Foram encontradas 654 questões.
A ultrassonografia tridimensional tem se mostrado uma ferramenta importante para diagnóstico das malformações Müllerianas.
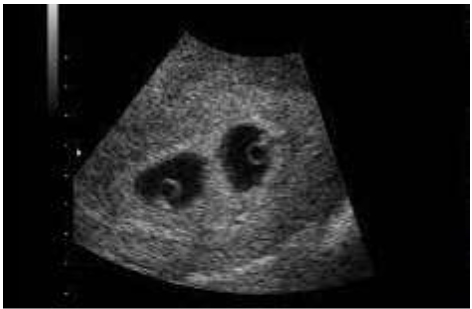
Em relação a imagem abaixo assinale a hipótese diagnóstica e qual a outra estrutura que deverá ser examinada?

Provas
Paciente com 32 semanas de idade gestacional foi encaminhada para realização de ultrassonografia obstétrica, onde aparentemente observa-se uma placenta, dois fetos e duas cavidades amnióticas. Ela realizou um exame de ultrassom com 7 semanas de gestação em consultório, porém só possui as imagens.
Com base na foto abaixo, assinale a afirmativa correta:

Provas
Sobre Doença Mista do Tecido Conjuntivo e Síndrome de Superposição, analise as alternativas a seguir e assinale a incorreta:
Provas
Sobre Lúpus Eritematoso Sistêmico (LES), analise as alternativas a seguir e assinale a incorreta:
Provas
Sobre Doença de Paget, analise as alternativas a seguir e assinale a incorreta:
Provas
Sobre Doenças Reumáticas de Partes Moles.
Analise as alternativas a seguir e assinale a incorreta:
Provas
Sobre Febre Reumática, analise as alternativas e assinale a incorreta:
Provas
Os distúrbios vasculíticos podem ser classificados de acordo com o tamanho dos vasos envolvidos.
Sobre este assunto, assinale a alternativa incorreta:
Provas
Síndrome do anticorpo antifosfolípidio (SAF) é uma doença autoimune que consiste em trombose e (na gestação) perda fetal causada por vários anticorpos autoimunes direcionados contra umas ou mais proteínas ligadas a fosfolipídios (p. ex., beta2- glicoproteína 1, protrombina, anexina A5).
Sobre este assunto assinale a alternativa incorreta:
Provas
Sobre sarcoidose, analise as afirmativas a seguir e assinale a alternativa correta:
I - A sarcoidose melhora ou desaparece espontaneamente em quase dois terços dos pacientes com sarcoidose pulmonar. Mesmo os linfonodos aumentados no tórax e a extensa inflamação pulmonar podem desaparecer dentro de alguns meses ou anos. Contudo, o curso pode ser crônico ou progressivo em até 30% das pessoas. Um sério envolvimento fora do tórax (por exemplo, do coração, sistema nervoso, olhos ou fígado) ocorre em 4 a 7% das pessoas no início da doença.
II - A síndrome de Heerfordt (também chamada febre uveoparotídea) se manifesta como inchaço da glândula parotídea (devido a uma infiltração sarcoide), inflamação dos olhos (uveíte), febre crônica e, menos frequentemente, fraqueza ou paralisia do nervo facial. A síndrome de Heerfordt nunca pode se resolver espontaneamente. O tratamento é o mesmo da sarcoidose e inclui anti-inflamatórios não esteroides, incluindo corticosteroides.
III - A síndrome de Löfgren se manifesta como três sintomas específicos: inflamação aguda de várias articulações (artrite), inchaços vermelhos e muito doloridos sob a pele (eritema nodoso) e aumento dos linfonodos na área onde os pulmões se conectam com o coração e a traqueia. Ela frequentemente causa febre e mal-estar, inflamação do revestimento dos olhos (uveíte) e, por vezes, inflamação das glândulas parótidas. Essa síndrome é mais frequente nas mulheres de ascendência escandinava e irlandesa.
Provas
Caderno Container