Foram encontradas 40 questões.
As mulheres com um gene BRCA1 ou BRCA2 anormal têm 80% de risco de desenvolver câncer de mama até os 90 anos. O risco aumentado de desenvolver câncer de ovário é de cerca de 55% para mulheres com mutações no BRCA1 e cerca de 25% para mulheres com mutações no BRCA2 (HERRING, 2019).
Sobre a avaliação diagnóstica da mama, está correto o que se afirmar em:
Provas
Paciente de 83 anos com dor abdominal, após ter sido submetido à uma US de abdome que revela massa é submetido à Angiotomografia que identifica a seguinte imagem.
Qual corte foi realizado e qual estrutura está assinalada?

Provas
O diagnóstico diferencial da dor escrotal inclui orquite, epididimite, torção testicular, traumatismo testicular e herniação do conteúdo abdominal para dentro do escroto. A torção testicular, comum em adolescentes, é um diagnóstico especialmente importante, porque a distorção oportuna é curativa, enquanto uma torção que passe despercebida pode resultar na perda do testículo.
Qual é exame padrão ouro para esse diagnóstico que melhor permite visualizar o fluxo do testículo?
Provas
Analise as informações abaixo:

Provas
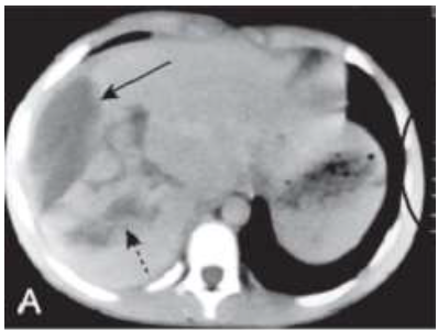
Paciente procura unidade de Urgência com dor em hipocôndrio direito, evolução de 48 hs, após trauma abdominal, acompanhada de náuseas e vômitos e queda do estado geral. Após a abordagem terapêutica foi submetido ao exame de Tomografia do Abdome (imagem abaixo, figura A.), qual o órgão avaliado e o que indicam as setas contínua e descontínua?

FONTE: HERRING, 2019
Provas
Observe as imagens abaixo:

Paciente dá entrada no pronto atendimento com quadro de dor abdominal súbita, moderada, acompanhada de vômitos de conteúdo alimentar. Diabético, em uso irregular de hipoglicemiante, com história de etilismo. Apresenta-se pálido, mucosas secas, redução do turgor da pele, auscultas cardíacas e pulmonares preservadas, abdome distendido, com ruídos hidroaéreos reduzidos e dor à palpação de todo abdome. Solicitados exames laboratoriais e exame radiológico do abdome (imagem anexa acima).
Qual é o diagnóstico radiológico?
Provas
Na radiologia torácica há um achado clássico denominado de Tríade de Garland ou sinal do 1,2,3. (figura abaixo). Esses achados se referem ao alargamento mediastinal (paratraqueal direita, normalmente) e hilar bilateral (gânglios hilares).
Qual o diagnóstico etiológico?

Provas
Foram incluídas a TC, a Ultrassonografia e a RNM no diagnóstico das patologias do trato gastrointestinal. Além desses meios a videoesofagoscopia permite a análise do mecanismo da deglutição por vídeo.
Sobre os exames de diagnóstico para as patologias do esôfago está correto o que se afirmar em:
I - A observação fluoroscópica do esôfago pode revelar anormalidades da motilidade esofágica.
II - As ondas terciárias são anormalidades comuns e específicas que representam contrações desordenadas e propulsivas do esôfago.
III - O esofagograma está contraindicado para pacientes com disfagia.
Provas
Analise as duas imagens abaixo e assinale a alternativa correta:

Provas
Analise as alternativas abaixo e assinale a correta:
Provas
Caderno Container