Foram encontradas 933 questões.
Uma paciente de 65 anos de idade, diabética, hipertensa e obesa, com dengue confirmada por NS1, foi transferida da UPA para a UTI. No momento, encontra-se na fase de defervescência (sexto dia de evolução da arbovirose).
Nos pacientes com dengue, o que poderia definir melhor um quadro de dengue tipo D, com indicação mais precisa de internação em UTI?
Provas

Considere que a imagem apresentada refere-se a um paciente de 40 anos de idade, que se encontra na UTI em VM, com parâmetros ideais para mensuração do delta PP ajustados para VC = 8ml/kg (paciente curarizado). No caso, o monitor multiparamétrico mostra as medidas realizadas.
Antes da mensuração do referido delta PP, foram coletados gasometrias pareadas para o cálculo da saturação venosa central de O2 e do gap de CO2.
Qual par de valores seria compatível com o caso apresentado?
Provas

Considere que a imagem apresentada refere-se a um paciente de 40 anos de idade, que se encontra na UTI em VM, com parâmetros ideais para mensuração do delta PP ajustados para VC = 8ml/kg (paciente curarizado). No caso, o monitor multiparamétrico mostra as medidas realizadas.
Diante do delta PP encontrado, a melhor conduta é
Provas

Considere que a imagem apresentada refere-se a um paciente de 40 anos de idade, que se encontra na UTI em VM, com parâmetros ideais para mensuração do delta PP ajustados para VC = 8ml/kg (paciente curarizado). No caso, o monitor multiparamétrico mostra as medidas realizadas.
Com base na leitura do monitor multiparamétrico, assinale a alternativa que corresponde ao delta PP para esse paciente.
Provas
Com base na análise dos monitores de balão intra-aórtico que se seguem, assinale a alternativa em que a interpretação é feita de maneira incorreta.
Provas

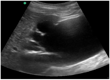
Um paciente de 72 anos de idade foi para a Unidade de Terapia Intensiva (UTI). Institucionalizado, com duas internações nos últimos seis meses por conta de sepse de foco urinário. Na admissão, realizou ultrassonografia abdominal com o achado demonstrado na imagem apresentada. Os exames laboratoriais mostraram ureia = 230, creatina = 10 e potássio = 7,5.
A cobertura antibiótica mais adequada para esse caso seria
Provas

Um paciente de 72 anos de idade foi para a Unidade de Terapia Intensiva (UTI). Institucionalizado, com duas internações nos últimos seis meses por conta de sepse de foco urinário. Na admissão, realizou ultrassonografia abdominal com o achado demonstrado na imagem apresentada. Os exames laboratoriais mostraram ureia = 230, creatina = 10 e potássio = 7,5.

Uma sonda vesical de demora foi alocada no paciente. A coloração esverdeada da urina desse paciente sugere qual agente etiológico?
Provas

Um paciente de 72 anos de idade foi para a Unidade de Terapia Intensiva (UTI). Institucionalizado, com duas internações nos últimos seis meses por conta de sepse de foco urinário. Na admissão, realizou ultrassonografia abdominal com o achado demonstrado na imagem apresentada. Os exames laboratoriais mostraram ureia = 230, creatina = 10 e potássio = 7,5.
O que tem demonstrado nessa ultrassonografia beira-leito e qual a conduta a ser tomada?
Provas

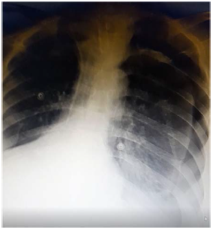
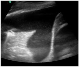
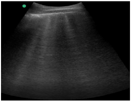
Um paciente de 50 anos de idade encontra-se, internado na UTI por conta de choque séptico de foco pulmonar, em ventilação mecânica na modalidade pressão e no modo assisto-controlado. Pela manhã foi submetido a acesso venoso central em veia axilar guiado por ultrassonografia. Ao exame físico, notou-se que o paciente está com hipotensão e taquicardia. A primeira hipótese diagnóstica é pneumotórax e é realizada radiografia com imagem apresentada.
Qual imagem abaixo corresponde ao achado ultrassonográfico para o paciente em questão?
Provas

Um paciente de 50 anos de idade encontra-se, internado na UTI por conta de choque séptico de foco pulmonar, em ventilação mecânica na modalidade pressão e no modo assisto-controlado. Pela manhã foi submetido a acesso venoso central em veia axilar guiado por ultrassonografia. Ao exame físico, notou-se que o paciente está com hipotensão e taquicardia. A primeira hipótese diagnóstica é pneumotórax e é realizada radiografia com imagem apresentada.
De acordo com a imagem, a
Provas
Caderno Container