Foram encontradas 339 questões.
O caso clínico abaixo servirá de base para responder à questão.
Ana Maria é uma mulher de 26 anos, mãe de João Pedro de 3 anos. Busca atendimento na unidade básica de saúde (UBS) mais próxima de sua casa, preocupada, pois seu filho ficou doente nos últimos dois dias, com febre de 38 graus, vômitos, hiporexia, tendo surgido manchas avermelhadas no corpo nas últimas 24 horas. João Pedro é uma criança sem doenças crônicas; durante o pré-natal, não houve intercorrências e nasceu de parto vaginal; apresenta bom desenvolvimento neuropsicomotor para a faixa etária, mas a mãe se preocupa com o baixo peso da criança, com algumas dificuldades na aceitação da alimentação. João Pedro não faz uso regular de medicações e não tem história de internações hospitalares ou acidentes graves. Ana Maria relata ter feito exames laboratoriais há um ano sem evidência de anormalidades na criança. Sua família não tem história de doenças crônicas conhecidas, mora em uma área sem saneamento básico e refere que vários vizinhos tem apresentado um quadro semelhante desde que as chuvas começaram. Na recepção da UBS, Ana Maria é informada de que esse tipo de atendimento não era prestado na unidade e de que crianças não seriam atendidas naquele momento. Então, Ana Maria foi orientada a procurar uma Unidade de Pronto Atendimento (UPA) com pediatra para atender a criança.
Provas
Provas
Provas
Provas
Provas
O caso clínico abaixo serve de referência para responder à questão.
Mulher, 42 anos, portadora de hipertensão descompensada, tabagista, comparece à
consulta com desejo de parar de fumar. Durante a entrevista clínica, refere que já tentou
parar de fumar e não conseguiu. Fuma, a partir de 5 minutos após acordar, 20 cigarros por
dia, inclusive em locais proibidos e mesmo quando doente. O cigarro do dia que lhe traz
maior satisfação é o que fuma após o almoço, e é à tarde que fuma a maior quantidade de
cigarros. Apresenta um eletrocardiograma com evidência de alteração de repolarização
ventricular.
Provas
Provas
I O diagnóstico deverá ser baseado em anamnese e exame físico cuidadosos, com o auxílio de testes específicos, como o Fenol, o pH, a cristalização em lâmina aquecida e, em casos específicos de dúvida, testes imunocromatográficos , como o PAMG-1 e o IGFBP-1.
II Para que a conduta conservadora seja estabelecida, deve-se ter certeza de que não existem infecções. Para tanto, solicita-se, à admissão da paciente, hemograma, proteína C reativa (PCR) e urocultura, além de exame físico minucioso. A taquicardia fetal (> 160 bpm) é sugestiva de infecção intra-amniótica.
III O colo curto, com a presença ultrassonográfica do Sludge, representado por uma imagem hipoecogênica no polo inferior do saco amniótico, em contato direto com a parte superior do colo, constitui o fator causal mais importante e associado à rotura prematura de membranas ovulares.
IV O processo infeccioso no polo inferior do saco amniótico parece ser um dos mais importantes desencadeadores de corioamnionite, decorrente da produção de proteases e lipases, que alteram a estrutura tecidual da membrana, fragilizando -a e, dessa forma, permitindo a sua rotura.
Estão corretas as afirmativas,
Provas

As complicações associadas a essa evolução são
Provas

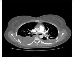
De acordo com esse achado, foi realizada uma toracocentese. A análise do líquido mostrou uma relação proteína pleural/sérica > 0,5 e DHL pleural/sérica > 0,6 com dosagem de ADA de 80 ui/L (VR: até 40 ui/L). Considerando essas informações, o diagnóstico é
Provas
Caderno Container