Foram encontradas 1.460 questões.
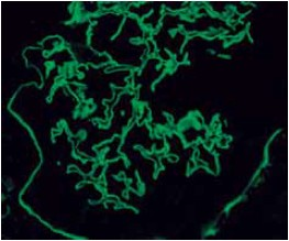
As glomerulonefrites rapidamente progressivas (GNRP) podem ser classificadas de acordo com os achados de imunofluorescência na biopsia renal.
Assinale a alternativa que apresenta corretamente a doença que apresenta um padrão de depósitos lineares semelhante ao da figura a seguir.

(Arquivo pessoal; imagem usada com autorização.)
Provas
Em relação às complicações do Transplante Renal (TX), é correto afirmar:
Provas
Paciente com quadro de glomerulonefrite (GN) acompanhada de síndrome nefrítica aguda apresenta dosagem de complemento normal.
Sobre esse caso, assinale a alternativa correta.
Provas
Nas diretrizes da ISDA (Infections Diseases Society of America), em relação à infecção do trato urinário para cistite não complicada, na primeira linha de tratamento, é recomendado:
Provas
Homem de 77 anos é avaliado por agitação aguda com redução da pressão arterial, taquicardia e piora da oxigenação nos últimos 30 minutos. Ele está internado há 2 dias com pneumonia e insuficiência respiratória hipoxêmica, necessitando de ventilação mecânica. O histórico médico é significativo para DPOC e insuficiência cardíaca. Os medicamentos em uso são: cefepima, claritromicina, propofol, corticoide, omeprazol e enoxaparina (profilaxia de TVP). Exame físico: temperatura: 37,1 ºC; pressão arterial: 92 x 55 mmHg; frequência cardíaca: 122 bpm; frequência respiratória: 30/min; a traqueia está na linha média; pulmonar: murmúrios respiratórios diminuídos bilateralmente, sem sibilos; B3 está presente. A ventilação é modo pressão controlada, volume corrente de 6 mL/kg, PEEP de 8 cmH2O, FiO2 de 50%, mantendo uma saturação arterial de oxigênio: 87%.
A próxima conduta de escolha é
Provas
Constitui uma afirmação verdadeira acerca do uso de diuréticos na lesão renal aguda?
Provas
Mulher de 30 anos, previamente saudável, apresenta febre, fraqueza, dor abdominal e diarreia. Os sinais vitais na apresentação são notáveis para pressão arterial de 180 x 110 mmHg. Os exames laboratoriais iniciais são normais, exceto por uma leve leucocitose de 13.000/mm3 com predominância de neutrófilos. Culturas de fezes e testes de toxina são negativos. Três dias depois, ela desenvolve confusão, trombocitopenia com contagem de plaquetas abaixo de 30.000/mm3 e injúria renal aguda. O esfregaço de sangue periférico mostra um número muito alto de esquizócitos.
Considerando a principal hipótese diagnóstica, o próximo passo mais apropriado no manejo dessa paciente é
Provas
Homem de 48 anos é internado com quadro de dispneia intensa e cianose de extremidades. O histórico é notável por cirrose Child-Pugh Classe C devido à infecção crônica pelo vírus da hepatite C em uso atual de tratamento antiviral devido à altas cargas virais. A saturação arterial de oxigênio é 64% e a frequência respiratória é 25 ipm. A gasometria arterial mostra PaO2 de 49 mmHg. O paciente teve muitos episódios semelhantes ao atual, mas que têm se tornado mais frequentes e graves. A condição geralmente melhora quando ele se deita e piora quando ele se senta ou fica de pé.
Considerando a principal hipótese diagnóstica, o teste de escolha para esse paciente é
Provas
Considerando a anormalidade valvar demonstrada a seguir, é correto afirmar

(Arquivo pessoal: imagem usada com autorização.)
Provas
Em relação a náuseas, vômitos ou dor no pós-operatório, é correto afirmar acerca do medicamento, mecanismo de ação e seus efeitos adversos frequentes, respectivamente:
Provas
Caderno Container