Foram encontradas 480 questões.
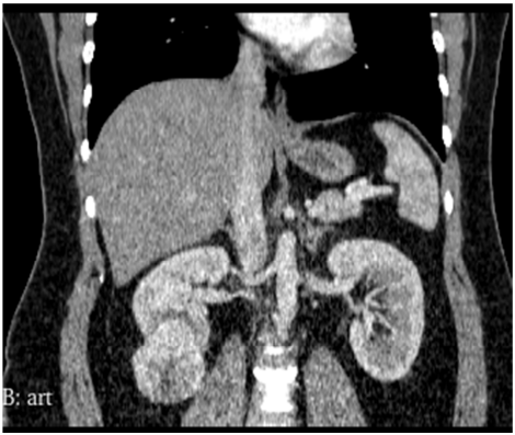
Homem de 56 anos de idade, hipertenso, diabético realizou tomografia de abdome, que demonstrou uma massa renal sólida, incidental, hipervascular, com 5,3 cm de diâmetro, no polo inferior do rim direito, distando 0,5 cm da via excretora. Qual a conduta mais adequada?

Provas
Na cirurgia estética nasal os spreaders grafts (enxertos alargadores) podem ser utilizados nos seguintes casos, EXCETO:
Provas
Paciente do sexo feminino, 48 anos, tabagista, apresenta rouquidão importante há alguns meses. Diante desta videolaringoscopia, qual o diagnóstico?

Provas
Paciente com 35 anos apresenta perda de audição progressiva associada a zumbidos. Otoscopia dentro da normalidade e audiometria conforme figura a seguir:

Qual o mais provável diagnóstico?
Provas
Paciente do sexo masculino, 22 anos, há 30 dias apresenta aumento de volume progressivo e doloroso em região retroauricular à direita e região cervical também à direita, acompanhado de otalgia e mal-estar. Ao exame físico, apresenta torcicolo. Tomografia cervical com contraste de pescoço e mastoides revelou espessamento em ouvido médio e mastoide, além de extensa coleção na região cervical. Respectivamente, qual a principal hipótese diagnóstica e o tratamento de escolha?
Provas
Sobre a anatomia nasossinusal, assinale a afirmativa INCORRETA.
Provas
É um diagnóstico diferencial da osteomielite aguda:
Provas
No exame físico de uma tenossinovite do manguito rotador do ombro, entre os vários músculos a serem examinados, destacam-se os seguintes:
Provas
A síndrome do túnel do carpo representa uma compressão distal de qual nervo periférico?
Provas
Paciente de 75 anos sofreu queda com a mão espalmada ao chão, apresentando a região do antebraço distal com dor, edema, limitação funcional e desvio em formato de “dorso de garfo”. O diagnóstico mais provável é
Provas
Caderno Container