Foram encontradas 840 questões.
O novo relatório Vigitel 2023 (com dados coletados de dezembro de 2022 a abril de 2023) aponta um aumento do consumo abusivo de álcool quando comparado com os anos anteriores. Na população geral, o aumento foi de 18,4% para 20,8% entre 2021 e 2023. Entre as pessoas do sexo masculino, esse aumento foi de 25% para 27,3% no período e, entre pessoas do sexo feminino, esse aumento foi de 12,7% para 15,2%.
CENTRO DE INFORMAÇÃO SOBRE SAÚDE E ÁLCOOL – CISA. Novos dados do Ministério da Saúde mostram consumo abusivo e beber e dirigir no Brasil em 2023. Disponível em: https://cisa.org.br/pesquisa/artigos-cientificos/artigo/item/442-novos-dadosdo-ministerio-da-saude-mostram-consumo-abusivo-e-beber-e-dirigir-no-brasil-em2023. Acesso realizado em: 13/01/2025
Sobre os transtornos de abuso do álcool, assinale a afirmativa correta.
Provas
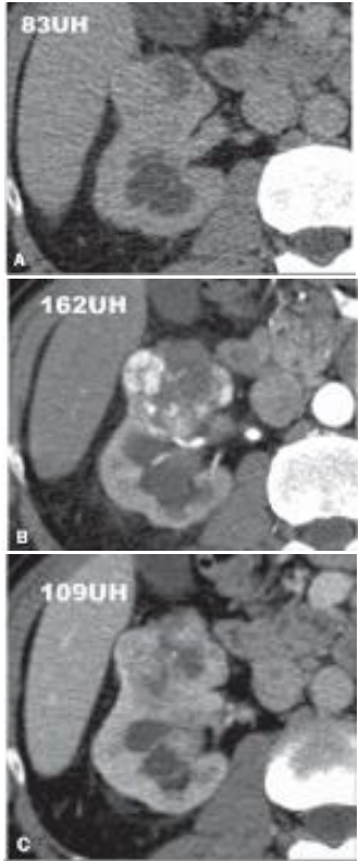
A TC a seguir é um exemplo de carcinoma de células renais.

Em relação à classificação histológica do carcinoma de células renais (CCR) e sua correlação com os métodos de imagem, assinale a afirmativa correta.
Provas
Sobre a avaliação de placas ateroscleróticas por tomografia computadorizada cardíaca (CTCA), assinale a afirmativa correta.
Provas
Um quadro psicótico agudo é caracterizado por uma ruptura com a realidade temporária, que pode ser deflagrado por eventos estressantes ou trauma.
Sobre o transtorno psicótico breve, é correto afirmar que
Provas
Em relação aos achados radiológicos típicos na tomografia computadorizada (TC) para avaliação da diverticulite aguda dos cólons, assinale a afirmativa correta.
Provas
Com base nos artigos 45 e 46 da lei que institui o Sistema Nacional de Políticas Públicas sobre Drogas – Sisnad (11343/2006), assinale a afirmativa correta.
Provas
A indicação mais comum e estabelecida para o uso de tomografia computadorizada cardiovascular (CCT) é
Provas
O seguinte medicamento não é normalmente considerado como tratamento de primeira escolha, sobretudo devido à carga adicional de monitoração clínica necessária para a detecção precoce de alterações quantitativas nos neutrófilos do sangue:
Provas
Na Terapia Cognitivo-Comportamental (TCC), a tríade cognitiva, proposta por Aaron Beck e colaboradores, e que explica os padrões de pensamento distorcidos associados à depressão, é composta por crenças negativas relacionadas a
Provas
A avaliação da diverticulite aguda dos cólons tem na TC um ótimo método de diagnóstico.

Acerca da interpretação da TC acima, é correto afirmar que
Provas
Caderno Container