Magna Concursos

Foram encontradas 361 questões.

3622323 Ano: 2025
Disciplina: Medicina
Banca: UPENET/IAUPE
Orgão: SES-PE
Gestante, primigesta, na 12ª semana de gravidez, vem trazendo laudo ultrassonográfico realizado na 6ª semana de gravidez, concluindo como sendo uma gestação gemelar dicoriônica diamniótica.
Assinale a alternativa que melhor descreve o laudo ultrassonográfico que definiu essa corionicidade e amnionicidade.
 

Provas

Questão presente nas seguintes provas
3622322 Ano: 2025
Disciplina: Medicina
Banca: UPENET/IAUPE
Orgão: SES-PE
Assinale a alternativa CORRETA que representa um critério diagnóstico da gastrosquise.
 

Provas

Questão presente nas seguintes provas
3622321 Ano: 2025
Disciplina: Medicina
Banca: UPENET/IAUPE
Orgão: SES-PE
Estimar a perda sanguínea após o parto ajuda na classificação da gravidade da hemorragia pós-parto. A estimativa visual dessa perda sanguínea é simples e rápida, porém subjetiva.
Assinale a alternativa que representa a estimativa aproximada de perda sanguínea visual quando aproximadamente 50% de uma compressa encontra-se ensopada de sangue.
 

Provas

Questão presente nas seguintes provas
3622320 Ano: 2025
Disciplina: Medicina
Banca: UPENET/IAUPE
Orgão: SES-PE
Paciente 18 anos, primigesta, veio para consulta ginecológica referindo atraso menstrual, náuseas e vômitos. Não sabe se está grávida. Ao exame, observa-se aumento do volume mamário e auréolas secundárias. À palpação abdominal, percebe-se útero acima da borda superior da sínfise púbica (a meio caminho entre a sínfise e o umbigo) e batimentos cardiofetais de 156 bpm pelo sonarDoppler.
Assinale a alternativa CORRETA que sugere a idade gestacional provável, baseada no exame clínico.
 

Provas

Questão presente nas seguintes provas
3622319 Ano: 2025
Disciplina: Medicina
Banca: UPENET/IAUPE
Orgão: SES-PE
Gestante 20 anos, primigesta, veio para consulta pré-natal, no dia 16 de março de 2025, assintomática, porém deseja saber a idade gestacional (IG) correta, pois, em cada consulta, um médico lhe informa uma idade gestacional diferente. Refere ainda que tinha ciclos regulares e sabia o momento da sua ovulação em todos os meses. Abaixo seguem os dados informados pela paciente e as ultrassonografias anteriores com suas idades gestacionais na época do exame:

Primeiro dia da última menstruação: 04 de agosto de 2024
Último dia da última menstruação: 09 de agosto de 2024
Data da última ovulação: 18 de agosto de 2024
Data da 1ª ultrassonografia: 23 de agosto de 2024 (IG: 4 semanas)
Data da 2ª ultrassonografia: 10 de outubro de 2024 (IG: 11 semanas)

Diante desses dados, qual a idade gestacional de acompanhamento da gravidez mais adequada, no dia da consulta de pré-natal?
 

Provas

Questão presente nas seguintes provas
3622318 Ano: 2025
Disciplina: Medicina
Banca: UPENET/IAUPE
Orgão: SES-PE
Qual das situações de trauma abaixo é diagnosticada com acurácia através do FAST?
 

Provas

Questão presente nas seguintes provas
3622317 Ano: 2025
Disciplina: Medicina
Banca: UPENET/IAUPE
Orgão: SES-PE
Homem 23 anos. Vítima de espancamento. Admitido numa unidade básica com insuficiência respiratória por fratura de mandíbula bilateral e hematoma. Médico do SPA realizou uma cricotiroidostomia por punção e encaminhou ao centro de trauma mais próximo.
Segundo o ATLS, por quanto tempo podemos ventilar o paciente através desse método?
 

Provas

Questão presente nas seguintes provas
3622316 Ano: 2025
Disciplina: Medicina
Banca: UPENET/IAUPE
Orgão: SES-PE
Mulher 70 anos. Admitida na emergência com quadro de obstrução intestinal. Após realizar uma TC de abdome sem contraste, foi sugerido um diagnóstico de íleo biliar.
Qual dos achados tomográficos abaixo é compatível com essa situação cirúrgica?
 

Provas

Questão presente nas seguintes provas
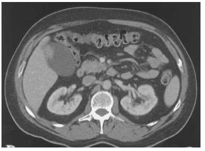
3622315 Ano: 2025
Disciplina: Medicina
Banca: UPENET/IAUPE
Orgão: SES-PE
Mulher 57 anos. Assintomática do ponto digestivo. Realizou TC do abdome sem contraste para avaliação de cólica nefrética e suspeita de ureterolitíiase.
Após avaliação da imagem abaixo, você indicaria qual procedimento cirúrgico?

Enunciado 4244948-1
 

Provas

Questão presente nas seguintes provas
3622314 Ano: 2025
Disciplina: Medicina
Banca: UPENET/IAUPE
Orgão: SES-PE
Na visão laparoscópica da hernioplastia inguinal, qual triângulo está localizado entre o ducto deferente e os vasos espermáticos?
 

Provas

Questão presente nas seguintes provas