Foram encontradas 933 questões.

Um paciente neurocrítico em ventilação mecânica, encontrase monitorizado por capnografia de onda. O plantonista nota essa alteração na capnografia.
Qual a intervenção mais assertiva a ser feita pelo plantonista para a correção do que está sendo demonstrado?
Provas
Uma paciente de 75 anos de idade, com diabetes, hipertensão e histórico prévio de artroplastia total de joelho direito, foi admitida no hospital após queda de própria altura e fratura de fêmur distal direito. A cirurgia ortopédica foi realizada sem intercorrências. No quinto dia de pós-operatório, observou-se no monitor FC = 120 bpm, PA = 80 mmHg x 52 mmHg, tempo de enchimento capilar maior que 4 segundo, rebaixamento de consciência, turgência jugular importante, ausculta respiratória com murmúrio vesicular bilateral e sem ruídos adventícios.
Então, decidiu-se realizar um ecocardiograma beira-leito, cujo resultado é a imagem mostrada a seguir na janela paraesternal eixo curto.

Durante o atendimento da parada cardíaca desse caso clínico, é autorizada a seguinte conduta
Provas
Uma paciente de 75 anos de idade, com diabetes, hipertensão e histórico prévio de artroplastia total de joelho direito, foi admitida no hospital após queda de própria altura e fratura de fêmur distal direito. A cirurgia ortopédica foi realizada sem intercorrências. No quinto dia de pós-operatório, observou-se no monitor FC = 120 bpm, PA = 80 mmHg x 52 mmHg, tempo de enchimento capilar maior que 4 segundo, rebaixamento de consciência, turgência jugular importante, ausculta respiratória com murmúrio vesicular bilateral e sem ruídos adventícios.
Então, decidiu-se realizar um ecocardiograma beira-leito, cujo resultado é a imagem mostrada a seguir na janela paraesternal eixo curto.


A referida paciente evolui com colapso circulatório, pulso ausente e demonstrado no eletrocardiograma apresentado. Conforme essa análise, conclui-se ser o ritmo da parada cardíaca é
Provas
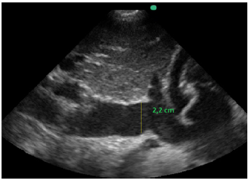
Uma paciente de 75 anos de idade, com diabetes, hipertensão e histórico prévio de artroplastia total de joelho direito, foi admitida no hospital após queda de própria altura e fratura de fêmur distal direito. A cirurgia ortopédica foi realizada sem intercorrências. No quinto dia de pós-operatório, observou-se no monitor FC = 120 bpm, PA = 80 mmHg x 52 mmHg, tempo de enchimento capilar maior que 4 segundo, rebaixamento de consciência, turgência jugular importante, ausculta respiratória com murmúrio vesicular bilateral e sem ruídos adventícios.
Então, decidiu-se realizar um ecocardiograma beira-leito, cujo resultado é a imagem mostrada a seguir na janela paraesternal eixo curto.


Ainda com o uso da ecocardiografia beira-leito, realizou-se a mensuração da pressão sistólica do ventrículo direito por meio da análise do refluxo tricuspídeo demonstrando o valor de 43,4 mmHg, como apresentado na imagem.

Também foi feita a mensuração da cava na janela subcostal 4 câmaras caval. O seu valor é maior de 2,2 cm e tem variabiliadade menor que 50% aos movimentos respiratórios ainda em ventilação espontânea, conforme a imagem apresentada.
Com base nessas informações e nas imagens, a estimativa da pressão sistólica da artéria pulmonar é de
Provas
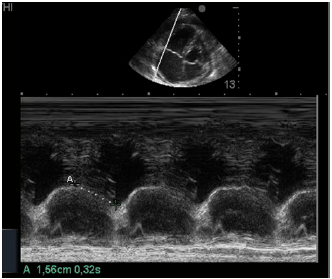
Uma paciente de 75 anos de idade, com diabetes, hipertensão e histórico prévio de artroplastia total de joelho direito, foi admitida no hospital após queda de própria altura e fratura de fêmur distal direito. A cirurgia ortopédica foi realizada sem intercorrências. No quinto dia de pós-operatório, observou-se no monitor FC = 120 bpm, PA = 80 mmHg x 52 mmHg, tempo de enchimento capilar maior que 4 segundo, rebaixamento de consciência, turgência jugular importante, ausculta respiratória com murmúrio vesicular bilateral e sem ruídos adventícios.
Então, decidiu-se realizar um ecocardiograma beira-leito, cujo resultado é a imagem mostrada a seguir na janela paraesternal eixo curto.


Na insonação cardíaca beira-leito, a mensuração da excursão do anel da tricúspide (TAPSE) resultou em 1,56 cm como demonstrado na imagem apresentada.
Isso significa ventrículo direito
Provas
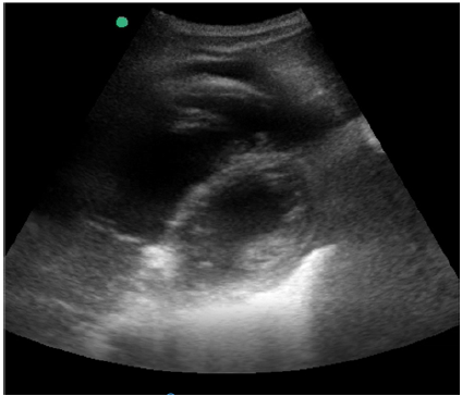
Uma paciente de 75 anos de idade, com diabetes, hipertensão e histórico prévio de artroplastia total de joelho direito, foi admitida no hospital após queda de própria altura e fratura de fêmur distal direito. A cirurgia ortopédica foi realizada sem intercorrências. No quinto dia de pós-operatório, observou-se no monitor FC = 120 bpm, PA = 80 mmHg x 52 mmHg, tempo de enchimento capilar maior que 4 segundo, rebaixamento de consciência, turgência jugular importante, ausculta respiratória com murmúrio vesicular bilateral e sem ruídos adventícios.
Então, decidiu-se realizar um ecocardiograma beira-leito, cujo resultado é a imagem mostrada a seguir na janela paraesternal eixo curto.

De acordo com essa imagem, a hipótese diagnóstica principal é
Provas
Um paciente de 78 anos de idade, hipertenso e diabético, foi admitido com náusea, sudorese fria e precordialgia, iniciadas há duas horas. Refere história de neoplasia cerebral em segmento com oncologia e neurologia. Na admissão, realizou-se eletrocardiograma apresentado a seguir. Os exames físicos mostraram PA = 84 mmHg x 56 mmHg, SatO2 = 88%, FC = 78 bpm. Notou-se turgência jugular, ausculta cardíaca com ritmo regular e sem sopros, e ausculta pulmonar com murmúrio vesicular bilateral sem ruídos adventícios. Troponina ultrassensível da admissão dentro dos valores da normalidade de acordo com a referência.

Com base nos achados do eletrocardiograma, qual é a artéria coronária mais provável de ter sido acometida?
Provas
Um paciente de 78 anos de idade, hipertenso e diabético, foi admitido com náusea, sudorese fria e precordialgia, iniciadas há duas horas. Refere história de neoplasia cerebral em segmento com oncologia e neurologia. Na admissão, realizou-se eletrocardiograma apresentado a seguir. Os exames físicos mostraram PA = 84 mmHg x 56 mmHg, SatO2 = 88%, FC = 78 bpm. Notou-se turgência jugular, ausculta cardíaca com ritmo regular e sem sopros, e ausculta pulmonar com murmúrio vesicular bilateral sem ruídos adventícios. Troponina ultrassensível da admissão dentro dos valores da normalidade de acordo com a referência.

Qual a medida mais importante e resolutiva a ser tomada nesse momento?
Provas
Um paciente de 78 anos de idade, hipertenso e diabético, foi admitido com náusea, sudorese fria e precordialgia, iniciadas há duas horas. Refere história de neoplasia cerebral em segmento com oncologia e neurologia. Na admissão, realizou-se eletrocardiograma apresentado a seguir. Os exames físicos mostraram PA = 84 mmHg x 56 mmHg, SatO2 = 88%, FC = 78 bpm. Notou-se turgência jugular, ausculta cardíaca com ritmo regular e sem sopros, e ausculta pulmonar com murmúrio vesicular bilateral sem ruídos adventícios. Troponina ultrassensível da admissão dentro dos valores da normalidade de acordo com a referência.

Assinale a alternativa que indica medicamento(s) que estaria(m) contra-indicado(s) no momento desse diagnóstico.
Provas
Um paciente de 78 anos de idade, hipertenso e diabético, foi admitido com náusea, sudorese fria e precordialgia, iniciadas há duas horas. Refere história de neoplasia cerebral em segmento com oncologia e neurologia. Na admissão, realizou-se eletrocardiograma apresentado a seguir. Os exames físicos mostraram PA = 84 mmHg x 56 mmHg, SatO2 = 88%, FC = 78 bpm. Notou-se turgência jugular, ausculta cardíaca com ritmo regular e sem sopros, e ausculta pulmonar com murmúrio vesicular bilateral sem ruídos adventícios. Troponina ultrassensível da admissão dentro dos valores da normalidade de acordo com a referência.

As derivações que devem ser feitas para melhor completar o estudo do caso em questão e o motivo correspondente são
Provas
Caderno Container