Foram encontradas 120 questões.
Uma jovem de 28 anos de idade começou a sentir, de forma insidiosa, dificuldade para andar e para movimentar o membro superior esquerdo, associada a sensação de dormência nos membros inferiores e dificuldade para urinar. Os sintomas haviam-se iniciado há três dias e continuavam piorando. Ela negou vacinas e infecções prévias.
Considerando esse quadro clínico, julgue os itens que se seguem.
Provas
Uma jovem de 28 anos de idade começou a sentir, de forma insidiosa, dificuldade para andar e para movimentar o membro superior esquerdo, associada a sensação de dormência nos membros inferiores e dificuldade para urinar. Os sintomas haviam-se iniciado há três dias e continuavam piorando. Ela negou vacinas e infecções prévias.
Considerando esse quadro clínico, julgue os itens que se seguem.
Provas
Uma jovem de 28 anos de idade começou a sentir, de forma insidiosa, dificuldade para andar e para movimentar o membro superior esquerdo, associada a sensação de dormência nos membros inferiores e dificuldade para urinar. Os sintomas haviam-se iniciado há três dias e continuavam piorando. Ela negou vacinas e infecções prévias.
Considerando esse quadro clínico, julgue os itens que se seguem.
Provas
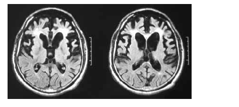
Uma mulher de 55 anos de idade, sem comorbidades, há três anos começou a apresentar distúrbio do comportamento, comprometimento do senso moral, da autocrítica, do poder de abstração e da memória. No exame, ela pouco colaborava com o examinador, possuía uma rigidez axial e apendicular, além de sutil tremor em repouso. O exame de imagem (RNM) a seguir foi realizado para auxiliar o diagnóstico.

Com base nesse quadro clínico, julgue os itens subsequentes.
Provas
Uma mulher de 55 anos de idade, sem comorbidades, há três anos começou a apresentar distúrbio do comportamento, comprometimento do senso moral, da autocrítica, do poder de abstração e da memória. No exame, ela pouco colaborava com o examinador, possuía uma rigidez axial e apendicular, além de sutil tremor em repouso. O exame de imagem (RNM) a seguir foi realizado para auxiliar o diagnóstico.

Com base nesse quadro clínico, julgue os itens subsequentes.
Provas
Uma mulher de 55 anos de idade, sem comorbidades, há três anos começou a apresentar distúrbio do comportamento, comprometimento do senso moral, da autocrítica, do poder de abstração e da memória. No exame, ela pouco colaborava com o examinador, possuía uma rigidez axial e apendicular, além de sutil tremor em repouso. O exame de imagem (RNM) a seguir foi realizado para auxiliar o diagnóstico.

Com base nesse quadro clínico, julgue os itens subsequentes.
Provas
Uma mulher de 55 anos de idade, sem comorbidades, há três anos começou a apresentar distúrbio do comportamento, comprometimento do senso moral, da autocrítica, do poder de abstração e da memória. No exame, ela pouco colaborava com o examinador, possuía uma rigidez axial e apendicular, além de sutil tremor em repouso. O exame de imagem (RNM) a seguir foi realizado para auxiliar o diagnóstico.

Com base nesse quadro clínico, julgue os itens subsequentes.
Provas
Um homem de 37 anos de idade, foi internado após ter apresentado crise convulsiva. Seu irmão informou que era o terceiro e mais prolongado episódio das últimas duas semanas. Há 45 dias, vinha apresentando febre vespertina, cefaleia, anorexia e astenia. Ainda no setor de admissão, apresentou nova convulsão, que foi seguida por outras, sem a recuperação da consciência, durante um período de 45 minutos. Ele foi levado à unidade de terapia intensiva do hospital e foi solicitado um parecer à neurologia.
Com base nessas informações, julgue os próximos itens.
Provas
Um homem de 37 anos de idade, foi internado após ter apresentado crise convulsiva. Seu irmão informou que era o terceiro e mais prolongado episódio das últimas duas semanas. Há 45 dias, vinha apresentando febre vespertina, cefaleia, anorexia e astenia. Ainda no setor de admissão, apresentou nova convulsão, que foi seguida por outras, sem a recuperação da consciência, durante um período de 45 minutos. Ele foi levado à unidade de terapia intensiva do hospital e foi solicitado um parecer à neurologia.
Com base nessas informações, julgue os próximos itens.
Provas
Um homem de 37 anos de idade, foi internado após ter apresentado crise convulsiva. Seu irmão informou que era o terceiro e mais prolongado episódio das últimas duas semanas. Há 45 dias, vinha apresentando febre vespertina, cefaleia, anorexia e astenia. Ainda no setor de admissão, apresentou nova convulsão, que foi seguida por outras, sem a recuperação da consciência, durante um período de 45 minutos. Ele foi levado à unidade de terapia intensiva do hospital e foi solicitado um parecer à neurologia.
Com base nessas informações, julgue os próximos itens.
Provas
Caderno Container