Foram encontradas 3.650 questões.
Paciente do sexo masculino, 60 anos, portador de fibrilação atrial permanente, escore CHA2DS2-VASc = 3 e HAS-BLED = 1, é internado devido a infarto agudo do miocárdio com supradesnivelamento de segmento ST em parede anterior. Foi realizado cateterismo cardíaco com angioplastia primária com stent farmacológico em bifurcação da artéria descendente anterior envolvendo o primeiro ramo diagonal, com técnica de duplo stent. Paciente com função renal dentro da normalidade. Assinale a alternativa que apresenta o esquema antitrombótico mais adequado para esse paciente.
Provas
Um homem de 76 anos, diabético, hipertenso e portador de marca-passo cardíaco devido a bloqueio atrioventricular total, compareceu na consulta de retorno para avaliação do dispositivo. A telemetria identificou episódios de alta frequência atrial (AHRE) com duração máxima de 9 horas em um único dia, sem sintomas associados. Não houve documentação eletrocardiográfica em superfície. Qual deve ser a conduta adequada nesse caso?
Provas
Paciente, 59 anos, sexo feminino, diabética e ex-tabagista, procurou atendimento médico devido à dor torácica típica aos esforços. Possui eletrocardiograma sem alterações isquêmicas, ecocardiograma com fração de ejeção de 58% sem alterações segmentares, cintilografia com isquemia moderada e troponinas negativas. Realizou angiotomografia de coronárias que evidenciou ausência de lesões obstrutivas. Foi submetida à cineangiocoronariografia com avaliação de fluxo, que evidenciou artérias epicárdicas sem obstruções significativas, CRF = 1,8 e ausência de espasmo epicárdico induzido por acetilcolina. Assinale a alternativa que apresenta o diagnóstico mais provável e a melhor conduta nesse caso.
Provas
Os médicos especialistas, que compõem a Comissão Nacional de Incorporação de Tecnologias no Sistema Único de Saúde (Conitec), são indicados pelos seguintes órgãos:
Provas
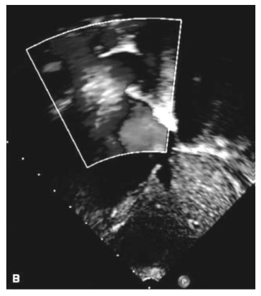
Paciente de 2 anos é levado para avaliação cardiológica após realização de ecocardiograma por sopro cardíaco. Os pais negam sintomas na criança. A respeito da patologia ilustrada no resultado do exame, assinale a alternativa correta.

Provas
Provas
Provas
A classificação Paris-Japonesa se destaca na padronização das lesões superficiais precoces descritas por endoscopistas no mundo todo. Quanto a essa classificação, assinale a alternativa INCORRETA.
Provas
Segundo a Lei nº 8.666/1993, que regulamenta o art. 37, inciso XXI, da Constituição Federal e institui normas para licitações e contratos da Administração Pública e dá outras providências, a modalidade de licitação entre quaisquer interessados que, na fase inicial de habilitação preliminar, comprovem possuir os requisitos mínimos de qualificação exigidos no edital para execução de seu objeto é denominada
Provas
Durante uma reunião na SES/SC, o técnico em atividades administrativas recebeu a tarefa de redigir uma correspondência oficial dirigida ao Secretário de Estado da Administração, autoridade pertencente ao Poder Executivo Estadual. De acordo com o Manual de Padronização e Redação dos Atos Oficiais do Estado de Santa Catarina (Decreto nº 1.070/2020), assinale a alternativa que apresenta o pronome correto que o técnico deve utilizar nesse caso.
Provas
Caderno Container