Foram encontradas 428 questões.
Os coeficientes de mortalidade auxiliam as vigilâncias epidemiológicas, juntamente com municípios, estados e Ministério da Saúde, a adotarem medidas para melhorar a qualidade de serviços e para articular uma ação nacional. Considerando-se os coeficientes de mortalidade, é correto afirmar que
Provas
Em dezembro de 2022, o governo federal aprovou a Lei n.º 14.510/2022, que autoriza e estabelece regras para a prática de atendimentos de saúde a distância, revogando a Lei n.º 13.989/2020, criada durante a pandemia de covid-19. Em relação à Lei n.º14.510/2022 e ao atendimento via telessaúde, assinale a alternativa correta.
Provas
Ana, uma mulher de 35 anos de idade, casada, possui uma filha de 7 anos de idade, a qual foi amamentada exclusivamente até os 6 meses de idade. Essa mãe comparece à consulta de rotina anual na UBS. Após a consulta, a médica solicita exames visando à prevenção de agravos de saúde e aos rastreamentos, segundo é preconizado pelo Ministério de Saúde para a idade de Ana. Após as explicações dos exames pedidos, a médica nota que a paciente se encontra apreensiva e preocupada e pergunta se ela tem alguma dúvida em relação às explicações dadas. Ana, então, relata que está preocupada, pois a médica não pediu mamografia e gostaria de fazer esse exame, pois sua vizinha faleceu de câncer de mama recentemente e Ana relata ter muito medo de não descobrir uma doença como essa precocemente.
Nesse caso hipotético, após ouvir o pedido e a preocupação de sua paciente, considerando a medicina centrada na pessoa, os fundamentos conceituais de testes diagnósticos e as recomendações do Ministério da Saúde e do Instituto Nacional do Câncer em relação ao rastreamento de neoplasia mamária, a médica deve
Provas
Prevenção combinada, segundo o Ministério da Saúde (MS), é uma estratégia de prevenção que faz uso de combinado de intervenções biomédicas, comportamentais e estruturais aplicadas no nível dos indivíduos, de suas relações e dos grupos sociais a que pertencem, mediante ações que levem em consideração suas necessidades e especificidades e as formas de transmissão. A prevenção combinada é preconizada pelo Programa Conjunto das Nações Unidas sobre HIV/Aids (Unaids), desde 2010, e incorporada no Brasil desde 2013. A atenção primária à saúde (APS) tem papel fundamental tanto na garantia de acesso de usuários às tecnologias de prevenção quanto na oferta qualificada dessas tecnologias. Considerando-se esse conceito, pode-se dizer que as ações de prevenção combinada que podem ser realizadas pelas equipes multidisciplinares na APS incluem
Provas
Um paciente aparece na unidade básica de saúde em sua consulta agendada. Durante a consulta, mostra-se angustiado e relata que foi diversas vezes ao pronto-socorro e que ninguém resolve seu problema. Mostra manchas em sua pele e diz que já “passou de tudo” e nada melhora sua condição. Diz que está há 1 ano nessa luta. Ao examinar as lesões, nota-se três máculas hipocrômicas, mal delimitadas, localizadas no tronco e na nádega direita. Ao realizar o teste de sensibilidade, nota-se hipoestesia nas lesões. Na palpação dos nervos periféricos, não há qualquer espessamento neural. Nesse caso hipotético, com base nas recomendações atuais do Ministério da Saúde, assinale a alternativa correta.
Provas
Uma mulher com 62 anos de idade comparece à unidade básica de saúde, pois tem apresentado piora de um quadro de dispneia ao se esforçar. Relata acompanhar estas comorbidades com especialistas: um quadro de insuficiência cardíaca de fração de ejeção reduzida, hipertensão e diabetes melito tipo II. Apesar do uso de diversas medicações, seus exames recentes apontam que sua hemoglobina glicosilada está 8,2%. Nesse caso hipotético, considerando a prevenção quaternária e os efeitos deletérios da polifarmácia, assinale a alternativa que apresenta a medicação que deve ser suspensa.
Provas
A osteoporose é uma doença esquelética sistêmica e silenciosa. É considerada uma doença osteometabólica caracterizada por resistência óssea comprometida, predispondo a um risco aumentado de fratura. A resistência óssea é uma função tanto de quantidade óssea, estimada pela medição da densidade mineral óssea, quanto de qualidade óssea, conjunto de propriedades que inclui microarquitetura óssea, taxa de remodelação, grau de mineralização e normalidade da matriz osteoide. Em relação à osteoporose na menopausa, assinale a alternativa correta.
Provas
De acordo com o Global Initiative For Asthma de 2022 (GINA 2022), assinale a alternativa incorreta.
Provas
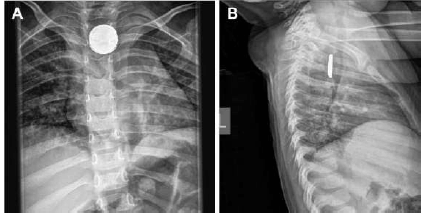
Paciente de 2 anos de idade é levada pela mãe ao hospital com relato de aumento de salivação subitamente, não conseguindo deglutir. A mãe relata que quadro iniciou há, aproximadamente, 1 hora após deixar a paciente sozinha na sala por alguns minutos, afirmando que antes a paciente estava bem. Foi realizada uma radiografia de tórax, obtendo-se a seguinte imagem.

Com base nesse caso clínico, assinale a alternativa que apresenta o corpo estranho ingerido pela paciente e a conduta a ser adotada nessa situação.
Provas
Foi levado para o hospital um recém-nascido, do sexo masculino, com 39 semanas de vida, AIG, assintomático, filho de mãe com tuberculose, diagnosticada no início do terceiro trimestre, em tratamento regular. Exames maternos dos últimos 15 dias revelaram o seguinte: pesquisa BAAR no escarro negativo e radiografia de tórax sem alterações. Com base nesse caso hipotético, assinale a alternativa correta, com relação à conduta recomendada para o paciente em questão.
Provas
Caderno Container