Foram encontradas 1.810 questões.
Uma forma de compilar uma grande quantidade de dados é criar um banco de dados. Este pode ser construído por meio de dados de pesquisadores ou por dados já publicados na literatura, que são reunidos e se tornam disponíveis para a comunidade científica. Acerca dos bancos de dados, assinale a alternativa INCORRETA:
Provas
Questão presente nas seguintes provas
Considere um projeto de proteção de uma entrada de energia trifásica, cuja carga demandada seja igual a 20 kVA. Ao consultar a tabela de capacidade de condução de corrente (método D, três condutores carregados, 70º C) e aplicando os fatores de correção FCA e FCT unitários, chegou-se a conclusão da necessidade de condutores com seção nominal de 16 mm2 (67 A) para o ramal de entrada. Para atender às condições de segurança, deverá ser utilizado um disjuntor geral trifásico de:
Provas
Questão presente nas seguintes provas
Um pesquisador e sua equipe acabam de obter a sequência de nucleotídeos de um gene de camundongo antes desconhecido. Querendo
saber se esse gene ou um gene similar está presente no genoma humano, ele deve recorrer a seguinte ferramenta de bionformática:
Provas
Questão presente nas seguintes provas
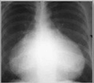
Uma adolescente de 12 anos foi levada à Emergência e sua mãe relata falta de apetite, mal-estar, náuseas e dor no peito, com irradiação para ombro esquerdo há 24 horas. A anamnese revela que foi submetida à correção cirúrgica comunicação intra-atrial (CIA) há 20 dias. O exame físico apresentou estado geral regular, t.ax: 382C; FR: 52 irpm; FC:100 bpm; PA: 100 x 60 mmHg; ACV: presença de discreto som de atrito pericárdico; AR: sem alterações; fígado e baço não palpados. Os exames laboratoriais apresentaram o seguinte resultado: HM: 4.800.00 mm³; Hb: 12,5 g/dL; Hto: 37,5%; Leucócitos 10.100/ mm³; B: 3%; S: 32%; L: 48%; VHS: 10 mm; RX de tórax. De acordo com o exposto, analise a imagem a seguir.

Assinale a alternativa que apresenta o diagnóstico e a conduta correta para o caso referido.
Provas
Questão presente nas seguintes provas
Uma bateria é conectada a uma resistência no valor de 11,5 Ω, obtendo uma corrente i1. A esta bateria, ligam-se em paralelo mais duas idênticas e a corrente passa a ter o valor de 0,25A. Considerando que a resistência interna das baterias é 1,5 Ω, assinale o valor da corrente i1.
Provas
Questão presente nas seguintes provas
Uma floresta foi cortada para se estabelecer um pasto. Passados 10 anos da criação de gado, o local foi abandonado. Assinale a alternativa que denomina corretamente o processo que deverá ocorrer após o abandono do pasto.
Provas
Questão presente nas seguintes provas
Diariamente, no processo de garantia da qualidade de resultados de uma agência transfusional (AT), é importante verificar a integridade do processo de tipagem sanguínea ABO, RhD e PAI. Isso é feito através da realização de:
Provas
Questão presente nas seguintes provas
O equipamento utilizado para transmitir informações sobre a programação e o nome da emissora, através da emissão de radiofrequência, junto ao sinal de áudio é chamado de:
Provas
Questão presente nas seguintes provas
Marque a alternativa que apresenta corretamente a classificação das Rinossinusites, segundo o European Position Paper on Rhinosinusitisand Nasal Polyps, de 2012.
Provas
Questão presente nas seguintes provas
Sobre o Programa Nacional de Suplementação de Ferro, assinale a opção INCORRETA.
Provas
Questão presente nas seguintes provas
Cadernos
Caderno Container