Foram encontradas 933 questões.

Um paciente de 76 anos de idade deu entrada na UPA, já fora de janela para trombólise, e foi posteriormente encaminhado para a UTI. A imagem apresentada refere-se à tomografia de admissão na UTI.
Com base na tomografia apresentada, assinale a alternativa que corresponde à artéria cerebral acometida e ao déficit esperado para o paciente
Provas
Supondo que a paciente tenha evoluído com uma síndrome hepatorrenal, a melhor conduta seria a indicação de uso de
Provas
Uma vez confirmado o diagnóstico principal aventado, qual a conduta mais assertiva?
Provas
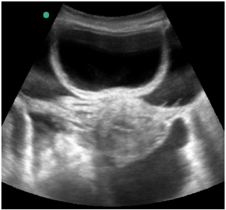
Uma paciente de 55 anos de idade, internada na UTI em razão de quadro de cirrose alcoólica com hemorragia digestiva alta por varizes esofágicas.

Diante do achado evidenciado na ultrassonografia abdominal, o plantonista procedeu à paracentese guiada por ultrassonografia para diagnóstico diferencial, com a qual pretendia diagnosticar
Provas
Qual antibiótico estaria indicado nesse momento, e por quanto tempo?
Provas
Uma paciente de 65 anos de idade, diabética, hipertensa e obesa, com dengue confirmada por NS1, foi transferida da UPA para a UTI. No momento, encontra-se na fase de defervescência (sexto dia de evolução da arbovirose).
Caso essa paciente evoluísse com necessidade de diálise, qual seria a modalidade dialítica mais completa?
Provas
Uma paciente de 65 anos de idade, diabética, hipertensa e obesa, com dengue confirmada por NS1, foi transferida da UPA para a UTI. No momento, encontra-se na fase de defervescência (sexto dia de evolução da arbovirose).
De acordo com os dados fornecidos, qual é a interpretação do distúrbio ácido básico dessa paciente?
Provas
Uma paciente de 65 anos de idade, diabética, hipertensa e obesa, com dengue confirmada por NS1, foi transferida da UPA para a UTI. No momento, encontra-se na fase de defervescência (sexto dia de evolução da arbovirose).
Qual a classificação da injúria renal aguda, sabendo que a creatinina basal da paciente era de 0,7 mg/dL, e qual a melhor conduta nesse momento?
Provas
Uma paciente de 65 anos de idade, diabética, hipertensa e obesa, com dengue confirmada por NS1, foi transferida da UPA para a UTI. No momento, encontra-se na fase de defervescência (sexto dia de evolução da arbovirose).

Ao proceder à laringoscopia direta, o plantonista deparou com a via aérea demonstrada na imagem. Diante disso, assinale a alternativa que corresponde à melhor conduta para o caso.
Provas
Uma paciente de 65 anos de idade, diabética, hipertensa e obesa, com dengue confirmada por NS1, foi transferida da UPA para a UTI. No momento, encontra-se na fase de defervescência (sexto dia de evolução da arbovirose).
A paciente foi submetida a reposição volêmica e transfusões de hemocompoentes. O plantonista optou pela intubação, instalando noradrenalina 0,5 mcg/kg/min e vasopressina 0,03 U/min. No momento antes da intubação, foram coletados exames, com os seguintes resultados: Creatinina = 2,26 mg/dL, Ureia = 61 mg/dL, Potássio = 5,1 mmol/L, Hb = 6,0 g/dL, hematócrito = 18%, plaquetas = 42.000, leucócitos = 15.000, linfócitos = 3600, pH = 6.7, pCO2 = 34.3, pO2 = 46, Bicarbonato = 5, BE = -26.7, lactato de 20 mmol/L, glicose = 115, sódio = 148, cloro = 100 e albumina de 2.0.
O plantonista, ao decidir pela intubação, teria como melhor opção mais assertiva, na sequência rápida de intubação, os medicamentos
Provas
Caderno Container