Foram encontradas 1.540 questões.
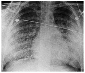
Mulher de 53 anos de idade, etilista, apresenta quadro de vômitos intensos há 2 dias, com provável aspiração orotraqueal. Em seguida, evolui com dispneia intensa, agitação, confusão e cianose de extremidades. Exame clínico: PA: 115 x 65 mmHg, FC: 128 bpm, FR: 44 ipm, T: 36,3 ºC, e SatO2: 54%; ausculta pulmonar com roncos e estertores difusos. A radiografia realizada é mostrada a seguir.

Com esses dados, a hipótese diagnóstica mais provável é de
Provas
Mulher de 79 anos de idade apresenta quadro de queda do estado geral, adinamia, poliúria e sonolência progressiva há 10 dias. PA: 102 x 68 mmHg, FC: 115 bpm, escala de Glasgow: 12 (confusa e sonolenta) e T: 37,9 ºC; tórax: normal; não há déficit neurológico focal. Exames séricos: glicemia: 632 mg/dL; ureia: 92 mg/dL, creatinina: 1,8 mg/dL, Na+: 119 mEq/L e K+: 5,6 mEq/L; gasometria arterial: pH: 7,34 e bicarbonato: 19 mEq/L; exame de urina com marcada leucocitúria.
Além de infecção urinária, o diagnóstico correto da complicação do paciente é
Provas
Homem de 64 anos de idade, hemodinamicamente estável, sem droga vasopressora, está intubado devido a pneumonia multilobar. Os parâmetros do ventilador, no momento, são: modo pressão-controlada; FR: 16 ipm; VC: 6 mL/kg, FiO2: 90%, pressão expiratória final positiva (PEEP): 7 cmH2O; pico de pressão inspiratória: 22 cmH2O e pressão de platô: 17 cmH2O. Gasometria arterial: pH: 7,34, PCO2: 36 mmHg e PO2: 74 mmHg.
Com relação à insuficiência respiratória, nesse momento, a melhor conduta é
Provas
Homem de 69 anos de idade apresenta 3 episódios de desconforto precordial há 3 horas, cada um durando cerca de 25-30 minutos. Refere histórico de diabete melito. Ao exame físico: PA: 105 x 75 mmHg, FC: 116 bpm, FR: 16 ipm e SatO2: 95%; peso: 90 kg; cardiovascular: normal; estertores crepitantes em bases pulmonares; extremidades sem edema. Hemograma, coagulograma, glicemia, eletrólitos e função renal: todos normais. Troponina sérica de entrada: 2 356 ng/mL (normal: até 19). O ECG realizado é mostrado a seguir.

Com os dados descritos, é correto afirmar que
Provas
Homem de 33 anos de idade apresenta quadro de perda de peso, anorexia e gengivorragia discreta há 3 semanas, evoluindo com dispneia, tontura, escurecimento visual e sensação iminente de desmaio, nos últimos 3 dias. Ao exame físico: PA: 98 x 62 mmHg, FC: 110 bpm e T: 36,2 ºC. Exames séricos: hemoglobina: 6,7 g/dL, leucócitos: 560/mm3 e plaquetas: 77 500/mm3. Em relação ao caso descrito, é correto
Provas
Mulher de 19 anos de idade relata quadro de febre, cefaleia e vômitos há 2 dias, evoluindo com agitação, alteração de comportamento e crise convulsiva nas últimas horas. Ao exame físico: confusa, desorientada, agitada e agressiva; PA: 121 x 78 mmHg, FC: 112 bpm, FR: 20 ipm; SatO2: 96% e T: 38,4 ºC; escala de Glasgow: 12, mas sem déficit neurológico focal; fundo de olho sem papiledema; pele: sem lesões. A principal hipótese diagnóstica é
Provas
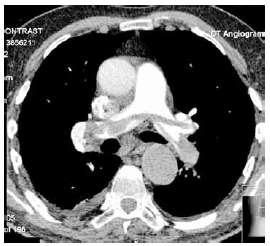
Considere a angiotomografia de tórax com contraste a seguir.

Constitui uma complicação aguda e frequente nesse paciente:
Provas
Homem de 37 anos de idade, com histórico de grave hipertensão, relata quadro de astenia, fraqueza, perda de peso e mal-estar de início há 1 mês. Há 5 dias evolui com piora clínica, cefaleia e turvação visual. Não há febre, dor torácica ou déficit neurológico focal. Ao exame físico: desidratado (+/4+), hipocorado (+/4+); PA: 246 x 156 mmHg, FC: 92 bpm, FR: 20 ipm e SatO2 de 94%; tórax: crepitações discretas em bases. Exames séricos: hemoglobina: 10,8 g/dL, leucócitos: 12 600/mm3 e plaquetas: 92 000/mm3; ureia: 68 mg/dL, creatinina: 2,2 mg/dL; sódio: 138 mEq/L, potássio: 3,1 mEq/L.
Mais provavelmente, o diagnóstico da síndrome apresentada pelo paciente pode ser confirmado por
Provas
Constitui uma complicação frequente da hipofosfatemia grave:
Provas
Mulher de 63 anos de idade, com antecedente de infarto do miocárdio há 2 anos, apresenta quadro súbito de palpitação, tontura e mal-estar. Ao exame físico: ansiosa, agitada e sudorética; PA: 72 x 52 mmHg, FC: 165 bpm; SatO2: 82%; extremidades com má-perfusão periférica. O monitor mostra o traçado a seguir (DII).

Nesse momento, a conduta inicial correta é
Provas
Caderno Container