Foram encontradas 40 questões.
323174
Ano: 2019
Disciplina: Estatuto do Idoso - Lei 10.741/2003
Banca: QUADRIX
Orgão: FHGV-RS
Disciplina: Estatuto do Idoso - Lei 10.741/2003
Banca: QUADRIX
Orgão: FHGV-RS
Provas:
O Estatuto do Idoso estabelece que é
Provas
Questão presente nas seguintes provas
- Aspectos Gerais da Comunicação Oficial
- Manual de Redação da Presidência da RepúblicaAs Comunicações Oficiais
- Ortografia e Gramática
Texto para a questão.

Folha de S. Paulo, Caderno B6, 23/4/2019 (com adaptações).
Provas
Questão presente nas seguintes provas

Considerando as imagens acima, assinale a alternativa correta acerca das técnicas de rotina utilizadas em laboratório de parasitologia.
Provas
Questão presente nas seguintes provas
Dois pacientes foram submetidos à realização de hemograma. O paciente A tinha cinquenta anos de idade e apresentava esplenomegalia, enquanto o paciente B tinha quatro anos de idade e mostrou-se com quadro de febre, aumento do fígado e do baço e linfoadenopatia. Os resultados do eritrograma mostraram anemia normocítica normocrômica para ambos os pacientes. Os resultados do leucograma e da contagem de plaquetas estão apresentados a seguir.

Com base nesse caso hipotético, assinale a alternativa correta.

Com base nesse caso hipotético, assinale a alternativa correta.
Provas
Questão presente nas seguintes provas
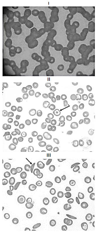
Um laboratório, durante as análises rotineiras de esfregaço sanguíneo de três amostras (1, 2 e 3), identificou as imagens a seguir.

Com base nessa situação hipotética, assinale a alternativa correta.

Com base nessa situação hipotética, assinale a alternativa correta.
Provas
Questão presente nas seguintes provas
- Direitos e Garantias FundamentaisDireitos e Deveres Individuais e ColetivosRemédios ConstitucionaisHabeas Corpus
- Direitos e Garantias FundamentaisDireitos e Deveres Individuais e ColetivosRemédios ConstitucionaisHabeas Data
- Direitos e Garantias FundamentaisDireitos e Deveres Individuais e ColetivosRemédios ConstitucionaisMandado de Segurança
Conforme a CF, não pode ser gratuito(a) o(a)
Provas
Questão presente nas seguintes provas
De acordo com a Constituição Federal de 1988 (CF), é(são) princípio(s) fundamental(is) da República brasileira
Provas
Questão presente nas seguintes provas
Segundo a CF, é direito dos trabalhadores rurais e urbanos
o(a)
Provas
Questão presente nas seguintes provas
De acordo com a CF, as ações e os serviços públicos de saúde
constituem um sistema único, que tem como uma de suas
diretrizes o(a)
Provas
Questão presente nas seguintes provas
Compete ao conselho fiscal da Fundação Hospital Municipal
Getúlio Vargas
Provas
Questão presente nas seguintes provas
Cadernos
Caderno Container