Foram encontradas 654 questões.
Os métodos de avaliação do bem-estar fetal não invasivos, considerados padrão ouro, são a cardiotocografia, o perfil biofísico fetal e a dopplerfluxometria obstétrica. A dopplerfluxometria é utilizada para a avaliação hemodinâmica, principalmente em gestações de alto risco, para diagnóstico de insuficiência placentária e suas consequências ao concepto, como restrição de crescimento fetal e sofrimento fetal crônico.
Em relação a avaliação preventiva do compartimento fetal e placentário, avalie as asserções a seguir e assinale a opção correta:
Provas
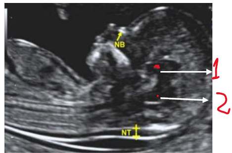
Em relação ao exame obstétrico do primeiro trimestre, podemos afirmar:
I - A mensuração da transluscência nucal é realizada em corte transversal, com o feto em posição neutra.
II - A medida do CCN (comprimento cabeçanádegas) deve estar entre 45-90 mm para realização da avaliação morfológica do 1º trimestre.
III - As estruturas assinaladas na imagem abaixo, correspondem ao diencéfalo (1) e ao tronco cerebral/ponte e bulbo (2).
IV - A imagem deve estar ampliada de maneira que apenas a cabeça e a parte superior do tórax sejam vistas.

Provas
Paciente do sexo feminino, casada, nulípara, 42 anos, foi encaminhada para avaliação ultrassonográfica das mamas, devido mamografia com classificação Birads 0. Ao exame observamos um nódulo oval, hipoecóico, sólido, paralelo à pele, contornos definidos, ausência de atenuação posterior, não se observa calcificações e o Doppler é negativo.
Qual o possível diagnóstico?

Provas
O mioma (leiomioma) uterino é um tumor benigno, muito comum, que pode acometer até 70% das mulheres com 50 anos de idade. Para sistematizar a descrição dos miomas, foi criada a classificação da FIGO (Federação Internacional de Ginecologia e Obstetrícia) juntamente com o grupo MUSA (Morphological Uterus Sonografic Assessment), utilizando estes parâmetros classifique o nódulo abaixo:

Provas
Em relação a malformação da parede abdominal e do trato gastrointestinal fetal, assinale a alternativa correta:


Provas
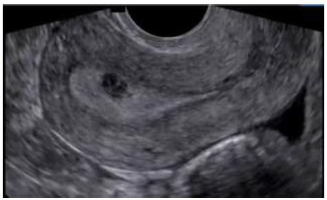
São critérios para diagnóstico de gestação não evolutiva ou não viável:
Provas
Algumas massas anexiais observadas durante avaliação transvaginal, podem simular uma gravidez ectópica, elas são:
Provas
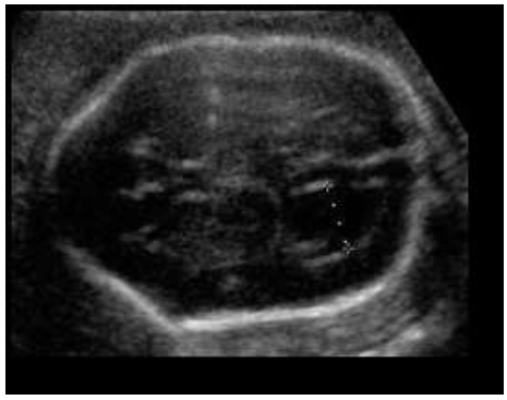
Paciente 24 anos, secundigesta, apresentando idade gestacional de 23 semanas, gestação não planejada, encaminhada para avaliação morfológica do segundo trimestre.
Após analisar as imagens abaixo, quais os sinais ecográficos encontrados e qual a hipótese diagnóstica?


Provas
O ultrassonografista deve prezar por obter resultados eficientes e confiáveis, desenvolvendo um amplo domínio sobre os ajustes dos parâmetros no equipamento, para realização do exame.
Em relação ao estudo Doppler podemos afirmar:
I - O artefato denominado Aliasing aparece quando a frequência Doppler é duas vezes maior que a frequência de repetição do pulso (PRF).
II - As velocidades máximas aferidas são definidas pelo teorema de Nyquist e está intimamente relacionado com a frequência do transdutor e a profundidade do vaso analisado.
III - Para obter melhor correção da análise espectral devemos aumentar a linha de base e diminuir a frequência de repetição do pulso (PRF).
Provas
O Perfil Biofísico Fetal (Manning et al, 1982) é realizado através da avaliação de algumas variáveis, assinale qual a primeira variável a surgir na vida intrauterina e a última a desaparecer durante a asfixia fetal:
Provas
Caderno Container