Magna Concursos

Foram encontradas 361 questões.

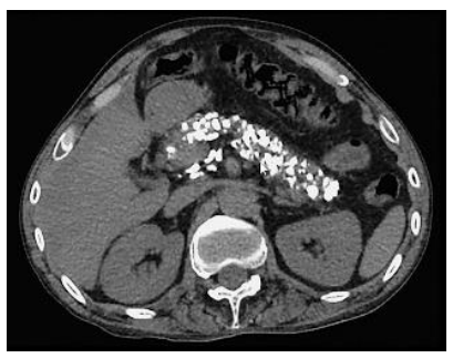
3622303 Ano: 2025
Disciplina: Medicina
Banca: UPENET/IAUPE
Orgão: SES-PE
Homem, 45 anos, etilista por 10 anos. Na investigação de uma dor abdominal, realizou a TC abaixo.
Qual sintoma NÃO é esperado nessa situação?

Enunciado 4244936-1
 

Provas

Questão presente nas seguintes provas
3622302 Ano: 2025
Disciplina: Medicina
Banca: UPENET/IAUPE
Orgão: SES-PE
Qual dos tumores pancreáticos abaixo é melhor tratado, quando possível, com cirurgias de enucleação?
 

Provas

Questão presente nas seguintes provas
3622301 Ano: 2025
Disciplina: Medicina
Banca: UPENET/IAUPE
Orgão: SES-PE
Homem 24 anos. Vítima de acidente motociclístico há 1 h (veículo elétrico+ sem capacete). Admitido na emergência com Glasgow de 9 e tríade de Cushing. Apresentava hemotímpano E., paralisia facial E. e sinal de Battle + otoliquorreia D.
Qual dos sinais clínicos apresentados NÃO é característico de fratura de base craniana?
 

Provas

Questão presente nas seguintes provas
3622300 Ano: 2025
Disciplina: Medicina
Banca: UPENET/IAUPE
Orgão: SES-PE
Mulher 44 anos. Procurou o proctologista. Dor + secreção anal há 2 meses. No exame físico (realizado em posição de litotomia), identifica-se orifício fistuloso posterior à linha médio-anal com saída de secreção purulenta.
Podemos concluir que se trata de
 

Provas

Questão presente nas seguintes provas
3622299 Ano: 2025
Disciplina: Medicina
Banca: UPENET/IAUPE
Orgão: SES-PE
Homem 55 anos. Portador de esteatose hepática moderada, realizou USG de acompanhamento que evidenciou lesão polipoide em vesícula biliar de 0,6 cm + ausência de cálculos. O hepatologista encaminhou para o cirurgião.
Qual a conduta adequada a ser tomada?
 

Provas

Questão presente nas seguintes provas
3622298 Ano: 2025
Disciplina: Medicina
Banca: UPENET/IAUPE
Orgão: SES-PE
Um homem de 33 anos, tabagista de longa data, procura atendimento por queimação no peito que ocorre, principalmente, após refeições e ao se deitar. Ele não apresenta dor ao engolir, perda de peso ou vômitos.
Com base nesse quadro, qual é a melhor abordagem inicial?
 

Provas

Questão presente nas seguintes provas
3622297 Ano: 2025
Disciplina: Medicina
Banca: UPENET/IAUPE
Orgão: SES-PE
Sobre a Doença Pulmonar Obstrutiva Crônica, está INCORRETO afirmar que
 

Provas

Questão presente nas seguintes provas
3622296 Ano: 2025
Disciplina: Medicina
Banca: UPENET/IAUPE
Orgão: SES-PE
Sobre as causas de hiponatremia, está INCORRETO afirmar que
 

Provas

Questão presente nas seguintes provas
3622295 Ano: 2025
Disciplina: Medicina
Banca: UPENET/IAUPE
Orgão: SES-PE
Sobre o diagnóstico diferencial da meningite, está INCORRETO afirmar que
 

Provas

Questão presente nas seguintes provas
3622294 Ano: 2025
Disciplina: Medicina
Banca: UPENET/IAUPE
Orgão: SES-PE
Sobre a terapia medicamentosa na doença arterial coronariana, está INCORRETO afirmar que
 

Provas

Questão presente nas seguintes provas