Foram encontradas 390 questões.
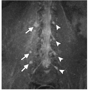
O plexo lombossacral abrange o suporte da pelve óssea, que
protege as raízes nervosas contra alongamento e ruptura
excessivos. Nesse sentido, observe a imagem a seguir.
A imagem em MIP3D TSE coronal STIR mostra
A imagem em MIP3D TSE coronal STIR mostra
Provas
Questão presente nas seguintes provas
Observe a imagem a seguir.

Os números 9, 13, 14, 17 destacados nessa angiografia por ressonância equivalem às seguintes estruturas:
Provas
Questão presente nas seguintes provas
Observe a imagem a seguir.

Nessa RM coronal ponderada em T1, obtida 5 minutos após administração por via intravenosa de gadolínio, é correto afirmar que
Provas
Questão presente nas seguintes provas
Assinale a afirmativa que apresenta um avanço da informática
médica aplicada à ressonância magnética (RM) no contexto de
tecnologia da informação e comunicação em saúde.
Provas
Questão presente nas seguintes provas
A vantagem diagnóstica mais relevante da avaliação por
ressonância magnética cardiovascular (RMC) em pacientes com
cardiomiopatia hipertrófica, em comparação com o
ecocardiograma, é permitir
Provas
Questão presente nas seguintes provas
As técnicas de mapeamento T1 e T2 podem ajudar no diagnóstico
diferencial de cardiomiopatias
Provas
Questão presente nas seguintes provas
O mapeamento T2 evita falsos negativos em condições
inflamatórias difusas porque
Provas
Questão presente nas seguintes provas
O mapeamento T2 é especialmente útil na seguinte condição
clínica:
Provas
Questão presente nas seguintes provas
- Protocolos de Exames de Medicina NuclearBases Físicas e Tecnológicas
- Protocolos de Exames de Medicina NuclearTécnicas Radiográficas em Tomografia Computadorizada
Na presença de fibrose, substância amiloide ou edema miocárdico,
o tempo de relaxamento T1 nativo (pré-contraste)
Provas
Questão presente nas seguintes provas
- Protocolos de Exames de Medicina NuclearBases Físicas e Tecnológicas
- Protocolos de Exames de Medicina NuclearTécnicas Radiográficas em Tomografia Computadorizada
A caracterização do tecido miocárdico em ressonância magnética
é baseada em
Provas
Questão presente nas seguintes provas
Cadernos
Caderno Container