Foram encontradas 840 questões.
Das características elencadas a seguir, a mais frequentemente associada ao osteossarcoma em exames de imagem é
Provas
A característica essencial de um transtorno de insônia é a insatisfação com a quantidade ou qualidade do sono com queixas de dificuldade para iniciar ou manter o sono. As queixas de sono são acompanhadas por sofrimento clinicamente significativo ou comprometimento em áreas sociais, ocupacionais ou outras áreas importantes de funcionamento. A perturbação do sono pode ocorrer durante o curso de outro transtorno mental ou condição médica, ou pode ocorrer independentemente.
Traduzido de AMERICAN PSYCHIATRIC ASSOCIATION. Diagnostic and statistical manual of mental disorders (5. ed., texto rev.). 2022
Sobre os tratamentos farmacológicos para esse transtorno, assinale a afirmativa correta.
Provas
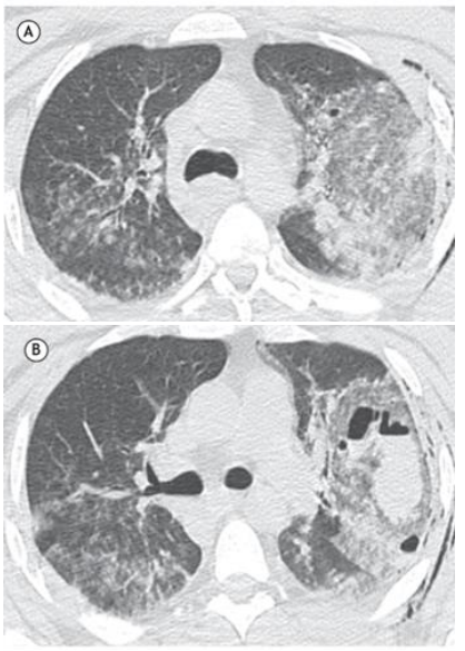
Homem de 38 anos, sem comorbidades, deu entrada no pronto-socorro após acidente de moto, queixando-se de dor torácica, tosse e hemoptise.
O paciente realizou tomografia computadorizada como parte da rotina diagnóstica.
O resultado foi:

Em relação ao exame apresentado, assinale a afirmativa correta.
Provas
Avalie se as seguintes regiões linfáticas estão incluídas no campo de Radioterapia do anel de Waldeyer para Linfoma de Hodgkin:
I. Tonsilas faríngeas.
II. Base da língua.
III. Tonsila palatina.
Está correto o que se afirma em
Provas
Das seguintes combinações, assinale a correta sobre a origem embriogênica do terço inferior da vagina e a sua drenagem linfática.
Provas
Paciente de 34 anos, durante exame de rotina, apresentou lesão em colo uterino de 4cm, estendendo-se aos fórnices da vagina, sem invadir paramétrios, que após biópsia foi confirmado se tratar de um carcinoma epidermoide. Foi submetida então à histerectomia radical com linfadenectomia pélvica.
O laudo anatomopatológico confirmou se tratar de um carcinoma epidermoide, medindo 4,3 cm e 1,9 cm de invasão profunda, margens cirúrgicas livres, invasão angiolinfática positiva, invasão da vagina de 0,8 cm, paramétrios e anexos livres, e com 4 de 15 linfonodos pélvicos positivos comprometimento pela neoplasia.
Com base nas informações acima, o estadiamento da paciente no pré-cirúrgico e no pós-cirúrgico, de acordo com a 8a Edição da AJCC/FIGO, é:
Provas
Acerca do "efeito heel" observado na geração de raios X, assinale a afirmativa correta.
Provas
Assinale a opção que apresenta uma indicação de quimioterapia e radioterapia pós-operatória em câncer do colo uterino.
Provas
No início típico de um caso de transtorno de pânico, os indivíduos estão envolvidos em algum aspecto comum da vida, quando subitamente seu coração dispara e eles têm a impressão de que não conseguem respirar. Segue-se a isso a sensação de tontura e desmaio, bem como a de que estão prestes a morrer. Os pacientes de transtorno de pânico são em geral adultos jovens, mais provavelmente na terceira década, embora o início possa ocorrer até a sexta década.
HALES, R. E.; YUDOFSKY, S. C.; GABBARD, G. O. Tratado de psiquiatria clínica. 5. ed. Porto Alegre: Artmed, 2012. P. 532.
A farmacoterapia de primeira linha para o tratamento contínuo do Transtorno de Pânico é
Provas
Em relação ao tratamento para o câncer de próstata utilizando o hipofracionamento com radioterapia externa, assinale a afirmativa correta.
Provas
Caderno Container