Foram encontradas 654 questões.
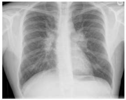
Na radiologia torácica há um achado clássico denominado de Tríade de Garland ou sinal do 1,2,3. (figura abaixo). Esses achados se referem ao alargamento mediastinal (paratraqueal direita, normalmente) e hilar bilateral (gânglios hilares).
Qual o diagnóstico etiológico?

Provas
Foram incluídas a TC, a Ultrassonografia e a RNM no diagnóstico das patologias do trato gastrointestinal. Além desses meios a videoesofagoscopia permite a análise do mecanismo da deglutição por vídeo.
Sobre os exames de diagnóstico para as patologias do esôfago está correto o que se afirmar em:
I - A observação fluoroscópica do esôfago pode revelar anormalidades da motilidade esofágica.
II - As ondas terciárias são anormalidades comuns e específicas que representam contrações desordenadas e propulsivas do esôfago.
III - O esofagograma está contraindicado para pacientes com disfagia.
Provas
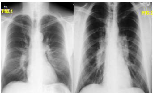
Analise as duas imagens abaixo e assinale a alternativa correta:

Provas
Analise as alternativas abaixo e assinale a correta:
Provas
A respeito da Radiografia Convencional está correto o que se afirmar em:
I - As radiografias convencionais também são denominadas de radiografias simples. Utilizam radiação ionizante para a produção de imagem, ou seja, pelos raios X.
II - O uso comum das radiografias convencionais se aplica unicamente ao sistema esquelético.
III - Para a execução desse processo há necessidade somente de uma fonte de raios X, método de gravação da imagem através da placa fotossensível e o processamento da imagem gravada que pode ocorrer com o uso de produtos químicos ou leitor digital.
IV - A maior vantagem da radiografia convencional, sobre os outros métodos de imagem, encontra-se na variação ilimitada de densidades na dependência das radiações ionizantes.
Provas
Assinale a alternativa correta. Fármaco metabolizado por meio do sistema hepático (CYP 3 A):
Provas
Na farmacocinética dos antipsicóticos de segunda geração a biodisponibilidade (%) da clozapina, seria:
Provas
Existem substratos e inibidores de medicamentos psicotrópicos dos citocromos P450. No substrato CYP 3 A, um inibidor seria:
Provas
Nos achados de neuroimagem funcional em esquizofrênicos, podemos ter falhas, quais são as falhas:
Provas
As principais características do diagnóstico de esquizofrenia no DSM 5, tem descritores para dimensões psicopatológicas.
Assinale a alternativa correta:
Provas
Caderno Container