Foram encontradas 840 questões.
Sobre a vertigem postural paroxística benigna (VPPB), avalie as afirmativas a seguir.
I. O nistagmo da canalitíase do canal semicircular lateral é geotrópico.
II. A manobra de Epley é usada para o diagnóstico da VPPB de canais posteriores e a de Dix-Hallpike para o tratamento.
III. A manobra de Yacovino é realizada para os canais anteriores, não sendo necessário saber qual o lado acometido.
Está correto o que se afirma em
Provas
Os critérios para a indicação de implante coclear unilateral ou bilateral (critério médico) em crianças de até 6 anos de idade incluem os a seguir listados, e todos devem estar presentes, exceto um. Assinale-o.
Provas
Sobre pontos extras, considere as descrições a seguir.
I. Está localizado na face dorsal da mão, entre o segundo e o terceiro e entre o quarto e o quinto ossos metacarpais, no ponto médio entre as pregas do punho e as articulações metacarpofalângicas. É um ponto indicado para lombalgia aguda.
II. Está localizado na face anterior do antebraço, 4 cun acima da prega do punho, bilateralmente ao tendão do músculo flexor radial do carpo. É um ponto indicado para hemorroidas com sangramento, dor e prolapso retal.
A esse respeito, assinale a afirmativa correta.
Provas
Leia o trecho a seguir.
Ponto localizado na face dorsal do antebraço, na depressão proximal no lado radial da cabeça da ulna, que pode ser usado para tratar visão turva, ombralgia e déficit auditivo.
O trecho se refere ao ponto
Provas
O seguinte parâmetro ultrassonográfico com Doppler em cores é considerado mais relevante para avaliar a atividade da doença inflamatória intestinal em pacientes pediátricos:
Provas
Com relação à epidemiologia dos transtornos psiquiátricos, assinale a afirmativa correta.
Provas
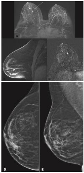
Paciente de 42 anos realizou mamografia e RM para rastreamento de câncer de mama.

Em relação ao rastreamento de câncer de mama, assinale a afirmativa correta.
Provas
Paciente do sexo feminino, 46 anos, sem histórico de tabagismo, queixando-se de tosse seca e cansaço. A paciente realizou tomografia computadorizada como parte da rotina diagnóstica.

Em relação ao diagnóstico e às características radiológicas da sarcoidose, assinale a afirmativa correta.
Provas
Sobre os transtornos dissociativos, avalie as afirmativas a seguir.
I. Segundo o DSM 5-TR, os fatores de risco para a patologia dissociativa incluem negligência e abuso sexual, físico e emocional por parte dos pais, trauma e adversidades cumulativas no início da vida e trauma ou tortura sustentados associados a cativeiro.
II. As alterações de experiência no transtorno de despersonalização/desrealização não são acompanhadas por testes de realidade intactos: o indivíduo geralmente não percebe que suas experiências de irrealidade ou distanciamento não refletem mudanças reais no mundo externo ou em si mesmo
III. A amnésia dissociativa é retrograda e os indivíduos com que sofrem da condição frequentemente não têm consciência (ou têm consciência parcial) de seus problemas de memória e muitos, embora percebam lacunas na memória, minimizam a importância da perda da memória.
Está correto o que se afirma em
Provas
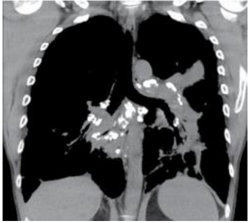
Mulher, 37 anos, queixando-se de tosse e febre há três dias. A paciente realizou tomografia computadorizada como parte da rotina diagnóstica.

Em relação ao exame apresentado, assinale a afirmativa correta.
Provas
Caderno Container