Foram encontradas 1.460 questões.
Considerando um paciente intubado no 9º dia de internação que apresenta febre, secretivo, com radiografia mostrando pneumonia, cujo lavado broncoalveolar e hemoculturas mostram enterococo resistente à vancomicina, o tratamento antibiótico correto que deve ser iniciado é
Provas
Homem de 68 com histórico de tabagismo e DPOC está internado há 8 dias por quadro de pneumonia com dificuldade para desmame do ventilador. Ele começou a apresentar picos de febre há 2 dias e agora está necessitando de vasopressores. Antibioticoterapia empírica com cefepima e vancomicina foram iniciados, mas clinicamente não houve melhora. O lavado broncoalveolar (BAL) e hemoculturas foram positivos para Candida, com tipo de espécie pendente.
Nesse momento, a melhor conduta é
Provas
Assinale a alternativa em que o paciente tem maior probabilidade de desenvolver a síndrome de infusão de propofol.
Provas
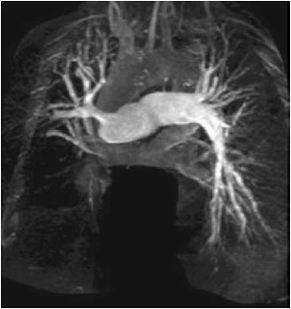
Mulher de 32 anos apresenta dispneia progressiva aos esforços no último ano. O exame físico é notável para: pressão arterial: 123 x 81 mmHg; frequência cardíaca: 91/min, saturação de oxigênio: 91%; pulmões limpos; ausculta cardíaca com componente pulmonar alto de B2; edema simétrico de membros inferiores. Há 4 meses ela usa furosemida, enalapril e apixabana, com pouca melhora clínica. O cateterismo cardíaco direito mostra: pressão atrial direita: 14 mmHg; pressão arterial pulmonar (média): 38 mmHg; resistência vascular pulmonar: 6,8 unidades Wood (544 dinas por segundo por cm-5); pressão capilar pulmonar: 8 mmHg. A angiografia pulmonar é mostrada a seguir.

(Arquivo pessoal: imagem usada com autorização.)
Nessa paciente, a conduta mais apropriada é
Provas
Mulher de 36 anos grávida de 35 semanas apresenta mal-estar, náuseas, vômitos, cefaleia e dores musculares nos últimos 2 dias. Ela evolui com dor aguda e intensa no quadrante superior direito. Não há febre. A urina é negativa para proteínas.
Considerando a principal hipótese diagnóstica, a complicação materna mais comum é:
Provas
Mulher de 59 anos é avaliada 5 dias após sua admissão por neutropenia febril e choque séptico sem nenhuma fonte óbvia de infecção. O histórico é notável para linfoma de grandes células B e o último ciclo de quimioterapia (rituximabe, ciclofosfamida, doxorrubicina, vincristina e prednisona) foi feito 8 dias antes da internação. Ela foi tratada com piperacilina/tazobactam e vancomicina. Há 2 dias, após a confirmação de hemoculturas negativas, a vancomicina foi descontinuada. No momento, a paciente está clinicamente estável e encontra-se afebril há 24 horas. O exame físico mostra sinais vitais normais, sem nenhuma alteração relevante. O hemograma de hoje mostra: leucócitos: 1 500/mm3; contagem absoluta de neutrófilos: 100/mm3.
Nesse momento, a conduta de escolha é
Provas
Homem de 63 anos é internado com quadro de tosse, hipoxemia e dispneia. A tomografia evidencia lesão pulmonar sugestiva de câncer de pulmão, com extenso derrame pleural unilateral à direita. A toracocentese realizada 5 dias antes removeu 1 200 mL de líquido sanguinolento, com alívio do quadro. A radiografia de tórax de acompanhamento documenta expansão incompleta do pulmão direito, com ar parcialmente substituindo o líquido pleural removido. Ele evolui com recidiva da dispneia e a nova radiografia mostra novamente um volumoso derrame pleural do mesmo lado.
Nesse momento, o manejo mais adequado é
Provas
Mulher de 28 anos com diabete melito apresenta quadro de início agudo com déficit hemissensorial e perda de visão unilateral. O histórico familiar é relevante para mãe com diabete e irmão surdo, mas não há doença cerebrovascular precoce na família.
Em relação à principal hipótese diagnóstica, é correto afirmar:
Provas
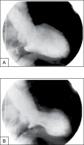
Mulher de 62 anos, previamente saudável, apresenta dor torácica subesternal e dispneia nas últimas 2 horas. O desconforto começou minutos depois de saber que seu filho havia se ferido gravemente em um acidente automobilístico. O histórico é notável para hipertensão arterial. Exame físico: pressão arterial: 152 x 84 mmHg; frequência cardíaca: 88 bpm; saturação de O2: 96%; tórax normal; exame cardíaco: não há galope ou sopro; extremidades sem edema. ECG: inversões difusas da onda T. Exames laboratoriais são inespecíficos e a troponina cardíaca é de 1,07 ng/mL (normal <0,01 ng/mL). O desconforto torácico persiste, apesar da nitroglicerina IV, e a angiografia coronária é realizada. Não são encontradas estenoses coronárias. A ventriculografia esquerda é mostrada a seguir.

(Arquivo pessoal: imagem usada com autorização.)
Nessa circunstância, é correto afirmar:
Provas
Homem de 50 anos apresenta quadro agudo de rebaixamento do nível de consciência. A pressão arterial sistólica é 220 mmHg, a frequência cardíaca 50 bpm e a respiração é anormal. Antes da neuroimagem, nota-se baixa pontuação na escala de Glasgow e postura extensora episódica associada a arritmias cardíacas, mas sem sinais motores de lateralização ou alterações pupilares.
A tomografia de crânio, mais provavelmente, deve mostrar herniação
Provas
Caderno Container