Foram encontradas 1.540 questões.
Mulher de 62 anos de idade apresenta quadro de febre, vômitos, queda do estado geral e dor abdominal difusa há 2 dias. Há histórico de cirrose causada por hepatite C, escore de Child-Pugh B. Ao exame físico: PA: 92 x 56 mmHg, FC: 118 bpm, FR: 22 ipm, SatO2: 93% e afebril; abdome: com ascite, doloroso difusamente. Exames séricos: albumina sérica: 3,2 g/dL; desidrogenase lática (DHL) sérica: 189 U/L e glicemia: 89 mg/dL. A paracentese realizada mostra: células: 17 860/mm3 (neutrófilos: 77%); albumina: 2,7 g/dL, DHL: 3 360 U/L e glicose: 28 mg/dL. O diagnóstico mais provável é
Provas
Paciente apresenta quadro de dor precordial há cerca de 3 horas, em aperto, irradiada para membros superiores, associada a sudorese e náuseas. O ECG é apresentado a seguir; V1 a V6 sem alteração relevante.

Mais provavelmente, a artéria acometida é
Provas
Homem de 33 anos de idade apresenta quadro de mialgia intensa, fraqueza muscular e oligúria 1 dia após realizar uma maratona. Não há comorbidades. Ao exame físico: hemodinamicamente estável, com ausculta pulmonar normal, sem déficit neurológico focal e dor à palpação de grandes grupos musculares.
Considerando a principal hipótese diagnóstica, constitui o tratamento inicial mais eficaz:
Provas
Homem de 61 anos de idade é atendido com quadro de dor torácica anginosa e falta de ar intensa iniciada há 2 horas. Ele tem histórico de hipertensão e nega febre. Ao exame físico: confuso, sonolento, sudorético e com cianose de extremidades; PA: 195 x 105 mmHg, FC: 128 bpm, FR: 44 ipm; ausculta pulmonar com crepitações bilaterais até ápices, sendo optado por intubação orotraqueal.
A droga que, mais provavelmente, pode ser deletéria para o paciente é
Provas
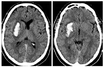
Considere a tomografia sem contraste apresentada a seguir.

O diagnóstico mais provável é
Provas
Com relação à avaliação das pupilas no paciente em coma, é correto afirmar que existe correlação entre
Provas
Uma gasometria arterial apresenta os seguintes resultados: pH: 7,47; bicarbonato: 31 mEq/L e pCO2: 44 mmHg. No paciente euvolêmico, essa gasometria, mais provavelmente, é encontrada no paciente com
Provas
O recrutamento alveolar na síndrome do desconforto respiratório agudo tem como característica:
Provas
Com relação ao manuseio de pacientes em sepse, é correto afirmar que
Provas
O tratamento de escolha para pielonefrite aguda na mulher grávida, hemodinamicamente estável e sem comorbidades é
Provas
Caderno Container