Magna Concursos

Foram encontradas 361 questões.

3622313 Ano: 2025
Disciplina: Medicina
Banca: UPENET/IAUPE
Orgão: SES-PE
Mulher, 33 anos, em uso de anticoncepcional oral há 12 anos. Realizou USG de abdome que identificou lesão compatível com adenoma hepático.
Qual subtipo tem maior risco para transformação maligna?
 

Provas

Questão presente nas seguintes provas
3622312 Ano: 2025
Disciplina: Medicina
Banca: UPENET/IAUPE
Orgão: SES-PE
Em relação à resposta contida na alternativa C, (questão 33), qual o marcador tumoral e o quimioterápico são usados para tratar esse senhor de 66 anos?
 

Provas

Questão presente nas seguintes provas
3622311 Ano: 2025
Disciplina: Medicina
Banca: UPENET/IAUPE
Orgão: SES-PE
Qual dos quadros clínicos abaixo exemplifica a 2ª causa mais comum de obstrução intestinal de delgado?
 

Provas

Questão presente nas seguintes provas
3622310 Ano: 2025
Disciplina: Medicina
Banca: UPENET/IAUPE
Orgão: SES-PE
Homem 88 anos, Alzheimer e acamado. Apresenta distensão abdominal, desconforto e vômitos. O Rx é sugestivo de Ogivie.
Qual condição abaixo é necessária para indicar o tratamento de descompressão colonoscópica?
 

Provas

Questão presente nas seguintes provas
3622309 Ano: 2025
Disciplina: Medicina
Banca: UPENET/IAUPE
Orgão: SES-PE
Ainda em relação à questão 30, podemos afirmar que a pressão de pulso é
 

Provas

Questão presente nas seguintes provas
3622308 Ano: 2025
Disciplina: Medicina
Banca: UPENET/IAUPE
Orgão: SES-PE
Em relação ao caso, (questão 29), o ATLS classifica o choque hemorrágico em 4 classes.
Em relação à classe II, acima citada, NÃO devemos encontrar
 

Provas

Questão presente nas seguintes provas
3622307 Ano: 2025
Disciplina: Medicina
Banca: UPENET/IAUPE
Orgão: SES-PE
Homem 61 anos, portador de cirrose hepática alcoólica. Apresentou hemorragia digestiva alta por varizes de esôfago com quadro de choque hemorrágico grau II. EDA não conseguiu parar o sangramento e contactou com o cirurgião.
Qual o tratamento adequado nessa situação?
 

Provas

Questão presente nas seguintes provas
3622306 Ano: 2025
Disciplina: Medicina
Banca: UPENET/IAUPE
Orgão: SES-PE
Ainda em relação à paciente da questão 26, esta não tolerou a dieta enteral e precisou iniciar NPT. Após uma semana, evoluiu com febre, calafrio e sinais flogísticos no sítio de punção. Qual o microorganismo que mais comumente causa essa infeção?
 

Provas

Questão presente nas seguintes provas
3622305 Ano: 2025
Disciplina: Medicina
Banca: UPENET/IAUPE
Orgão: SES-PE
Em relação ao caso acima, qual tratamento podemos indicar nessa situação?
 

Provas

Questão presente nas seguintes provas
3622304 Ano: 2025
Disciplina: Medicina
Banca: UPENET/IAUPE
Orgão: SES-PE
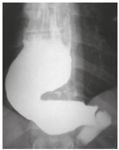
Mulher, 56 anos, portadora de megaesôfago grau IV (imagem abaixo). Admitida na enfermaria com desnutrição grave. Após instalação de sonda nasoenteral e dieta, passou a apresentar exames laboratoriais compatíveis com síndrome de realimentação.
Após realizar um ionograma, qual alteração foi identificada?

Enunciado 4244937-1
 

Provas

Questão presente nas seguintes provas