Foram encontradas 339 questões.

Nesse caso, a conduta será
Provas

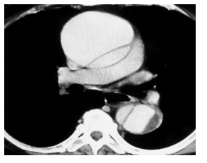
Em relação a essa patologia,
Provas

Realizou-se cateterismo cardíaco que evidenciou lesão obstrutiva em coronária direita, tratada com angioplastia e implante bem sucedido de stent convencional. Ao exame físico admissional, foi observado sopro sistólico em foco mitral e, nas primeiras 24 horas de internação na unidade de terapia intensiva, o paciente evoluiu com pico febril e instabilidade hemodinâmica, com necessidade de uso de noradrenalina em bomba infusora endovenosa. Feito rastreio infeccioso e colhidas hemoculturas. Ecocardiograma à beira do leito mostrou insuficiência mitral com espessamento do folheto posterior da valva mitral, pericárdio normal e hipocinesia discreta em parede inferior com função ventricular global preservada. Hemoculturas (3 amostras) foram positivas para estreptococos do grupo viridans. Nesse caso, a terapêutica antimicrobiana será:
Provas
Mulher, 58 anos, apresenta dor em queimação em epigástrio associada a sudorese e vômitos. De base hipertensa e dislipidêmica, está em uso de atenolol 100 mg e losartan 50 mg para tratamento de hipertensão arterial. Admitida no pronto-socorro de clínica médica, apresentava-se sonolenta e taquipnéica, com PA 70/40 mmhg, P 28bpm, FR 28 irpm e SAT 85% em ar ambiente e com ausculta pulmonar limpa.
Realizado ECG cujo resultado se encontra abaixo.

A conduta, nesse momento, será o uso endovenoso de
Provas
O caso clínico abaixo servirá de base para responder à questão.
Ana Maria é uma mulher de 26 anos, mãe de João Pedro de 3 anos. Busca atendimento na unidade básica de saúde (UBS) mais próxima de sua casa, preocupada, pois seu filho ficou doente nos últimos dois dias, com febre de 38 graus, vômitos, hiporexia, tendo surgido manchas avermelhadas no corpo nas últimas 24 horas. João Pedro é uma criança sem doenças crônicas; durante o pré-natal, não houve intercorrências e nasceu de parto vaginal; apresenta bom desenvolvimento neuropsicomotor para a faixa etária, mas a mãe se preocupa com o baixo peso da criança, com algumas dificuldades na aceitação da alimentação. João Pedro não faz uso regular de medicações e não tem história de internações hospitalares ou acidentes graves. Ana Maria relata ter feito exames laboratoriais há um ano sem evidência de anormalidades na criança. Sua família não tem história de doenças crônicas conhecidas, mora em uma área sem saneamento básico e refere que vários vizinhos tem apresentado um quadro semelhante desde que as chuvas começaram. Na recepção da UBS, Ana Maria é informada de que esse tipo de atendimento não era prestado na unidade e de que crianças não seriam atendidas naquele momento. Então, Ana Maria foi orientada a procurar uma Unidade de Pronto Atendimento (UPA) com pediatra para atender a criança.
Provas
Provas
O caso clínico abaixo servirá de base para responder à questão.
Ana Maria é uma mulher de 26 anos, mãe de João Pedro de 3 anos. Busca atendimento na unidade básica de saúde (UBS) mais próxima de sua casa, preocupada, pois seu filho ficou doente nos últimos dois dias, com febre de 38 graus, vômitos, hiporexia, tendo surgido manchas avermelhadas no corpo nas últimas 24 horas. João Pedro é uma criança sem doenças crônicas; durante o pré-natal, não houve intercorrências e nasceu de parto vaginal; apresenta bom desenvolvimento neuropsicomotor para a faixa etária, mas a mãe se preocupa com o baixo peso da criança, com algumas dificuldades na aceitação da alimentação. João Pedro não faz uso regular de medicações e não tem história de internações hospitalares ou acidentes graves. Ana Maria relata ter feito exames laboratoriais há um ano sem evidência de anormalidades na criança. Sua família não tem história de doenças crônicas conhecidas, mora em uma área sem saneamento básico e refere que vários vizinhos tem apresentado um quadro semelhante desde que as chuvas começaram. Na recepção da UBS, Ana Maria é informada de que esse tipo de atendimento não era prestado na unidade e de que crianças não seriam atendidas naquele momento. Então, Ana Maria foi orientada a procurar uma Unidade de Pronto Atendimento (UPA) com pediatra para atender a criança.
Provas
I A suspeita das lesões é realizada por métodos de imagem , e a confirmação, por exame microscópico. A verificação mais comum é de um agrupamento de microcalcificações amorfas pela mamografia. Todo o processo evolutivo é estimulado por estrogênios.
II A expressão NL refere-se ao espectro de lesões epiteliais atípicas que envolvem a unidade ductolobular terminal, caracterizadas pela proliferação de células pequenas, uniformes, redondas, sem coesão celular e com ou sem extensão pagetoide: para ductos terminais.
III As lesões proliferativas epiteliais da mama são homogêneas e podem corresponder a etapas intermediárias entre tecido normal e carcinoma invasivo. Apresentam alterações genéticas comuns ao carcinoma, reflexo de uma proliferação lobular. A evolução para carcinoma é altamente prevalente e não depende do microambiente local.
IV Na HLA, mais de 50% dos ductos da unidade ducto terminal-lobular estão distendidos, enquanto que, no CLIS, menos da metade mostra distensão à custa da proliferação glandular. Para se excluir a possibilidade de subestimação para câncer, recomenda-se, como regra geral, a ampliação cirúrgica após biopsia percutânea.
Em relação às lesões mamárias referidas, estão corretas as afirmativas
Provas
O caso clínico abaixo servirá de base para responder à questão.
Ana Maria é uma mulher de 26 anos, mãe de João Pedro de 3 anos. Busca atendimento na unidade básica de saúde (UBS) mais próxima de sua casa, preocupada, pois seu filho ficou doente nos últimos dois dias, com febre de 38 graus, vômitos, hiporexia, tendo surgido manchas avermelhadas no corpo nas últimas 24 horas. João Pedro é uma criança sem doenças crônicas; durante o pré-natal, não houve intercorrências e nasceu de parto vaginal; apresenta bom desenvolvimento neuropsicomotor para a faixa etária, mas a mãe se preocupa com o baixo peso da criança, com algumas dificuldades na aceitação da alimentação. João Pedro não faz uso regular de medicações e não tem história de internações hospitalares ou acidentes graves. Ana Maria relata ter feito exames laboratoriais há um ano sem evidência de anormalidades na criança. Sua família não tem história de doenças crônicas conhecidas, mora em uma área sem saneamento básico e refere que vários vizinhos tem apresentado um quadro semelhante desde que as chuvas começaram. Na recepção da UBS, Ana Maria é informada de que esse tipo de atendimento não era prestado na unidade e de que crianças não seriam atendidas naquele momento. Então, Ana Maria foi orientada a procurar uma Unidade de Pronto Atendimento (UPA) com pediatra para atender a criança.
Provas
Provas
Caderno Container