Foram encontradas 1.540 questões.
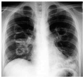
Homem de 62 anos de idade relata quadro de rinite, úlceras orais, fadiga, perda de peso e mal-estar há 3 meses. Há 1 semana evolui com tosse seca, febre baixa, rash cutâneo maculopapular e purpúrico em extremidades inferiores, com hemoptise intensa nas últimas horas, sendo internado na UTI. Exame de urina: hematúria, proteinúria e cilindros hemáticos. A radiografia de tórax realizada é mostrada a seguir.

O diagnóstico mais provável é
Provas
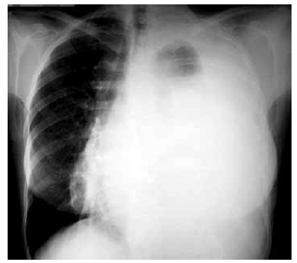
Mulher de 27 anos de idade apresenta quadro de dispneia progressiva há 2 meses, associado a tosse seca, dor torácica, sudorese noturna e perda de peso. Ao exame físico: PA: 112 x 74 mmHg, FC: 108 bpm, FR: 24 ipm e SatO2: 89%; adenomegalias cervicais; abdome e membros inferiores: sem alterações. A radiografia de tórax feita é mostrada a seguir. Uma toracocentese é realizada, com os seguintes achados: células: 5 260/mm3, (95% de linfócitos); proteínas totais: 3,9 g/dL; desidrogenase lática: 2 820 U/L; pH: 7,37; glicose: 72 mg/dL; adenosina deaminase: 18 U/L.

Com os dados descritos, o diagnóstico mais provável é
Provas
Homem de 53 anos de idade apresenta quadro de sonolência e fraqueza há 10 dias, evoluindo com estado confusional agudo há 6 horas. Logo em seguida, apresentou 2 episódios de crises convulsivas. Ele tem histórico de hipertensão e depressão, em uso de hidroclorotiazida, paroxetina e haloperidol. Ao exame físico: rebaixado, escala de Glasgow: 12; PA: 165 x 105 mmHg, FC: 62 bpm, FR: 16 ipm, SatO2: 96% e T: 36,3 ºC; glicemia capilar: 98 mg/dL; tórax: normal; extremidades normais. Exames séricos: sódio: 98 mEq/L, potássio: 4,1 mEq/L, ureia: 12 mg/dL, creatinina 0,3 mg/dL; hemograma sem alterações. O tratamento imediato mais importante é
Provas
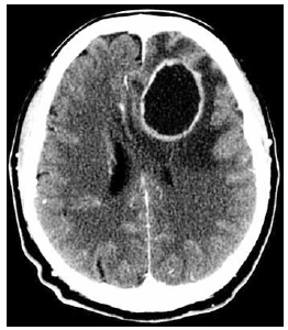
Homem de 43 anos de idade apresenta quadro de tosse produtiva e secreção nasal purulenta há 1 mês. Há 2 semanas evolui com febre, cefaleia, queda do estado geral, sonolência e alteração do comportamento. Ao exame físico: PA: 128 x 82 mmHg, FC: 115 bpm, FR: 22 ipm, SatO2: 95% e T: 38,5 ºC. A tomografia realizada é mostrada a seguir.

O tratamento inicial recomendado é
Provas
Homem de 64 anos de idade é atendido com queixas de náuseas, vômitos, fraqueza e tontura há 3 semanas. Há antecedentes de hipertensão arterial, diabete melito e doença renal crônica. Ao exame físico: sonolento, confuso; PA: 90 x 60 mmHg, FC: 62 bpm, FR: 26 ipm e afebril; glicemia capilar: 136 mg/dL. O ECG realizado é mostrado a seguir. Cerca de 30 minutos após, o paciente apresenta uma PCR em atividade elétrica sem pulso.

Além de RCP de alta qualidade, manejo de via aérea e epinefrina, é correto prescrever por via intravenosa
Provas
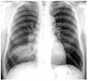
Homem de 51 anos de idade, em tratamento quimioterápico para câncer de cólon, apresenta quadro de mal-estar, sudorese, dispneia e tosse seca há 3 dias. O último ciclo da quimioterapia foi realizado há 10 dias. PA: 91 x 44 mmHg, FC: 114 bpm, FR: 28 ipm, SatO2: 89% e T: 38,3 ºC; tórax e abdome: NDN. Leucograma: 195/mm3. A radiografia de tórax realizada é apresentada a seguir.

Nesse momento, o melhor esquema antimicrobiano inicial é
Provas
Homem de 67 anos relata início de dor torácica intensa há cerca de 4 horas. Refere histórico de hipertensão arterial e tabagismo, em uso de enalapril, hidroclorotiazida e anlodipino. Nega cardiopatia ou broncoespasmo. Ao exame físico: fácies de dor, consciente, orientado, sudorético e muito ansioso; PA: 195 x 115 mmHg, FC: 110 bpm, FR: 20 ipm e SatO2: 93%. Exames gerais, d-dímeros, troponina de alta sensibilidade, BNP e gasometria arterial são solicitados; tomografia multidetector realizada é mostrada a seguir.

Constitui uma complicação que é mais provável nesse paciente:
Provas
Paciente com histórico de epilepsia, com tratamento irregular, apresenta crises convulsivas reentrantes. Após o uso de diazepam (30 mg), fenitoína (20 mg/kg de peso), o paciente não recobra a consciência, com recidiva da convulsão. PA: 145 x 98 mmHg e FC: 92 bpm. Nesse momento, a próxima medicação recomendada é
Provas
Mulher de 75 anos de idade, com histórico de lombalgia há 2 meses, relata quadro de anorexia, mal-estar, poliúria e vômitos há 2 semanas. Não há antecedente mórbido. Ao exame físico: sonolenta, confusa, desidratada 1+/4; sinais vitais normais; cardiopulmonar e abdome: NDN; não há edema de membros inferiores. Exames séricos: hemoglobina: 9,6 g/dL, leucócitos: 3 250/mm3 e plaquetas: 78 000/mm3; sódio, potássio e glicemia: normais; cálcio: 13,9 mg/dL, fósforo: 5,9 mg/dL e creatinina: 3,7 mg/dL.
Com os dados descritos, o diagnóstico mais provável é
Provas
Mulher de 65 anos de idade apresenta quadro de febre e dor em hipocôndrio direito há 3 dias. Não há antecedente mórbido relevante. Ao exame físico: PA: 138 x 88 mmHg, FC: 112 bpm, FR: 22 ipm, T: 38,8 ºC e SatO2: 96%; consciente e orientada; icterícia (1+/4+); tórax: NDN; abdome com dor intensa em hipocôndrio direito. Ultrassom: vesícula biliar com vários cálculos, parede de espessura aumentada, dilatação moderada de vias biliares, sem líquido perivesicular.
Admitindo-se que não há contraindicações, além de antibioticoterapia e suporte clínico, a conduta inicial correta é
Provas
Caderno Container