Foram encontradas 309 questões.
Paciente foi submetido à ressecção anterior baixa do reto
com anastomose colorretal e derivação temporária por
ileostomia em alça.
Comparada com colostomia em alça para derivação temporária, a ileostomia em alça apresenta
Comparada com colostomia em alça para derivação temporária, a ileostomia em alça apresenta
Provas
Questão presente nas seguintes provas
Paciente do sexo masculino, de 25 anos, vítima de ferimento penetrante por arma branca em zona II do pescoço (entre a cartilagem cricoide e o ângulo da mandíbula),
é admitido no pronto-socorro com hematoma expansivo
em região cervical anterior, disfonia, enfisema subcutâneo e saturação de 88% em ar ambiente.
Diante do quadro, assinale a alternativa que apresenta corretamente o conjunto de estruturas anatômicas com maior risco de ter sido lesado.
Diante do quadro, assinale a alternativa que apresenta corretamente o conjunto de estruturas anatômicas com maior risco de ter sido lesado.
Provas
Questão presente nas seguintes provas
É indicação de cricotireoidostomia, exceto:
Provas
Questão presente nas seguintes provas
Paciente de 45 anos chega ao pronto-socorro com dor
súbita em membro inferior esquerdo, palidez e esfriamento desse membro. Refere ter realizado cirurgia para
troca de válvula aórtica há seis anos.
Qual é o diagnóstico mais provável?
Qual é o diagnóstico mais provável?
Provas
Questão presente nas seguintes provas
Paciente do sexo masculino, de 22 anos, vítima de ferimento penetrante por arma branca em hipocôndrio direito, chega à emergência em regular estado geral, taquicárdico (FC: 118 bpm), hipotenso (PA: 90 × 60 mmHg),
descorado (+/4+) e referindo dor abdominal intensa.
A palpação abdominal revela dor difusa com defesa voluntária.
Assinale a alternativa que apresenta corretamente a melhor conduta inicial para esse paciente.
Assinale a alternativa que apresenta corretamente a melhor conduta inicial para esse paciente.
Provas
Questão presente nas seguintes provas
Paciente do sexo feminino, de 62 anos, é diagnosticada
com carcinoma ductal invasivo de mama esquerda. Durante o estadiamento, realiza tomografia computadorizada de abdome, que identifica cisto pancreático na cabeça
do pâncreas, sugestivo de neoplasia mucinosa papilar
intraductal (IPMN), conforme imagem a seguir:
(Arquivo pessoal; imagem usada com autorização)
De acordo com os critérios de Fukuoka (2017) revisados, qual das seguintes características é considerada um “critério de alto estigma” que indica necessidade de ressecção cirúrgica?
(Arquivo pessoal; imagem usada com autorização)
De acordo com os critérios de Fukuoka (2017) revisados, qual das seguintes características é considerada um “critério de alto estigma” que indica necessidade de ressecção cirúrgica?
Provas
Questão presente nas seguintes provas
Com relação à diverticulite aguda, assinale a alternativa
correta.
Provas
Questão presente nas seguintes provas
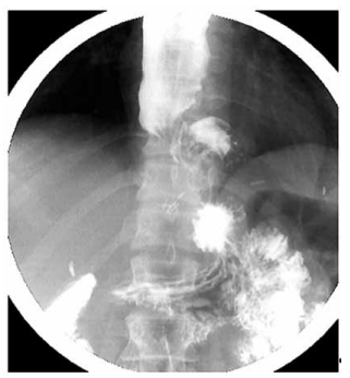
Paciente de 45 anos, submetido à miotomia de Heller
com fundoplicatura parcial (dor) por acalasia há oito meses, evoluiu com melhora inicial da disfagia, mas retornou com piora progressiva dos sintomas nos últimos dois
meses. A endoscopia digestiva alta mostrou esôfago dilatado com acúmulo de conteúdo alimentar e resistência
à passagem do aparelho na transição esofagogástrica. A
manometria esofágica de alta resolução não pôde ser realizada, pois não foi possível o posicionamento adequado do cateter manométrico na junção esofagogástrica.
Realizou o esofagograma apresentado a seguir:
(Arquivo pessoal; imagem usada com autorização)
Considerando a história e os achados do exame, qual é a conduta mais adequada?
(Arquivo pessoal; imagem usada com autorização)
Considerando a história e os achados do exame, qual é a conduta mais adequada?
Provas
Questão presente nas seguintes provas
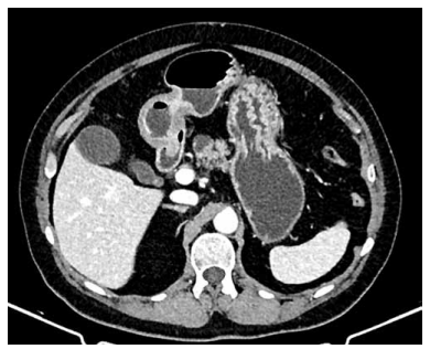
Paciente de 42 anos foi submetida a histerectomia total
e retossigmoidectomia laparoscópica com anastomose
mecânica por endometriose profunda. No terceiro dia de
pós-operatório, apresenta descarga de conteúdo fétido
pela vagina. Foi realizado estudo radiológico, apresentado a seguir:
(Arquivo pessoal; imagem usada com autorização)
Com base nas imagens e na cronologia do caso, qual é a causa mais provável dessa complicação?
(Arquivo pessoal; imagem usada com autorização)
Com base nas imagens e na cronologia do caso, qual é a causa mais provável dessa complicação?
Provas
Questão presente nas seguintes provas
Paciente do sexo feminino, de 31 anos, apresenta dor em hipocôndrio direito, icterícia, colúria e acolia fecal há duas semanas. Exames laboratoriais mostram elevação de fosfatase alcalina, GGT e bilirrubina direta. A ressonância magnética
evidencia dilatação cística extensa da via biliar extra-hepática e intra-hepática, associada a múltiplas imagens sugestivas
de litíase intra-hepática. Foi realizada CPRE com colocação de próteses plásticas, sem melhora significativa dos níveis
de bilirrubina.
Exames de imagem apresentados a seguir:
(Arquivo pessoal; imagem usada com autorização)
Considerando o quadro apresentado e as opções terapêuticas, qual é a conduta cirúrgica definitiva de escolha correta?
Exames de imagem apresentados a seguir:
(Arquivo pessoal; imagem usada com autorização)
Considerando o quadro apresentado e as opções terapêuticas, qual é a conduta cirúrgica definitiva de escolha correta?
Provas
Questão presente nas seguintes provas
Cadernos
Caderno Container