Foram encontradas 4.100 questões.
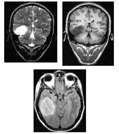
Uma mulher de 36 anos de idade foi encaminhada ao ambulatório de neurologia por dificuldade no controle das crises epilépticas. Ela referiu ter tido uma convulsão febril aos 36 meses e ter passado a ter crises em que ficava “fora do ar” aos 11 anos. Ela recebeu o diagnóstico de epilepsia generalizada do tipo ausência e foi-lhe prescrito fenobarbital. Desde então, já fez uso de primidona, ácido valpróico e diazepam, em monoterapia e associados ao fenobarbital, sem sucesso. No exame, a paciente apresentava um comprometimento da memória recente e aparentava ter um sutil deficit dos campos visuais e Babinski à esquerda. Apesar de trazer um EEG normal, foi solicitada RNM de encéfalo, que é reproduzida abaixo.

Com referência a esse quadro clínico, julgue os itens seguintes.
Provas
Uma mulher de 36 anos de idade foi encaminhada ao ambulatório de neurologia por dificuldade no controle das crises epilépticas. Ela referiu ter tido uma convulsão febril aos 36 meses e ter passado a ter crises em que ficava “fora do ar” aos 11 anos. Ela recebeu o diagnóstico de epilepsia generalizada do tipo ausência e foi-lhe prescrito fenobarbital. Desde então, já fez uso de primidona, ácido valpróico e diazepam, em monoterapia e associados ao fenobarbital, sem sucesso. No exame, a paciente apresentava um comprometimento da memória recente e aparentava ter um sutil deficit dos campos visuais e Babinski à esquerda. Apesar de trazer um EEG normal, foi solicitada RNM de encéfalo, que é reproduzida abaixo.

Com referência a esse quadro clínico, julgue os itens seguintes.
Provas
Provas
Provas
Provas
Um senhor de 70 anos de idade, diabético, deslipidêmico e com coronariopatia, foi à consulta médica por ter apresentado súbito escurecimento visual, alterações da fala e da sensibilidade, há 10 dias. No exame, possuía linguagem espontânea e abundante, com parafasias fonêmicas e verbais quando solicitado a denominar figuras e objetos; havia presença de hemianopsia homônima lateral direita e hemianestesia com predomínio braquiofacial. O paciente não respondia adequadamente a ordens simples e era incapaz de executar ordens complexas orais e escritas.
Acerca desse quadro clínico, julgue os itens subsequentes.
Provas
Um senhor de 70 anos de idade, diabético, deslipidêmico e com coronariopatia, foi à consulta médica por ter apresentado súbito escurecimento visual, alterações da fala e da sensibilidade, há 10 dias. No exame, possuía linguagem espontânea e abundante, com parafasias fonêmicas e verbais quando solicitado a denominar figuras e objetos; havia presença de hemianopsia homônima lateral direita e hemianestesia com predomínio braquiofacial. O paciente não respondia adequadamente a ordens simples e era incapaz de executar ordens complexas orais e escritas.
Acerca desse quadro clínico, julgue os itens subsequentes.
Provas
Um senhor de 70 anos de idade, diabético, deslipidêmico e com coronariopatia, foi à consulta médica por ter apresentado súbito escurecimento visual, alterações da fala e da sensibilidade, há 10 dias. No exame, possuía linguagem espontânea e abundante, com parafasias fonêmicas e verbais quando solicitado a denominar figuras e objetos; havia presença de hemianopsia homônima lateral direita e hemianestesia com predomínio braquiofacial. O paciente não respondia adequadamente a ordens simples e era incapaz de executar ordens complexas orais e escritas.
Acerca desse quadro clínico, julgue os itens subsequentes.
Provas
Um senhor de 70 anos de idade, diabético, deslipidêmico e com coronariopatia, foi à consulta médica por ter apresentado súbito escurecimento visual, alterações da fala e da sensibilidade, há 10 dias. No exame, possuía linguagem espontânea e abundante, com parafasias fonêmicas e verbais quando solicitado a denominar figuras e objetos; havia presença de hemianopsia homônima lateral direita e hemianestesia com predomínio braquiofacial. O paciente não respondia adequadamente a ordens simples e era incapaz de executar ordens complexas orais e escritas.
Acerca desse quadro clínico, julgue os itens subsequentes.
Provas
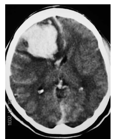
Uma mulher de 29 anos de idade teve sua gestação interrompida com 35 semanas, mediante parto cesariano, por ter apresentado quadro compatível com a doença hipertensiva específica da gravidez. No quinto dia de pós-operatório, apresentou importante dor de cabeça seguida de crises convulsivas; na avaliação laboratorial, foram atestadas plaquetopenia e alteração da função hepática. Ela foi levada à unidade de terapia intensiva, onde o plantonista observou hemiparesia esquerda e solicitou uma tomografia de crânio sem contraste, que é reproduzida abaixo.

Com base nessas informações, julgue os itens que se seguem.
Provas
Caderno Container