Foram encontradas 1.460 questões.
Assinale a alternativa que corretamente apresenta a resposta compensatória esperada nos distúrbios simples da acidose metabólica.
Provas
Doenças tubulares transmitidas geneticamente constituem um grupo de condições nas quais a reabsorção tubular de íons, solutos orgânicos e água está comprometida. Quando o paciente apresenta poliúria, alcalose metabólica hiperclorêmica, hipocalemia, hipomagnesemia e hipocalciúria, o diagnóstico mais provável é:
Provas
Nos últimos anos, não houve mudanças expressivas no tratamento da infecção do trato urinário (ITU) na gestação. Na gravidez, a ITU é dividida em três categorias: bacteriúria assintomática, cistite e pielonefrite.
A melhor opção de tratamento na cistite da gravidez é:
Provas
Nitritos normalmente não são encontrados na urina. Muitas bactérias uropatogênicas gram negativas são capazes de reduzir nitratos em nitritos pela ação da enzima nitrato redutase presente nessas bactérias.
Assinale a alternativa que indica corretamente a bactéria que é incompetente para produzir nitritos.
Provas
Na fisiopatologia das doenças glomerulares, vários mecanismos inflamatórios estão envolvidos. A presença de fator de permeabilidade glomerular, hipofunção celular T, diminuição de IgG e elevação da IgM está relacionada a
Provas
Uma vez que não existem testes diagnósticos específicos para síndrome hepatorrenal, alguns critérios são utilizados para afastar insuficiência renal aguda de outras etiologias, utilizando os critérios clínicos da síndrome hepatorrenal em tipo 1 (SHR1) e tipo 2 (SHR2).
Assinale a alternativa correta a respeito da SHR-1.
Provas
A busca por um novo ideal, principalmente do público mais jovem, vem dando origem a várias alterações na autoimagem. Esse paciente em questão apresenta hipertrofia de parótidas por vômitos provocados após alimentação e grande ingesta de água para não ganhar peso.
Assinale a alternativa que apresenta corretamente o(s) distúrbio(s) metabólico(s) que, provavelmente, será(ão) encontrado(s).
Provas
Amiloidose relacionada à diálise ocorre na doença renal terminal e produz manifestações reumatológicas nos pacientes com longo tempo de diálise.
Assinale a alternativa que apresenta corretamente o tipo de amiloidose que está relacionada à hemodiálise.
Provas
Em relação ao rim na gravidez, assinale a alternativa correta.
Provas
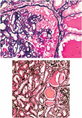
Assinale a alternativa que apresenta corretamente a doença na qual o acometimento renal apresenta microcistos tubulares, inflamação túbulo-intersticial e glomeruloesclerose extensa com aparente dilatação da cápsula de Bowman.

(Arquivo pessoal; imagens usadas com autorização.)
Provas
Caderno Container