Foram encontradas 309 questões.
Paciente de 72 anos, com histórico de hérnia umbilical
conhecida há anos e obesidade grau I, foi recentemente
diagnosticado com adenocarcinoma gástrico do terço inferior do corpo do estômago. Iniciou quimioterapia sistêmica.
Ele procura o pronto-socorro queixando-se de um aumento progressivo do volume na região umbilical nas últimas
3 semanas, associado a um desconforto local contínuo e
leve edema ao redor. Negava náuseas, vômitos ou parada
de eliminação de gases e fezes. Ao exame, abdome globoso, e na região umbilical era palpável uma massa nodular, firme, fixa, não redutível a compressão e não dolorosa
à palpação superficial.
Considerando o quadro apresentado, a hipótese diagnóstica mais provável para o nódulo umbilical é:
Considerando o quadro apresentado, a hipótese diagnóstica mais provável para o nódulo umbilical é:
Provas
Questão presente nas seguintes provas
Analise a imagem a seguir:

Qual é o nome da incisão cirúrgica apresentada?
Provas
Questão presente nas seguintes provas
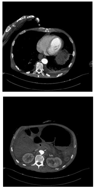
Paciente de 78 anos, hipertenso, tabagista, é admitido no
pronto-socorro em choque séptico de instalação rápida,
associado à dor abdominal súbita e distensão. Realizada
tomografia computadorizada de abdome a seguir:
Qual o diagnóstico mais provável baseado na interpretação da imagem e no quadro clínico?
Qual o diagnóstico mais provável baseado na interpretação da imagem e no quadro clínico?
Provas
Questão presente nas seguintes provas
A crioglobulinemia, uma vasculite causada por anticorpos
que se precipitam em baixas temperaturas, é mais frequentemente causada por qual das seguintes infecções virais?
Provas
Questão presente nas seguintes provas
Homem, 48 anos de idade, procura médico de família e
comunidade referindo tontura há cerca de 1 ano, quando notou, em ouvido direito, perda auditiva progressiva e
zumbidos discretos. Os sintomas eram leves, e ele não
procurou auxílio médico. Seus sintomas progrediram e
passou a sentir tontura e discreta dormência facial.
O diagnóstico mais provável é:
O diagnóstico mais provável é:
Provas
Questão presente nas seguintes provas
Homem, levado pela esposa a médico da família e comunidade, é acompanhado há cerca de 3 anos com suspeita
de demência.
O fator que leva o médico a suspeitar de demência em vez de delirium ou depressão é:
O fator que leva o médico a suspeitar de demência em vez de delirium ou depressão é:
Provas
Questão presente nas seguintes provas
Mulher de 69 anos de idade é levada por sua filha a uma
UPA por quadro de resfriado, fraqueza, adinamia e dor
muscular difusa. Exame físico: PA: 160 × 100 mmHg, dor à
palpação de coxas, panturrilhas e região lombar. Lombalgia há 10 dias em uso de cetoprofeno. Antecedente de diabetes mellitus tipo 2, em uso de metformina, e hipercolesterolêmica, em uso de pravastatina. Dados laboratoriais:
ureia: 520 mg/dL; creatinina: 5,1 mg/dL; K: 6,2 mEq/dL;
Ca total: 6,1 mg/dL; fósforo de 5,8 mg/Ld; ácido úrico:
19 mg/dL. Fita reagente de urina: hematúria. Urina tipo I:
proteinúria 2+, cilindros, granulosos, sem hemácias.
Assinale a alternativa que apresenta a causa mais provável da lesão renal aguda.
Assinale a alternativa que apresenta a causa mais provável da lesão renal aguda.
Provas
Questão presente nas seguintes provas
Homem de 21 anos procura assistência médica por quadro de olho esquerdo vermelho, que notou ao acordar
pela manhã. Nega dor ocular, secreção ou perda de visão
e trauma. Relata que nunca teve um episódio semelhante
antes. Há 2 dias, estava doente, com quadro de diarreia
aguda. Ontem, apresentou náuseas e vômitos intensos
por várias horas. Hoje, está assintomático. Ao exame físico, apresenta mancha vermelha brilhante, localizada e
bem circunscrita em seu olho esquerdo.
Assinale a alternativa que apresenta o diagnóstico mais provável para o caso.
Assinale a alternativa que apresenta o diagnóstico mais provável para o caso.
Provas
Questão presente nas seguintes provas
Mulher de 56 anos procura ambulatório com histórico de tabagismo de 1 maço de cigarro por dia por
40 anos. Ela parou de fumar há um ano. Na anamnese,
ela relata tosse produtiva com expectoração branca e espumosa nos últimos 4 meses. Ela teve quadro semelhante no inverno passado, com uma tosse que durou mais
de 3 meses.
Qual(is) seria(m) o(s) exame(s) mais sensível(eis) para possível quadro de DPOC?
Qual(is) seria(m) o(s) exame(s) mais sensível(eis) para possível quadro de DPOC?
Provas
Questão presente nas seguintes provas
Mulher, 26 anos de idade, foi atendida por médico em
posto de saúde, tendo sido diagnosticada com depressão. Ela deseja iniciar o tratamento medicamentoso, mas
está preocupada com o fato de as drogas causarem disfunção sexual.
Para evitar efeitos colaterais sexuais, qual antidepressivo seria a melhor escolha?
Para evitar efeitos colaterais sexuais, qual antidepressivo seria a melhor escolha?
Provas
Questão presente nas seguintes provas
Cadernos
Caderno Container