Foram encontradas 1.540 questões.
A proteína de Tamm-Horsfall é uma glicoproteína produzida e secretada pelas células de qual região tubular?
Provas
As lesões renais agudas na gestação podem ser classificadas em pré-renal, renal e pós-renal e podem ser associadas à gestação e não associadas à gestação. Assinale a alternativa correta em relação à lesão renal aguda de causa renal associada à gestação.
Provas
Em relação ao rim no envelhecimento, é correto afirmar que ocorre
Provas
O câncer de bexiga é o tumor mais comum do trato urinário, com idade mediana em torno de 65 anos, predominando no sexo masculino. No Brasil, esperam-se 6 785 novos casos de neoplasia de bexiga para pacientes do sexo masculino e 2 190 casos para mulheres. Qual o estadiamento do tumor de bexiga T2a?
Provas
Paciente encaminhada ao nefrologista por hematúria, leucocitúria, discreta proteinúria. No exame de imagem, apresentava ureteres nitidamente distorcidos, alternando áreas de estenose com áreas de dilatação, hidronefrose e volume reduzido de bexiga. O comprometimento renal era unilateral, com diminuição do tamanho renal e calcificações de aspecto triangular. A suspeita diagnóstica é:
Provas
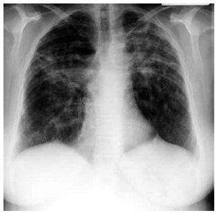
Mulher de 59 anos de idade relata quadro de fadiga, tosse seca e dispneia aos esforços há 1 ano. Nega antecedentes mórbidos, etilismo ou tabagismo. Ao exame físico: PA: 130 x 80 mmHg, FC: 88 bpm; FR: 20 ipm, SatO2: 94% e T: 38 ºC. cardiopulmonar: NDN. Exames séricos: creatinina: 1,1 mg/dL, glicemia: 82 mg/dL, cálcio 11,5 mg/dL (normal: 9 a 10,5), fósforo: 4,7 mg/dL (normal: 3,0 a 4,5), hormônio da paratireoide < 10 pg/mL (normal: 10 a 65) e 1,25-dihidroxivitamina D elevada. Teste cutâneo de tuberculina (PPD) é normal. A radiografia de tórax realizada é mostrada a seguir.

Com os dados descritos, o diagnóstico mais provável é
Provas
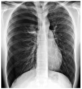
Homem de 39 anos de idade, tabagista, apresenta quadro de dor torácica intensa e dispneia de início agudo. PA: 128 x 78 mmHg, FC: 112 bpm, FR: 28 ipm e oximetria com SatO2: 95%. Não há antecedentes mórbidos e nega etilismo. ECG: taquicardia sinusal. A radiografia de tórax realizada é mostrada a seguir.

Nesse caso descrito, a melhor conduta é
Provas
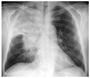
Paciente é atendido com quadro de febre, dispneia, tosse e expectoração amarelada há 5 dias. Não há antecedente mórbido relevante. Ao exame físico: PA: 88 x 58 mmHg, FC: 132 bpm, FR: 46 ipm, T: 38,8 ºC e SatO2: 72%. Eletrólitos e função renal: normais. A radiografia realizada é mostrada a seguir.

Em relação à insuficiência respiratória aguda, a conduta imediata recomendada é
Provas
Homem de 38 anos de idade apresenta quadro de cefaleia persistente há 1 dia, iniciada após esforço físico excessivo. De início, refere dor aguda e intensa periobitária direita, associada a náuseas e dor cervical ipsilateral, seguida de alívio parcial. Há cerca de 1 hora apresentou um episódio de perda visual monocular direita, com cerda de 5 a 10 minutos de duração, mas que cedeu espontaneamente. Ao exame físico: referindo cefaleia; PA: 132 x 82 mmHg, FC: 78 bpm; olho direito com ptose e miose, e reflexo fotomotor normal. A hipótese diagnóstica mais provável é
Provas
Homem de 73 anos apresenta quadro de fraqueza, tontura, anorexia e queda do estado geral há 2 meses, piorando nos últimos dias. Não há comorbidades prévias. Exames séricos: hemoglobina: 7,1 g/dL, leucócitos: 2 720/mm3, plaquetas: 87 600/mm3, volume corpuscular médio: 122 fL, reticulócitos corrigidos: 0,2%, sódio: 138 mEq/L, potássio: 3,5 mEq/L, creatinina: 1,1 mg/dL, glicemia: 88 mg/dL, desidrogenase lática: 3 850 U/L e bilirrubina indireta elevada. Vitamina B12 parenteral diária foi prescrita. Após 3 dias, o paciente evolui com intensa fraqueza muscular e tetraparesia. Constitui a causa mais provável da evolução clínica descrita:
Provas
Caderno Container