Foram encontradas 688 questões.
Em determinado laboratório, foram entregues diversos materiais para citologia, numerados e identificados como se segue:
I secreção nasal de paciente, com solicitação para citologia pelo método de Hansel-Shimizu;
II fragmento de tecido hepático obtido por biópsia;
III líquido cefalorraquidiano (LCR) de paciente com suspeita de tuberculose;
IV biópsia de tumor subcutâneo de paciente soropositivo para HIV.
Considerando essa situação, julgue os seguintes itens.
A fixação para coloração de Ziehl-Neelsen ocorre por meio de calor.
Provas
Em determinado laboratório, foram entregues diversos materiais para citologia, numerados e identificados como se segue:
I secreção nasal de paciente, com solicitação para citologia pelo método de Hansel-Shimizu;
II fragmento de tecido hepático obtido por biópsia;
III líquido cefalorraquidiano (LCR) de paciente com suspeita de tuberculose;
IV biópsia de tumor subcutâneo de paciente soropositivo para HIV.
Considerando essa situação, julgue os seguintes itens.
A imagem apresentada abaixo mostra um procedimento incorreto, que pode resultar em acidente de trabalho.

Provas
Em determinado laboratório, foram entregues diversos materiais para citologia, numerados e identificados como se segue:
I secreção nasal de paciente, com solicitação para citologia pelo método de Hansel-Shimizu;
II fragmento de tecido hepático obtido por biópsia;
III líquido cefalorraquidiano (LCR) de paciente com suspeita de tuberculose;
IV biópsia de tumor subcutâneo de paciente soropositivo para HIV.
Considerando essa situação, julgue os seguintes itens.
Se a microtomia das amostras II ou IV for realizada por criostato, não se deve fazer previamente a inclusão em parafina.
Provas
Em determinado laboratório, foram entregues diversos materiais para citologia, numerados e identificados como se segue:
I secreção nasal de paciente, com solicitação para citologia pelo método de Hansel-Shimizu;
II fragmento de tecido hepático obtido por biópsia;
III líquido cefalorraquidiano (LCR) de paciente com suspeita de tuberculose;
IV biópsia de tumor subcutâneo de paciente soropositivo para HIV.
Considerando essa situação, julgue os seguintes itens.
Caso o material IV apresente regiões de calcificação, pode ser descalcificado utilizando-se EDTA, método de descalcificação suave e lento.
Provas
Em determinado laboratório, foram entregues diversos materiais para citologia, numerados e identificados como se segue:
I secreção nasal de paciente, com solicitação para citologia pelo método de Hansel-Shimizu;
II fragmento de tecido hepático obtido por biópsia;
III líquido cefalorraquidiano (LCR) de paciente com suspeita de tuberculose;
IV biópsia de tumor subcutâneo de paciente soropositivo para HIV.
Considerando essa situação, julgue os seguintes itens.
O material IV — biópsia de tumor subcutâneo de paciente soropositivo para HIV —, depois de corado por hematoxilina e eosina, deve ser tratado com álcool e xilol, nesta ordem, para em seguida, ser montado entre lâmina e lamínula com bálsamo do Canadá.
Provas
Em determinado laboratório, foram entregues diversos materiais para citologia, numerados e identificados como se segue:
I secreção nasal de paciente, com solicitação para citologia pelo método de Hansel-Shimizu;
II fragmento de tecido hepático obtido por biópsia;
III líquido cefalorraquidiano (LCR) de paciente com suspeita de tuberculose;
IV biópsia de tumor subcutâneo de paciente soropositivo para HIV.
Considerando essa situação, julgue os seguintes itens.
Se for solicitada a coloração de Ziehl-Neelsen para a amostra de LCR, o corante pode ser preparado em um tubo de ensaio, a partir de 30 g de fucsina básica.
Provas
Em determinado laboratório, foram entregues diversos materiais para citologia, numerados e identificados como se segue:
I secreção nasal de paciente, com solicitação para citologia pelo método de Hansel-Shimizu;
II fragmento de tecido hepático obtido por biópsia;
III líquido cefalorraquidiano (LCR) de paciente com suspeita de tuberculose;
IV biópsia de tumor subcutâneo de paciente soropositivo para HIV.
Considerando essa situação, julgue os seguintes itens.
Se for visualizada a imagem abaixo durante a análise do material III, pode-se afirmar seguramente que se trata de tuberculose.

Provas
Em determinado laboratório, foram entregues diversos materiais para citologia, numerados e identificados como se segue:
I secreção nasal de paciente, com solicitação para citologia pelo método de Hansel-Shimizu;
II fragmento de tecido hepático obtido por biópsia;
III líquido cefalorraquidiano (LCR) de paciente com suspeita de tuberculose;
IV biópsia de tumor subcutâneo de paciente soropositivo para HIV.
Considerando essa situação, julgue os seguintes itens.
Se for realizada a centrifugação do material III, este deve ser acondicionado em um frasco do tipo Kitasato durante a centrifugação.
Provas
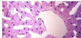
Em determinado laboratório, foram entregues diversos materiais para citologia, numerados e identificados como se segue:
I secreção nasal de paciente, com solicitação para citologia pelo método de Hansel-Shimizu;
II fragmento de tecido hepático obtido por biópsia;
III líquido cefalorraquidiano (LCR) de paciente com suspeita de tuberculose;
IV biópsia de tumor subcutâneo de paciente soropositivo para HIV.
Considerando essa situação, julgue os seguintes itens.
Na imagem a seguir, compatível com a análise da amostra II, podem ser identificados hepatócitos, células endoteliais e sinusóides.

Provas
Em determinado laboratório, foram entregues diversos materiais para citologia, numerados e identificados como se segue:
I secreção nasal de paciente, com solicitação para citologia pelo método de Hansel-Shimizu;
II fragmento de tecido hepático obtido por biópsia;
III líquido cefalorraquidiano (LCR) de paciente com suspeita de tuberculose;
IV biópsia de tumor subcutâneo de paciente soropositivo para HIV.
Considerando essa situação, julgue os seguintes itens.
A fixação com formalina e a desidratação do material IV com xileno ou tolueno devem ser feitas em cabine de segurança biológica classe II tipo A, para a segurança tanto do técnico que analisa o material quanto dos demais indivíduos presentes na mesma área.
Provas
Caderno Container