, podem-se encontrar os tipos celulares mostrados na figura a seguir.

Provas
Paciente do sexo masculino, de 32 anos de idade, apresentou quadro de diarréia aguda, com sangue e muco em todas as evacuações durante 15 dias, com febre e dor abdominal intensa. Uma ultrassonografia revelou lesão única em lobo direito, compatível com abscesso hepático, o qual foi puncionado para investigação da secreção. Foram solicitados diversos exames laboratoriais, como hemograma, parasitológico de fezes, bacterioscópico e cultura da secreção hepática, diversas dosagens de anticorpos, hemocultura e dosagem de enzimas hepáticas.
Considerando o caso clínico hipotético apresentado, julgue os seguintes itens.
Em razão do quadro clínico descrito, o teste das fezes com goma de guaiaco será positivo.
Provas
Paciente do sexo masculino, de 32 anos de idade, apresentou quadro de diarréia aguda, com sangue e muco em todas as evacuações durante 15 dias, com febre e dor abdominal intensa. Uma ultrassonografia revelou lesão única em lobo direito, compatível com abscesso hepático, o qual foi puncionado para investigação da secreção. Foram solicitados diversos exames laboratoriais, como hemograma, parasitológico de fezes, bacterioscópico e cultura da secreção hepática, diversas dosagens de anticorpos, hemocultura e dosagem de enzimas hepáticas.
Considerando o caso clínico hipotético apresentado, julgue os seguintes itens.
A imagem abaixo mostra um cisto de Entamoeba histolytica corado com lugol diluído.

Provas
Paciente do sexo masculino, de 32 anos de idade, apresentou quadro de diarréia aguda, com sangue e muco em todas as evacuações durante 15 dias, com febre e dor abdominal intensa. Uma ultrassonografia revelou lesão única em lobo direito, compatível com abscesso hepático, o qual foi puncionado para investigação da secreção. Foram solicitados diversos exames laboratoriais, como hemograma, parasitológico de fezes, bacterioscópico e cultura da secreção hepática, diversas dosagens de anticorpos, hemocultura e dosagem de enzimas hepáticas.
Considerando o caso clínico hipotético apresentado, julgue os seguintes itens.
A visualização de cistos nas fezes pode ser melhorada com a adição de uma gota da solução de iodo 1 g, iodeto de potássio 2 g e água destilada 100 mL.
Provas
Paciente do sexo masculino, de 32 anos de idade, apresentou quadro de diarréia aguda, com sangue e muco em todas as evacuações durante 15 dias, com febre e dor abdominal intensa. Uma ultrassonografia revelou lesão única em lobo direito, compatível com abscesso hepático, o qual foi puncionado para investigação da secreção. Foram solicitados diversos exames laboratoriais, como hemograma, parasitológico de fezes, bacterioscópico e cultura da secreção hepática, diversas dosagens de anticorpos, hemocultura e dosagem de enzimas hepáticas.
Considerando o caso clínico hipotético apresentado, julgue os seguintes itens.
Fezes conservadas em MIF podem ser examinadas pelo método direto.
Provas
Paciente do sexo masculino, de 32 anos de idade, apresentou quadro de diarréia aguda, com sangue e muco em todas as evacuações durante 15 dias, com febre e dor abdominal intensa. Uma ultrassonografia revelou lesão única em lobo direito, compatível com abscesso hepático, o qual foi puncionado para investigação da secreção. Foram solicitados diversos exames laboratoriais, como hemograma, parasitológico de fezes, bacterioscópico e cultura da secreção hepática, diversas dosagens de anticorpos, hemocultura e dosagem de enzimas hepáticas.
Considerando o caso clínico hipotético apresentado, julgue os seguintes itens.
Caso o exame parasitológico de fezes não possa ser iniciado até duas horas após a coleta do material, as fezes devem ser armazenadas em estufa, para evitar a degeneração de parasitos, principalmente trofozoítos.
Provas
Paciente recém-nascido (RN) apresentou icterícia 3 horas após o parto, com níveis de bilirrubina sérica aumentando mais de 5 mg/dL a cada 24 horas, tendo atingido 20 mg/dL. A mãe refere ser este seu terceiro filho. Os outros dois apresentaram icterícia após o parto, sem receber tratamento. A mãe não soube referir a duração. Considera-se a possibilidade de transfusão sanguínea para esse paciente. Foram solicitados os seguintes exames ao laboratório: tipagem ABO e Rh da mãe, do pai e do RN, provas de compatibilidade pré-transfusional do RN, dosagem de bilirrubinas e teste de Coombs direto.
Considerando a situação hipotética apresentada, julgue os itens a seguir.
Entre os hemoderivados, o plasma rico em plaquetas é obtido a partir do sangue total, após uma etapa de centrifugação.
Provas
Paciente recém-nascido (RN) apresentou icterícia 3 horas após o parto, com níveis de bilirrubina sérica aumentando mais de 5 mg/dL a cada 24 horas, tendo atingido 20 mg/dL. A mãe refere ser este seu terceiro filho. Os outros dois apresentaram icterícia após o parto, sem receber tratamento. A mãe não soube referir a duração. Considera-se a possibilidade de transfusão sanguínea para esse paciente. Foram solicitados os seguintes exames ao laboratório: tipagem ABO e Rh da mãe, do pai e do RN, provas de compatibilidade pré-transfusional do RN, dosagem de bilirrubinas e teste de Coombs direto.
Considerando a situação hipotética apresentada, julgue os itens a seguir.
Caso o RN venha a apresentar hepatite C contraída durante a transfusão, um sistema adequado de hemovigilância permitirá rastrear o doador, outros receptores do mesmo doador e quais hemocomponentes foram contaminados, pois tal fato caracteriza um incidente transfusional tardio.
Provas
Caderno Container