Foram encontradas 390 questões.
( ) A RM permite avaliar características morfológicas e o conteúdo interno das lesões císticas pancreáticas, auxiliando na diferenciação entre neoplasias císticas e pseudocistos.
( ) A RM é incapaz de diferenciar lesões císticas potencialmente agressivas de lesões benignas, sendo necessário exclusivamente um exame histopatológico para isso.
( ) Sequências específicas de RM, como a colangiorressonância (MRCP), ajudam na identificação de conexões entre as lesões císticas e o ducto pancreático, o que é útil para o diagnóstico diferencial.
( ) O uso de contraste na RM pode ajudar a identificar vascularização em lesões císticas, característica que pode sugerir maior potencial de agressividade.
( ) A RM não é útil para avaliar o ducto pancreático, sendo necessário um exame de ultrassonografia endoscópica para essa finalidade.
As afirmativas são, respectivamente,
Provas
Observe a imagem a seguir:

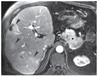
Na imagem acima de RM ponderada em T1 com supressão de gordura pós-contraste, as estruturas indicadas pelo asterisco e pelas cabeças de setas identificam, respectivamente,
Provas
Provas
Observe a imagem a seguir:

Os números 1,2,3 e 4 apontam as seguintes estruturas nessa RM:
Provas
Observe as imagens a seguir.

Sobre a RM acima, de um paciente com hemocromatose, assinale a afirmativa correta.
Provas
Observe a imagem a seguir:

A ressonância magnética de corpo inteiro vem ganhando cada vez mais importância na reumatologia, principalmente no que se refere ao diagnóstico, acompanhamento e avaliação da resposta ao tratamento.
Em relação às indicações para o uso de ressonância magnética de corpo inteiro em espondilite anquilosante (EA), assinale a afirmativa correta.
Provas
Observa a imagem a seguir.

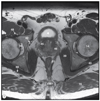
Na RM acima, ponderada em T2, os números 4, 45 e 46 equivalem às seguintes estruturas:
Provas
- Protocolos de Exames de Medicina NuclearBases Físicas e Tecnológicas
- Protocolos de Exames de Medicina NuclearTécnicas Radiográficas em Tomografia Computadorizada
Provas
Provas
- Protocolos de Exames de Medicina NuclearBases Físicas e Tecnológicas
- Protocolos de Exames de Medicina NuclearTécnicas Radiográficas em Tomografia Computadorizada
Provas
Caderno Container