Foram encontradas 50 questões.
Paciente na 10ª semana e tercigesta (dois partos vaginais prematuros, na 24ª e 25ª semanas). Chega ao pré-natal assintomática, preocupada e refere que os partos anteriores foram indolores.
Sobre isso, assinale a alternativa CORRETA.
Provas
Paciente 35 anos, primigesta e na 39ª semana de gravidez, sendo acompanhada no pré-natal de alto risco. Durante a consulta foi observada as curvas de altura de fundo de útero pela idade gestacional e a de peso fetal estimado por meio da ultrassonografia pela idade gestacional abaixo. A dopplervelocimetria das artérias uterinas, umbilicais e cerebral média foi > 95º percentil, < 95º percentil e > 5º percentil, respectivamente.
Observe a imagem a seguir:


Assinale a alternativa CORRETA, conforme os critérios atuais para avaliação do crescimento fetal.
Provas
Paciente 20 anos, primigesta e na 8ª semana de gravidez. No momento assintomática e vem trazendo os exames de rotina com sorologia para toxoplasmose, IgM positivo e IgG positivo. Traz ainda os exames realizados na consulta pré-concepcional há 1 ano e 6 meses com sorologia para toxoplasmose, IgM negativo e IgG negativo.
Assinale a alternativa que indica a conduta mais adequada recomendada pelo Ministério da Saúde do Brasil.
Provas
Paciente 22 anos, secundigesta e na 28ª semana. Classificação sanguínea materna AB Rh positivo, classificação sanguínea paterna A Rh negativa e coombs indireto positivo.
Assinale a alternativa que NÃO justifica essa possibilidade clínica.
Provas
Paciente 23 anos, tercigesta (dois abortamentos, precoces e espontâneos) e na 8ª semana de gravidez, refere dor tipo cólica em baixo ventre e sangramento genital em pequena intensidade. Ao exame: toque vaginal fechado com sangramento discreto em dedo de luva e útero aumentado de volume compatível com a gestação.
Assinale a alternativa que indica a conduta mais adequada.
Provas
Considerando os sinais clínicos da gravidez, correlacione a primeira coluna com a segunda.
Coluna 1
A. Sinal de Hartmann
B. Sinal de Holzapfel
C. Sinal de Goodel
D. Sinal de Halban
E. Sinal de MacDonald
Coluna 2
1. Útero pode ser fletido como dobradiça, pelo amolecimento do istmo.
2. Formação de lanugem e pelos na face.
3. Preensibilidade uterina aumentada devido à consistência cística e elástico- pastosa.
4. Amolecimento do colo uterino
5. Sangramento de implantação do blastocisto.
Assinale a alternativa que indica a correlação CORRETA.
Provas
Paciente 35 anos, na 39ª semana, tercigesta (uma cesariana anterior), chega na emergência obstétrica referindo perda de líquido há 1 hora de forma súbita de um líquido transparente, cheirando a água sanitária, escorrendo pelas pernas e se acumulando do chão. Negava outras queixas e refere desejo pelo parto vaginal. Ao exame clínico, temperatura axilar de 36,5ºC e frequência cardíaca materna de 78 bpm. Ao exame obstétrico: batimentos cardiofetais de 136bpm (sem desacelerações), dinâmica uterina ausente, toque vaginal com colo uterino amolecido e anterior com 1 cm de dilatação, 30% de esvaecimento cervical, bolsa rota com líquido amniótico claro com grumos e no plano -3 de De Lee.
Assinale a alternativa CORRETA referente à conduta inicial menos indicada na atualidade.
Provas
Paciente 28 anos, na 38ª semana, secundigesta e um aborto anterior, chega na emergência obstétrica referindo perda de líquido há 19 horas. Após anamnese detalhada do médico assistente, a paciente refere que a perda foi de um liquido que molhou a vulva e as pernas. Negava outras queixas. Ao exame clínico, temperatura axilar de 36,5ºC e frequência cardíaca materna de 88 bpm. Ao exame obstétrico: batimentos cardiofetais de 148bpm, dinâmica uterina ausente, toque vaginal não realizado no momento e ausente líquido amniótico pelo exame especular e à manobra de valsava.
Assinale a alternativa CORRETA referente ao exame de melhor acurácia para esclarecimento diagnóstico.
Provas
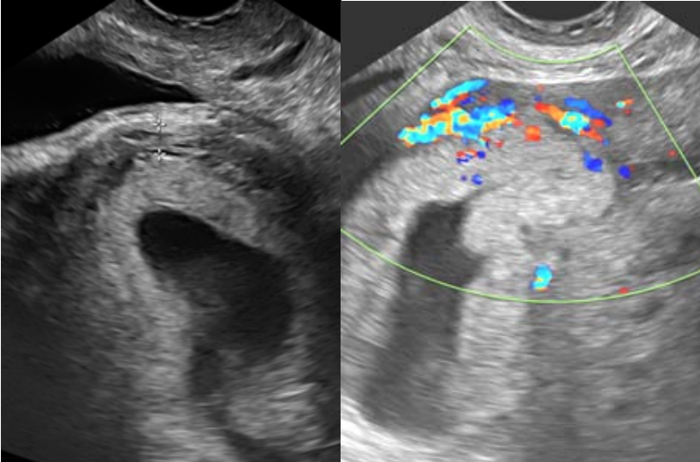
Paciente, 31 anos, tercigesta (duas cesarianas anteriores), na 7ª semana de gravidez com queixa de sangramento genital há 15 dias, com piora há 24 horas. Ao exame, encontrava-se com estado geral bom, hipocorada (+/4+), acianótica, consciente e orientada. Pressão arterial de 120 x 80 mmHg. Frequência cardíaca de 88 bpm. Abdome plano depressível e indolor, sem massas palpáveis e ausência de sinais de irritação peritoneal. Submetida a exame ultrassonográfico transvaginal, com a imagem abaixo revelando saco gestacional dentro de cavidade uterina, de contorno regular, em topografia de istmocele.

Assinale a alternativa a qual sugere a principal hipótese diagnóstica.
Provas
Gestante 38 anos de idade, primigesta e na 37ª semana de gravidez. Na emergência obstétrica, queixou-se de dor em baixo ventre. Ao exame, batimentos cardiofetais de 140 bpm, dinâmica uterina de 2 contrações / 10 minutos / 35 e 45 segundos. Ao toque vaginal, encontrava-se com 5 cm de dilatação, 80% de esvaecimento cervical, bolsa das águas íntegras e cefálico.
Observe o partograma abaixo:

Assinale a alternativa que menos apresenta relevância sobre o mecanismo do parto dessa paciente.
Provas
Caderno Container