Foram encontradas 1.460 questões.
Homem de 35 anos com diagnóstico recente de doença de von Hippel-Lindau é internado com insuficiência respiratória secundária a edema pulmonar agudo e pressão arterial de 199 x 125. Antes da internação, ele vinha reclamando de 3 dias de cefaleia e palpitações episódicas. O diagnóstico mais provável é
Provas
Mulher de 57 anos é internada com insuficiência hepática aguda, exigindo intubação e tratamento de edema cerebral. O índice de massa corporal é 41 kg/m2. Exames séricos: albumina: 1,9 g/dL e pré-albumina: 9 mg/dL. Um tubo de alimentação é colocado para nutrição enteral e ela aguarda o transplante hepático. Em relação à nutrição nessa circunstância, é correto afirmar:
Provas
É correto afirmar acerca do valor da amilase e lipase séricas no diagnóstico de pancreatite aguda:
Provas
A ressonância magnética cerebral (T2 FLAIR) na eclâmpsia mais provavelmente mostra cérebro normal:
Provas
Mulher de 93 anos é avaliada em casa de repouso após quadro de 2 dias de anorexia, queda do estado geral e dor localizada no abdome inferior direito. A equipe da casa de repouso relata que a paciente apresentou moderado sangramento na fralda nas últimas horas. O histórico é relevante para hipertensão e osteoporose, em uso de ramipril (5 mg/dia) e alendronato (70 mg/semana). Exame físico: pressão arterial: 124 x 76 mmHg; pulso: 106 bpm; nota-se dor à palpação do quadrante inferior direito do abdome, com descompressão brusca negativa. O eletrocardiograma mostra fibrilação atrial.
Com os dados descritos, a principal hipótese diagnóstica é
Provas
Homem de 54 anos com história de hipertensão e hipercolesterolemia é submetido a teste de esforço em esteira, usando o protocolo padrão de Bruce. O exame é interrompido aos 11 minutos por causa da fadiga, atingindo frequência cardíaca máxima de 152 bpm e PA sistólica máxima de 198 mmHg. A PA diastólica diminui em 5 mmHg durante o exame. Na fase de recuperação, a PA sistólica diminui para 15 mmHg abaixo da pressão pré-exercício. Não há alterações isquêmicas no ECG durante ou após o exercício.
Nessa circunstância, é correto afirmar:
Provas
Mulher de 42 anos é avaliada após achado incidental em ultrassom abdominal realizado por suspeita de cistos ovarianos. O exame mostra três pequenos cálculos biliares, vesícula de paredes finas com ductos biliares intra e extra-hepáticos normais. Ela não tem febre, calafrios ou dor. Relata ingestão moderada de álcool, mas nega tabagismo ou quaisquer outros problemas médicos. Exames séricos: albumina: 3,9 g/L; bilirrubina total: 1,0 mg/dL; alanina aminotransferase: 42 U/L; aspartato aminotransferase: 32 U/L; fosfatase alcalina: 74 U/L; hemograma, glicemia e função renal são normais.
Em relação ao prognóstico nos próximos 10 anos, é correto afirmar:
Provas
Homem de 59 anos, com câncer de pulmão de células não pequenas, fez quimioterapia recente com cisplatina e etoposide. O paciente relata, em consulta de retorno, que iniciou quadro de queimação intensa nos pés que dificultam o sono à noite. Ele nega dor semelhante nas mãos, lombalgia, parestesias, incontinência urinária ou intestinal. O exame físico é notável para sensibilidade diminuída em região distal dos membros inferiores, bilateralmente. Hemograma, glicemia, função renal, eletrólitos, bilirrubina e desidrogenase lática são normais.
O melhor passo inicial no manuseio desse paciente é
Provas
Mulher de 35 anos com cardiomiopatia periparto (fração de ejeção do ventrículo esquerdo de 25%) e cardioversor-desfibrilador implantável de dupla câmara é avaliada em consulta de retorno. Ela é capaz de realizar a maior parte de suas atividades diárias sem limitação, mas fica com falta de ar ao subir um lance de escadas. Atualmente, está em uso de metoprolol (50 mg/dia), sacubitril/valsartan (49/51 mg, 2x/dia), furosemida (40 mg/dia), espironolactona (25 mg/dia) e empagliflozina (10 mg/dia). Glicemia capilar: 98 mg/dL. Exame físico: frequência cardíaca: 85 bpm; pressão arterial: 110 x 70 mmHg; ausculta pulmonar limpa; não há edema periférico. O ECG mostra ritmo sinusal com bloqueio de ramo direito e duração do QRS de 120 milissegundos. O NT-pró-BNP é de 1500 pg/mL.
Considerando o caso apresentado, assinale a alternativa correta que indica o próximo passo mais apropriado no tratamento da insuficiência cardíaca.
Provas
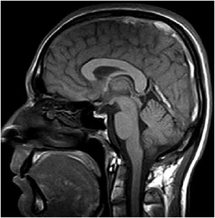
Mulher de 23 anos com 14 semanas de gestação relata quadro de cefaleia holocraniana há uma semana, que vem piorando de intensidade. A dor de cabeça piora à noite e causa visão embaçada. O exame clínico é normal e não há déficit neurológico focal, nem rigidez de nuca. Exames séricos são normais. A ressonância magnética T1 sagital realizada é mostrada a seguir:

(Arquivo pessoal; imagem usada com autorização)
Constitui a principal hipótese que justifica o quadro descrito:
Provas
Caderno Container