Foram encontradas 1.099 questões.
Em uma aula prática, de laboratório de eletricidade básica, os alunos devem calcular os valores das correntes e montar o circuito abaixo. Depois devem comparar os valores teóricos com os medidos experimentalmente.
Sendo: VF = 18,20 V; R1 = Amarelo Violeta Marrom Ouro; R2 = Vermelho Violeta Vermelho Ouro; R3 = Marrom Verde
Vermelho Ouro; R4 = Marrom Vermelho Vermelho Ouro.
Vermelho Ouro; R4 = Marrom Vermelho Vermelho Ouro.
Para o circuito utilizado na aula (acima apresentado), os valores de I2 e RAB (Resistência equivalente do circuito) são respectivamente:
Provas
Questão presente nas seguintes provas
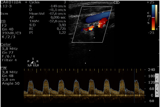
A imagem abaixo refere-se a Doppler de carótida interna

Considerando o Consenso da Sociedade de Radiologia (Society of Radiologist in Ultrasound Consensus Conference - Grant et al., 2003) o diagnóstico mais provável é de
Provas
Questão presente nas seguintes provas
O maior número de agravos a saúde do trabalhador notificados à Previdência Social, esta relacionado a:
Provas
Questão presente nas seguintes provas
O mestre de edificações e infraestrutura tem como uma das atribuições básicas a organização e supervisão das atividades dos trabalhadores sob sua responsabilidade, primando pelo atendimento aos prazos, custos, qualidade, objetivos e motivação da equipe. Assim, qual das práticas abaixo não contribui para uma liderança eficiente na condução dos trabalhos:
Provas
Questão presente nas seguintes provas
Qual alternativa apresenta apenas equipamentos de proteção coletiva (EPC)?
Provas
Questão presente nas seguintes provas
Segundo Gesser (2009), duas visões teóricas norteiam as discussões e posicionamentos políticos, educacionais e sociais sobre a língua de sinais, os surdos e a surdez. Marque a alternativa correta que apresenta as expressões que nomeiam ou identificam essas visões.
Provas
Questão presente nas seguintes provas
Considerando-se que no circuito da Figura 04 o amplificador operacional e o diodo são ideias e que é aplicada uma tensão de entrada dada pela expressão ve = 10 sen(wt) a tensão de saída vs é:

Provas
Questão presente nas seguintes provas
Sobre o tratamento num quadro de TCE (traumatismo crânio encefálico), está correto afirmar que:
Provas
Questão presente nas seguintes provas
Sobre o sistema Rh, entende-se por apresentar um alto polimorfismo genético , levando a modificações dos antígenos correntes. Por antígeno D parcial, podemos afirmar:
Provas
Questão presente nas seguintes provas
A Prefeitura Universitária da UFCG ficou responsável pela concretagem de um piso industrial que exige desforma rápida e uma resistência elevada já nos primeiros dias. Sendo assim, qual o tipo de cimento portland abaixo apresentado é o indicado para o uso:
Provas
Questão presente nas seguintes provas
Cadernos
Caderno Container