Magna Concursos

Foram encontradas 50 questões.

3127175 Ano: 2023
Disciplina: Medicina
Banca: UPENET/IAUPE
Orgão: SES-PE

Gestante de 36 anos, na 34ª semana, primigesta e tabagista, veio à emergência, com queixa de dor em baixo e sangramento leve, de coloração escura. Ao exame, estado geral regular, dinâmica uterina de 1 contração em 10 minutos de 30 segundos e tônus algo aumentado. Batimentos cardiofetais de 110 bpm. Ao toque, colo uterino fechado e longo.

Assinale a alternativa CORRETA que representa o maior fator de risco para a principal hipótese diagnóstica.

 

Provas

Questão presente nas seguintes provas
3127173 Ano: 2023
Disciplina: Medicina
Banca: UPENET/IAUPE
Orgão: SES-PE

Paciente, 28 anos, primigesta, vem iniciar o pré-natal de alto risco, pois faz uso de insulina desde os 20 anos de idade.

Diante desse antecedente, qual das alternativas abaixo o pré-natalista NÃO precisa se preocupar?

 

Provas

Questão presente nas seguintes provas
3127172 Ano: 2023
Disciplina: Medicina
Banca: UPENET/IAUPE
Orgão: SES-PE

Gestante 22 anos, secundigesta (cesariana anterior de gemelar), na 32ª semana, monocoriônica e monoamniótica, chega à emergência, com queixa de dor em baixo ventre. Ao exame, dinâmica uterina de 2 contrações em 10 minutos de 45 segundos e batimentos cardiofetais de 136bpm e 148bpm. Ao toque, colo uterino pérvio com 3 cm de dilatação, 40% de esvaecimento cervical, primeiro feto cefálico, alto e móvel e bolsa amniótica íntegra.

Realizada ultrassonografia, a qual foi normal com ambos os fetos em apresentação cefálica.

 

Provas

Questão presente nas seguintes provas
3127171 Ano: 2023
Disciplina: Medicina
Banca: UPENET/IAUPE
Orgão: SES-PE

Gestante 30 anos, secundigesta (parto vaginal anterior), na 26ª semana de gravidez, vem para consulta pré-natal referindo gestação gemelar. Traz ultrassonografia morfológica do 1º trimestre normal descrevendo sinal do “T” e ultrassonografia morfológica de 2º trimestre com morfologia fetal normal de ambos os fetos, porém com diferença entre os pesos fetais estimados e apresentando o maior bolsão de líquido amniótico de um feto de 11 cm, com bexiga visualizada, e o outro, de 1,5 cm, com bexiga não visualizada. A dopplervelocimetria encontra-se dentro dos padrões de normalidade para idade gestacional.

Assinale a alternativa CORRETA que corresponde à classificação de Quintero.

 

Provas

Questão presente nas seguintes provas
3127170 Ano: 2023
Disciplina: Medicina
Banca: UPENET/IAUPE
Orgão: SES-PE

Puérpera de 25 anos, primípara, deu à luz por via vaginal a um recém-nascido pequeno para idade gestacional, com presença de pés tortos, tórax hipoplásico, abdome globoso e alterações faciais (hipertelorismo, nariz em “bico de papagaio” e implantação baixa das orelhas).

Assinale a alternativa que NÃO representa uma causa provável para essas alterações.

 

Provas

Questão presente nas seguintes provas

Paciente de 40 anos na 7ª semana de gravidez, chega a emergência referindo intenso mal-estar, náuseas e vômitos. Refere uso de ansiolíticos. Após questionamento do médico residente, referiu que, nas últimas 24 horas, ficou, em média, por 12 horas nauseada, apresentou três episódios de vômitos e que fica salivando/cuspindo o todo tempo. Ao exame, a paciente encontrava-se com estado geral regular, pressão arterial de 110 x 60 mmHg, frequência cardíaca de 77 bpm, ausculta cardíaca e pulmonar normal e leve dor à palpação profunda em epigástrio.

Assinale a alternativa CORRETA referente à gravidade do quadro de náusea e vômitos.

 

Provas

Questão presente nas seguintes provas
3127168 Ano: 2023
Disciplina: Medicina
Banca: UPENET/IAUPE
Orgão: SES-PE

A.S.S., 35 anos, tercigesta (dois partos vaginais pematuros), na 32ª semana de gravidez, procura a urgência obstétrica com dores em baixo ventre. Nega outras queixas. Ao exame físico: estado geral bom, dinâmica uterina (DU) de 1 contrações de 40 segundos em 10 minutos, altura de fundo uterino de 29 cm, batimentos cardiofetais (BCF) de 136 bpm e pressão arterial de 110 x 80 mmHg. Ao toque vaginal: colo uterino pérvio com 2 cm de dilatação e 30% de esvaecimento cervical, bolsa íntegra e feto em apresentação cefálica.

Assinale a alternativa CORRETA que representa a conduta adequada conforme a definição diagnóstica pela Organização Mundial da Saúde.

 

Provas

Questão presente nas seguintes provas
3127167 Ano: 2023
Disciplina: Medicina
Banca: UPENET/IAUPE
Orgão: SES-PE

Paciente 38 anos, 30ª semana e primigesta. Refere hipertensão arterial crônica e vem fazendo uso de 1,0 grama/dia de alfa-metildopa. Chega à emergência com queixa de dor em baixo ventre, cefaleia e fosfenos. Ao exame, estado geral bom, pressão arterial de 150 x 100 mmHg, batimentos cardiofetais de 146bpm e dinâmica uterina de 2 contrações/10 minutos/40 segundos. Ao toque vaginal o colo uterino apresentava-se com 2 cm de dilatação, longo, amolecido e central, bolsa das águas íntegra e cefálico. Proteinúria de fita de 2+/4+.

Realizada uma cardiotocografia com resultado abaixo. Ureia 10 mg/dL, creatinina 0,8 mg/dL, ácido úrico 10 mg/dL, bilirrubinas totais 1,4 mg/dL, AST 23 mg/dL, ALT 24 mg/dL e plaquetas 49.000/mm3.

Enunciado 3531306-1

Diante do quadro clínico, assinale a conduta CORRETA para essa paciente.

 

Provas

Questão presente nas seguintes provas
3127166 Ano: 2023
Disciplina: Medicina
Banca: UPENET/IAUPE
Orgão: SES-PE

Paciente 39 anos, na 22ª semana, vem ao pré-natal assintomática, trazendo resultado de ultrassonografia morfológica fetal de 2º trimestre. O exame sugere feto com edema generalizado, ascite e derrame pleural. Classificação sanguínea (CS) materna: A Rh positivo e teste de coombs indireto negativo. Pico sistólico da artéria cerebral média foi superior a 1,5 múltiplos da mediana (MoM), sendo realizadas quatro transfusões intrauterina, a cada 15 dias. Retorna na 30ª semana trazendo ultrassonografia fetal sem alterações morfológicas. Evoluiu sem necessidade de novas hemotransfusões e parto vaginal aconteceu na 36ª semana de gravidez. O recém-nascido apresentou-se morfologicamente normal e sem necessidade de hemotransfusão extrauterina.

Assinale a alternativa que pode representar a hipótese etiológica mais provável.

 

Provas

Questão presente nas seguintes provas
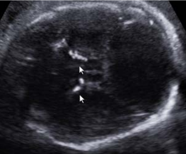
3127165 Ano: 2023
Disciplina: Medicina
Banca: UPENET/IAUPE
Orgão: SES-PE

Paciente na 28ª semana, multípara, seis partos vaginais e sem pré-natal adequado vem à emergência obstétrica preocupada para mostrar uma ultrassonografia, a qual descreve uma circunferência cefálica abaixo de três desviospadrões para a idade gestacional e imagem abaixo:

Enunciado 3531304-1

Foi encaminhada para um serviço especializado, onde foi submetida à investigação diagnóstica. Na 39ª semana de gravidez, evoluiu com o parto vaginal. Ao nascimento, as alterações ultrassonográficas foram confirmadas, acrescidas de coriorretinite e atraso no desenvolvimento neurológio.

Baseado nesses sinais e sintomas, assinale a alternativa que sugere a principal hipótese etiológica fetal.

 

Provas

Questão presente nas seguintes provas