Foram encontradas 744 questões.
O câncer de mama é, no Brasil, mais incidente na
Provas
A síndrome dos ovários policísticos consiste na presença de
Provas
No tratamento da crise aguda da asma recomenda-se o uso de corticoesteróide. A retirada gradual da droga faz-se necessária quando utilizada por
Provas
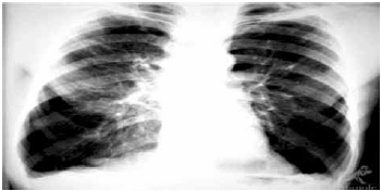
O rX é mais compatível com quadro de

Provas
A rigidez matinal nos quadros de osteoartrose, em geral,
Provas
A foto é mais compatível com quadro de

Provas
Paciente apresenta quadro agudo de oligoartrite em punho e joelhos. Pode-se afirmar que se trata, mais provavelmente, de
Provas
Num laboratório de usinagem, deseja-se testar ferramentas de diferentes geometrias para otimização. Os ângulos de saída de cavaco e de cunha de uma ferramenta de torneamento são iguais a –4º e 90º. O ângulo de incidência da ferramenta será de
Provas
Entre os materiais poliméricos, os materiais conhecidos como teflon, baquelite e polímeros de altíssimo peso molecular podem aparecer representados por siglas. Na ordem dada, as siglas são:
Provas
Além da lubrificação correta, a vida útil dos rolamentos depende drasticamente de que sua montagem seja correta. Sobre projetos que exijam montagem de peças sobre rolamentos individuais (não combinados), pode-se afirmar que, nos desenhos de detalhes e de montagem, deve ficar implícito e claro
Provas
Caderno Container