Magna Concursos

Foram encontradas 933 questões.

3745355 Ano: 2024
Disciplina: Medicina
Banca: IADES
Orgão: ESPDF

Uma paciente de 55 anos de idade, hipertensa e diabética há 15 anos, sem acompanhamento adequado, buscou atendimento médico para reavaliação de seu tratamento. Faz uso de losartana 50 mg 2x/dia, clortalidona 25 mg 1x/dia e metformina 850 mg 2x/dia. Ao exame físico apresenta-se hipocorada +/4, FC = 74 bpm, PA = 150 mmHg x 90 mmHg. Os exames trazidos no retorno mostram hemoglobina = 11,5 g/dL, leucócitos = 7690 Plaquetas = 169.000, Cr = 1,9 mg/dL, albuminúria = 500 mg/24h, LDL = 140, HbA1c = 11%. A taxa de filtração glomerular estimada foi de 31 mL/min/1,73 m2.

Tendo em vista as complicações da doença renal crônica (DRC), a avaliação da anemia na DRC estágio III, deve ser realizada

 

Provas

Questão presente nas seguintes provas
3745354 Ano: 2024
Disciplina: Medicina
Banca: IADES
Orgão: ESPDF

Enunciado 4335000-1

O gráfico apresentado mostra a mensuração de um parâmetro facilmente obtido beira leito nos pacientes em ventilação mecânica.

Para a situação de stress índex maior que 1, uma possibilidade boa de resolução seria a(o)

 

Provas

Questão presente nas seguintes provas
3745353 Ano: 2024
Disciplina: Medicina
Banca: IADES
Orgão: ESPDF

Enunciado 4334999-1

O gráfico apresentado mostra a mensuração de um parâmetro facilmente obtido beira leito nos pacientes em ventilação mecânica.

Assinale a alternativa que corresponde à maneira de ajustar o ventilador para obtenção do referido parâmetro.

 

Provas

Questão presente nas seguintes provas
3745352 Ano: 2024
Disciplina: Medicina
Banca: IADES
Orgão: ESPDF

Enunciado 4334998-1

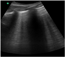
Um paciente de 40 anos de idade, vítima de queda de 9 metros (estava trabalhando quando o telhado cedeu), trazido à sala vermelha pelo SAMU, foi admitido com PA = 80 mmHg x 40 mmHg, FC = 120 bpm e tempo de enchimento capilar = 4 segundos. O emergencista procedeu ao e-fast, que evidenciou o achado apresentado na imagem.

Hemitórax direito superior

Enunciado 4334998-2

Hemitórax esquerdo superior

Enunciado 4334998-3

Insonação cardíaca Janela apical 5 câmaras com VTI de 9,08 cm

Enunciado 4334998-4

O nefrologista foi chamado a opinar na melhor conduta para o paciente. Para tanto, realizou uma ultrassonografia beira leito pulmonar e mensurou a velocidade integral tempo (VTI) do trato de saída do ventrículo esquerdo. Chegou, assim, à conclusão que poderia ser feita uma expansão no paciente. Com base nas imagens apresentadas, é correto afirmar que conduta recomendada pelo nefrologista está

 

Provas

Questão presente nas seguintes provas
3745351 Ano: 2024
Disciplina: Medicina
Banca: IADES
Orgão: ESPDF

Enunciado 4334997-1

Um paciente de 40 anos de idade, vítima de queda de 9 metros (estava trabalhando quando o telhado cedeu), trazido à sala vermelha pelo SAMU, foi admitido com PA = 80 mmHg x 40 mmHg, FC = 120 bpm e tempo de enchimento capilar = 4 segundos. O emergencista procedeu ao e-fast, que evidenciou o achado apresentado na imagem.

No segundo dia da admissão, o paciente evoluiu com CPK de 20.000, diminuição de diurese, elevação dos níveis de ureia e creatinina, sendo aventada a hipótese de rabdomiólise. Diante disso, assinale a alternativa que corresponde à conduta mais assertiva a ser adotada, no caso.

 

Provas

Questão presente nas seguintes provas
3745350 Ano: 2024
Disciplina: Medicina
Banca: IADES
Orgão: ESPDF

Enunciado 4334996-1

Um paciente de 40 anos de idade, vítima de queda de 9 metros (estava trabalhando quando o telhado cedeu), trazido à sala vermelha pelo SAMU, foi admitido com PA = 80 mmHg x 40 mmHg, FC = 120 bpm e tempo de enchimento capilar = 4 segundos. O emergencista procedeu ao e-fast, que evidenciou o achado apresentado na imagem.

A melhor conduta do emergencista nesse momento é

 

Provas

Questão presente nas seguintes provas
3745349 Ano: 2024
Disciplina: Medicina
Banca: IADES
Orgão: ESPDF

Enunciado 4334995-1

Um paciente de 76 anos de idade deu entrada na UPA, já fora de janela para trombólise, e foi posteriormente encaminhado para a UTI. A imagem apresentada refere-se à tomografia de admissão na UTI.

O paciente evoluiu com morte encefálica. O primeiro exame clínico confirmatório foi realizado às 12 horas, o segundo às 13 horas, e o método gráfico às 23 horas. Sabendo que todos os trâmites legais foram feitos, como notificação compulsória e acompanhamento com a ajuda da comissão intra-hospitalar de doação de órgãos e tecidos (CIHDOTT), qual o horário do óbito e qual a medida esperada?

 

Provas

Questão presente nas seguintes provas
3745348 Ano: 2024
Disciplina: Medicina
Banca: IADES
Orgão: ESPDF

Enunciado 4334994-1

Um paciente de 76 anos de idade deu entrada na UPA, já fora de janela para trombólise, e foi posteriormente encaminhado para a UTI. A imagem apresentada refere-se à tomografia de admissão na UTI.

Supondo que o paciente tenha evoluído com a necessidade de craniectomia descompressiva, e já há mais de 5 dias sem uso de drogas sedativas ou analgésicas, qual seria o método gráfico preferencial para a confirmação da morte encefálica para o referido paciente?

 

Provas

Questão presente nas seguintes provas
3745347 Ano: 2024
Disciplina: Medicina
Banca: IADES
Orgão: ESPDF

Enunciado 4334993-1

Um paciente de 76 anos de idade deu entrada na UPA, já fora de janela para trombólise, e foi posteriormente encaminhado para a UTI. A imagem apresentada refere-se à tomografia de admissão na UTI.

Diagnosticada a hipertensão intracraniana, a conduta mais prontamente adequada seria o uso de

 

Provas

Questão presente nas seguintes provas
3745346 Ano: 2024
Disciplina: Medicina
Banca: IADES
Orgão: ESPDF

Enunciado 4334992-1

Um paciente de 76 anos de idade deu entrada na UPA, já fora de janela para trombólise, e foi posteriormente encaminhado para a UTI. A imagem apresentada refere-se à tomografia de admissão na UTI.

Na UTI, o paciente evoluiu com aumento progressivo dos níveis pressóricos e com bradicardia.

Qual seria o exame mais facilmente disponível nesse momento, para tentar estabelecer um diagnóstico?

 

Provas

Questão presente nas seguintes provas