Foram encontradas 1.810 questões.
Deu entrada na emergência pediátrica uma criança de 1 ano de idade, desacordada após queda da cama. Ao exame pediátrico geral,
foram observadas equimoses em membros inferiores e superiores e sinais radiológicos de fratura antiga no braço esquerdo. O exame neurológico observou somente sinais de irritação meníngea e o exame de imagem identificou hemorragias subaracnoideas. O diagnóstico inicial é de agressão física. Assinale a alternativa que apresenta o diagnóstico esperado após a realização do exame fundoscópio.
Provas
Questão presente nas seguintes provas
Considerando a necessidade de preparar uma solução padrão para titulação, assinale, dentre as opções a seguir, a que contém o recipiente que deve ser utilizado.
Provas
Questão presente nas seguintes provas
Ao realizar a montagem de um determinado circuito elétrico, um aluno se deparou com a forma de onda mostrada na figura. Precisando inserir no seu relatório os valores da frequência e do período do sinal analisado, assinale a alternativa que corresponde aos valores apontados pelo aluno, respectivamente.

Provas
Questão presente nas seguintes provas
Considerando a coloração pelo método da Hematoxilina e Eosina, é correto afirmar que:
Provas
Questão presente nas seguintes provas
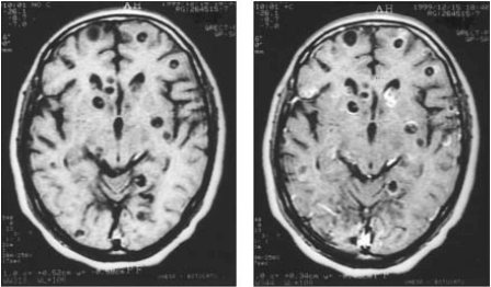
Um homem de 38 anos foi admitido na emergência com 3 episódios de crises convulsivas nos últimos 4 dias. Ao ser examinado, ele não
apresentava déficits focais ou rigidez de nuca. O paciente nega hipertensão, Diabetes Mellitus e alergias. A Ressonância Nuclear Magnética de crânio com e sem contraste evidenciou as imagens a seguir.

Assinale a alternativa que apresenta o diagnóstico provável.
Provas
Questão presente nas seguintes provas
Uma criança de 3 anos de idade, previamente hígida, chega à Emergência com queixa de dor abdominal e um episódio de hematêmese. A história revela estado febril há 72 horas, com diagnóstico provável de infecção de vias aéreas superiores. Foi recomendado tratamento antitérmico com ibuprofeno de 4 em 4 horas e houve interrupção do estado febril na primeira dose, permanecendo o uso do medicamento por 48 horas. Ao exame físico, ela apresenta palidez +/4, pulmões e coração normais. O abdomên é flácido, com dor moderada à palpação profunda difusamente, e ausência de visceromegalias. Os exames laboratoriais revelaram hemograma normal, plaquetas e coagulograma normais; VHS e PCR normais; A Endoscopia Digestiva Alta evidenciou úlcera gástrica única na incisura. De acordo com os dados expostos, o diagnóstico mais provável é:
Provas
Questão presente nas seguintes provas
Quantos aos efeitos dos agentes utilizados no bloqueio neuroaxial, é correto afirmar que:
Provas
Questão presente nas seguintes provas
A doença que se caracteriza pela alteração do metabolismo do cobre que se deposita na membrana de Descemet da córnea denomina-se:
Provas
Questão presente nas seguintes provas
Um paciente de 36 anos apresenta insuficiência mitral importante e está em classe funcional III, devido à degeneração mixomatosa. Na ecocardiografia, detectou-se ruptura de cordoalha tendínea, no terço médio do folheto posterior (P2). Assinale a alternativa que apresenta a melhor técnica cirúrgica para este caso.
Provas
Questão presente nas seguintes provas
Um livro acadêmico normalmente apresenta, além do texto principal, outros diferentes elementos informativos, como títulos, subtítulos, citações, notas de rodapé, legendas etc. Considerando que o texto principal foi composto no corpo 11 pontos tipográficos (pt), a entrelinha em 15 pt e que antes e depois dos subtítulos – diagramados no corpo 12 pt e entrelinha de 15 pt – deverão ser empregados espaços em branco assimétricos para separá-los dos parágrafos anterior e posterior, assinale a opção que indica quais valores, aplicados respectivamente acima e abaixo, farão o texto principal voltar ao grid vertical da página.
Provas
Questão presente nas seguintes provas
Cadernos
Caderno Container